
Listopad 2015
Szanowni Czytelnicy!
Przedstawiamy dwudziesty dziewiąty numer Forum Stomatologii Praktycznej, dwumiesięcznika dedykowanego lekarzom stomatologii. W listopadowym wydaniu odpowiemy m.in. na następujące pytania:
- Próchnica zębów u dzieci. Jakie metody leczenia warto stosować?
- W jaki sposób choroby przyzębia wpływają na ogólny stan zdrowia?
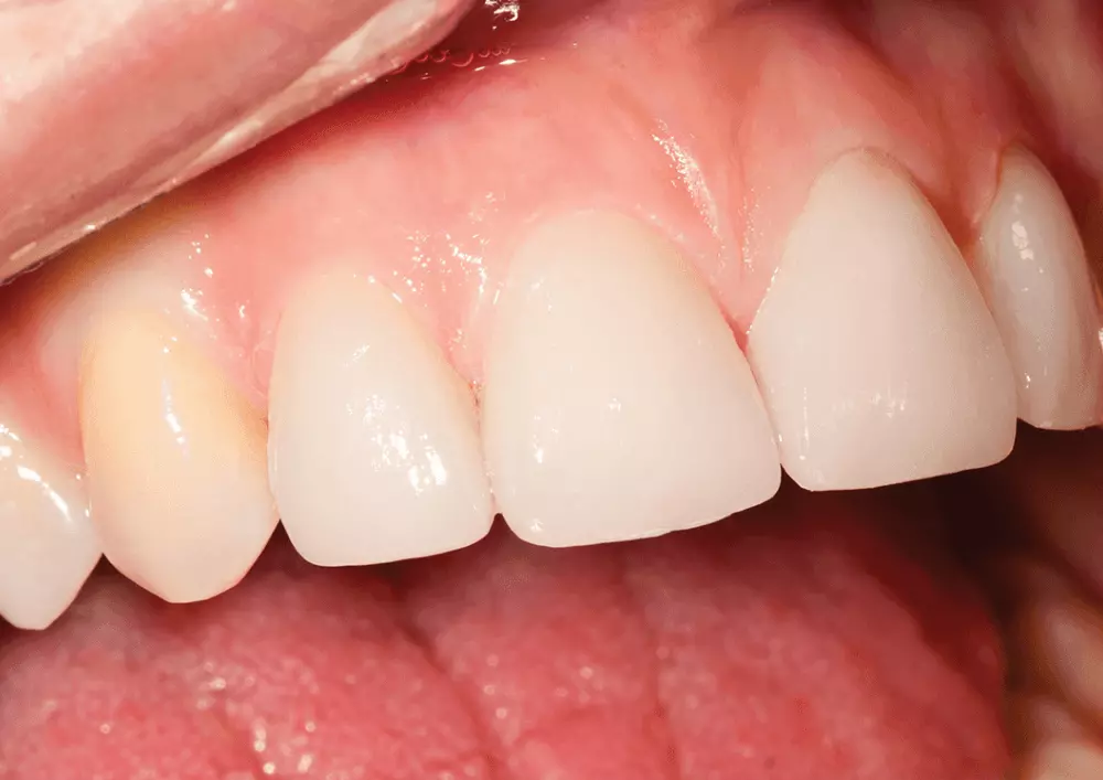
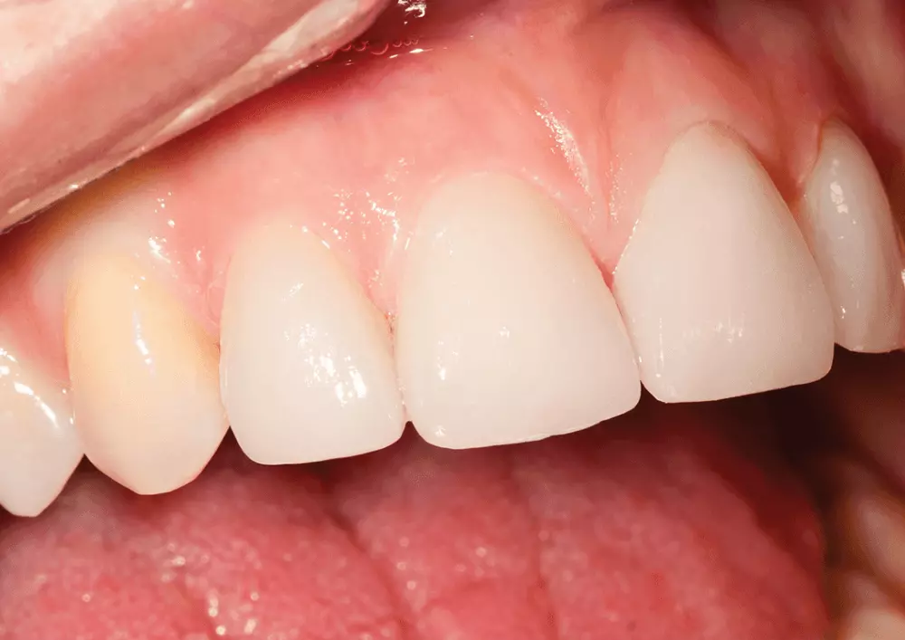
- Jak wykonać licówki ceramiczne?
- Laboratorium protetyczne. Jak praca technika wpływa na skuteczność stomatologa?
- Mosty kompozytowe. O czym należy wiedzieć przed ich wykonaniem?
- Jak przebiega odbudowa guzka z użyciem materiału typu bulk fill?
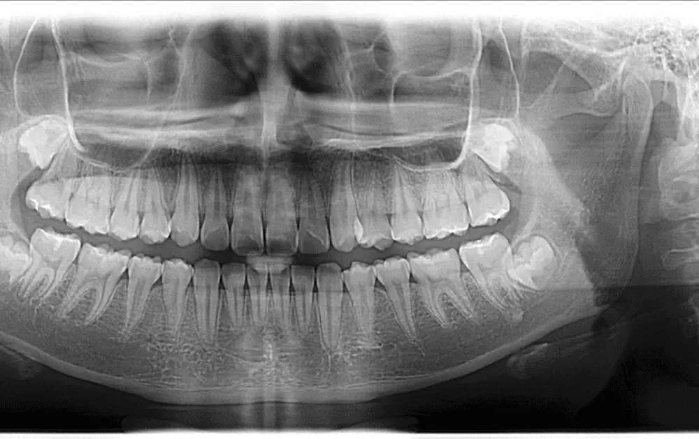
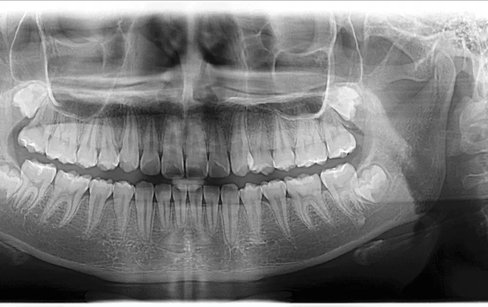
Próchnica zębów u dzieci. Metody leczenia
Próchnica zębów u dzieci leczona bywa za pomocą metody infiltracji oraz techniki Hall. W przypadku wystąpienia powikłań stosuje się ekstrakcję zęba. W celu odbudowy zębów mlecznych i stałych używa się m.in. materiałów takich jak amalgamat, kompozyty i kompomery. Ich opis znajdziecie w artykule dr n. med. Michała Sobczaka.
Mosty kompozytowe powstają poprzez wprowadzenie do masy materiału złożonego dodatkowego wypełniacza w postaci włókien syntetycznych. Pozwala to otrzymać „nowy” materiał kompozytowy o zmodyfikowanych właściwościach mechanicznych. Więcej na ten temat pisze dr n. med. Marcin Aluchna.
Choroby przyzębia a ogólny stan zdrowia
Niewłaściwy stan przyzębia może generować szereg chorób, m.in. cukrzycę, miażdżycę i reumatyczne zapalenie stawów. Oznacza to, że stomatolog jest odpowiedzialny za ogólny stan zdrowia pacjenta. Dr n. med. Agnieszka Pawlik w swoim artykule opisuje zależność między chorobami przyzębia a schorzeniami ogólnymi organizmu.
Licówki ceramiczne z wykorzystaniem ceramik szklanych wykonywane są od ponad 20 lat. Charakteryzują się wysoką wytrzymałością mechaniczną. Zapewniają także bardzo dobry efekt funkcjonalny i estetyczny. Przypadek kliniczny stosowania ceramik szklanych w wykonywaniu licówek opisuje dr n. med. Piotr Okoński.
Laboratorium protetyczne a skuteczność pracy stomatologa
Prawidłowa współpraca między laboratorium protetycznym a lekarzem stomatologiem zależy od wielu czynników, takich jak dokładne wypełnienie karty protetycznej, precyzyjne omówienie kwestii doboru koloru zębów i właściwa zawartość paczki. Szczegółowe omówienie poszczególnych elementów znajdziecie w artykule lek. stom. Aleksandra Maja.
Materiały kompozytowe typu bulk fill powstały w odpowiedzi na potrzebę wykonywania wypełnień kompozytowych w odcinku bocznym w krótszym czasie niż przy zastosowaniu metody warstwowej. Prof. dr Jürgen Manhart w swoim artykule przedstawia przypadek wykorzystania materiału bulk fill w rozległej odbudowie metodą bezpośrednią.
Zapraszamy do lektury!
- Aleksander Maj
- 17 stycznia 2018
- Anna Pelińska , Tomasz Murgrabia
- 17 stycznia 2018
- Agnieszka Pawlik
- 17 stycznia 2018
- Piotr Okoński
- 17 stycznia 2018
- Marcin Aluchna
- 17 stycznia 2018
- Marcin Aluchna
- 17 stycznia 2018