Autor: Giuliano Zampieri Bof

Ortodonta

Działy
Wyczyść
Brak elementów
Wydanie
Wyczyść
Brak elementów
Rodzaj treści
Wyczyść
Brak elementów
Sortowanie

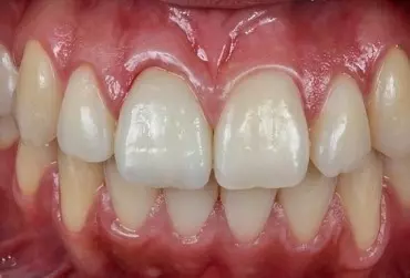
Bezpieczne zakotwienie w kanale korzeniowym: adhezyjna odbudowa zrębu pojedynczymi wkładami z włókien szklanych

Powodzenie odbudowy w przypadku zębów leczonych endodontycznie zależy od wielu czynników. Obejmują one punkty kontaktu na powierzchniach okluzyjnych i stycznych, położenie zęba w łuku zębowym, leczenie z wykorzystaniem sztucznej korony, stan wierzchołka i tkanek przyzębia oraz stan i wielkość zachowanej własnej korony lub korzenia zęba.

Czytaj więcej

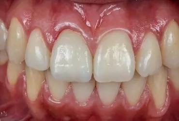
Bezpieczne zakotwienie w kanale korzeniowym: adhezyjna odbudowa zrębu pojedynczymi wkładami z włókien szklanych

Powodzenie odbudowy w przypadku zębów leczonych endodontycznie zależy od wielu czynników. Obejmują one punkty kontaktu na powierzchniach okluzyjnych i stycznych, położenie zęba w łuku zębowym, leczenie z wykorzystaniem sztucznej korony, stan wierzchołka i tkanek przyzębia oraz stan i wielkość zachowanej własnej korony lub korzenia zęba.

Czytaj więcej