Kategoria: artykuły

Działy
Wyczyść
Brak elementów
Wydanie
Wyczyść
Brak elementów
Rodzaj treści
Wyczyść
Brak elementów
Sortowanie

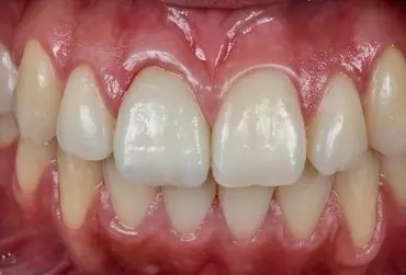
Nieustanna walka o kolor

Jednym z podstawowych problemów w stomatologii zachowawczej i protetyce jest podczas prac rekonstrukcyjnych prawidłowe odtworzenie kolorystyki i transparencji zębów. W artykule przedstawiono krok po kroku wykonywanie licówki korygującej nieestetyczne przebarwienie siekacza centralnego z użyciem systemu materiału kompozytowego o czterostopniowej transparencji i szerokiej gamie kolorów.

Czytaj więcej

Endodoncja w czasach implantów – część III

W poprzednich dwóch częściach przedstawiłem Państwu możliwości nowoczesnej endodoncji oraz diagnostykę i kwalifikację zębów do zabiegu resekcji wierzchołka korzenia. Obecna część posłuży mi do przedstawienia przygotowania gabinetu do zabiegu resekcji, przebiegu samego zabiegu oraz efektów. W części II. zaprezentowałem Państwu instrumentarium niezbędne do wykonania resekcji. W tym odcinku pokażę, jak je wykorzystać.

Czytaj więcej

Wpływ wybranych współczesnych trendów (żywieniowych, zachowań, używek) na stan zdrowia jamy ustnej – część II

O wzajemnej relacji pomiędzy zdrowym stylem życia a zdrową jamą ustną świadczy coraz więcej dowodów. Rozsądna kontrola wagi, zdrowe jedzenie, ruch, stop dla papierosów i innych używek przyczyniają się do utrzymania zdrowia jamy ustnej i pomagają w radzeniu sobie z niejedną jej patologią. Równocześnie potencjał próchnicotwórczy cukrów spożywczych okazuje się już niejedynym negatywnym zespoleniem. Edukacja pacjenta o tych wzajemnych korelacjach wydaje się dzisiaj koniecznym elementem rzetelnej profilaktyki i skutecznej terapii stomatologicznej.

Czytaj więcej

Mobbing w gabinecie stomatologicznym

Problem mobbingu dotyka wiele środowisk zawodowych, w tym środowisko lekarskie. Lekarze mogą zarówno stać się ofiarami mobbingu, jak i być jego sprawcami, tzw. mobberami. Mobbing w języku potocznym oznacza wszelkie niekorzystne oddziaływania w miejscu pracy, w efekcie których pokrzywdzony może dochodzić rekompensaty na drodze prawnej.

Czytaj więcej

Wykorzystanie sonoabrazji w zabiegach stomatologii zachowawczej

Sonoabrazja stanowi metodę preparacji ubytków alternatywną dla opracowywania tkanek wiertłem. Polega ona na wykorzystaniu skalera i specjalnych końcówek z nasypem diamentowym. Taka metoda preparacji jest bardziej precyzyjna i mniej bolesna dla pacjenta. Znakomicie sprawdza się u dzieci, ponieważ nie można zranić tkanek miękkich w trakcie preparacji u niespokojnego pacjenta. Kształty końcówek 
do skalera nie muszą mieć przekroju kołowego, gdyż poruszają się ruchem oscylacyjnym, a nie obrotowym. Dzięki temu końcówki są bardzo różnie ukształtowane, tak aby idealnie dopasować je do lokalizacji i kształtu opracowywanych ubytków. Taka metoda preparacji jest też polecana przy pracy w powiększeniu, gdyż końcówki nie zasłaniają pola operacyjnego.

Czytaj więcej

Covid i inni, czyli faktyczne zagrożenia w pracy stomatologa

Obecna pandemia wykazała poważne niedociągnięcia w działaniu całego systemu. Mówienie o tym, że to zupełnie nowy rodzaj wirusa jest o tyle prawdziwe, o ile nieprecyzyjne. Wszak SARS-CoV-2, jak sama nazwa wskazuje, jest następcą wirusa SARS. Rozwijanie tej numerologii byłoby tylko tworzeniem analogii do starego dowcipu mówiącego, że słynny J-23 był synem nie mniej słynnego agenta J-22. Obserwując jednak przebieg kolejnych epidemii w ostatnich latach, wspomnieć należy jeszcze o porażkach z tzw. ptasią grypą, świńską grypą, a obecnie ASF i najnowszym jak na razie SARS-CoV-2. Czy to aby na pewno nowe zagrożenie?

Czytaj więcej

Nadżerki i owrzodzenia w jamie ustnej rozpoznanie, leczenie, profilaktyka onkologiczna

Przerwanie ciągłości błony śluzowej jamy ustnej nieprzekraczające wszystkich warstw nabłonka jest rozpoznawane jako nadżerka. Goi się ona najczęściej w ciągu 14 dni, bez pozostawienia blizny. Gdy uszkodzenie błony śluzowej jest głębsze i dotyczy wszystkich warstw nabłonka oraz ponabłonkowej tkanki łącznej, rozpoznaje się owrzodzenie. Przyczyny pojawienia się opisanych zmian mogą być różne.

Czytaj więcej

Bezpieczne zakotwienie w kanale korzeniowym: adhezyjna odbudowa zrębu pojedynczymi wkładami z włókien szklanych

Powodzenie odbudowy w przypadku zębów leczonych endodontycznie zależy od wielu czynników. Obejmują one punkty kontaktu na powierzchniach okluzyjnych i stycznych, położenie zęba w łuku zębowym, leczenie z wykorzystaniem sztucznej korony, stan wierzchołka i tkanek przyzębia oraz stan i wielkość zachowanej własnej korony lub korzenia zęba.

Czytaj więcej

Wpływ wybranych współczesnych trendów (żywieniowych, zachowań, używek) na stan zdrowia jamy ustnej – część I

Bulimia, anoreksja, otyłość, cukrzyca to tylko niektóre choroby mające związek z patologiami odżywiania. Stają się one coraz częstsze. Dotyczą nastolatków, ludzi młodych, ale nie tylko. Ich objawy pojawiają się także w jamie ustnej. Nieraz wizyty u stomatologa pozwalają na ich wczesną diagnostykę. Także powszechność innych niż alkohol i papierosy nałogów wraz z niszowymi kulturowo zachowaniami mają swoje skutki, z którymi może mieć do czynienia stomatolog. Poznanie nowych, ostatnio nazwanych patologii pozwoli na swobodniejsze poruszanie się po meandrach melanżu stomatologii i socjologii w codziennych kontaktach z pacjentami.

Czytaj więcej

Dobre imię dentysty w internecie

Szkalowanie dobrego imienia w sieci internetowej staje się niestety coraz bardziej powszechnym zjawiskiem, które dotyka różne grupy społeczne i zawodowe, w tym również środowisko lekarzy dentystów. W przypadku gdy lekarz staje się ofiarą bezpodstawnych, obraźliwych komentarzy, najczęściej nie podejmuje żadnych kroków, by chronić swoje dobre imię oraz by atakujący ponieśli zasłużone konsekwencje. Dzieje się tak z tego względu, że procedury dochodzenia swych uprawnień w dalszym ciągu pozostają dość skomplikowane, a przede wszystkim – czasochłonne. Samych zaś atakujących, potocznie zwanych hejterami, niekiedy trudno namierzyć i zidentyfikować. Istnieją jednak przykłady skutecznej walki z agresją w sieci i chociażby już z tego powodu warto przynajmniej podjąć próbę walki o swoje dobre imię w internecie.

Czytaj więcej

Endodoncja w czasach implantów – część II

W poprzedniej części Endodoncji w czasach implantów przedstawiłem efekty zachowawczego leczenia kanałowego zębów ze zmianami okołowierzchołkowymi. Skupimy się na kwalifikacji i przygotowaniach do chirurgicznych zabiegów umożliwiających utrzymanie zębów, w których klasyczne leczenie nie zakończyło się sukcesem.

Czytaj więcej