Zalety stosowania koronek i mostów metalowo-ceramicznych w protetyce stomatologicznej
Sprawdzone i od lat stosowane korony i mosty o podbudowie ze stopów metali licowanych ceramiką osiągnęły znakomity sukces kliniczny, a ich średni czas przetrwania w jamie ustnej stanowi tzw. złoty standard. Niewątpliwie cechują się one dużą wytrzymałością mechaniczną, niemniej jednak nie są pozbawione wad w postaci niedoskonałej estetyki, a obecność jonów metali sprawia, że nierzadko obserwuje się przebarwienie dziąsła brzeżnego i stany zapalne oraz powstawanie zjawisk elektrogalwanicznych w środowisku jamy ustnej. Ponadto w procesie wykonywania tego typu uzupełnień szereg etapów, zwłaszcza na poziomie laboratoryjnym, obarczonych jest dużym ryzykiem błędu. Wymienione problemy były bodźcem do poszukiwania materiałów i technologii, które pozwoliłyby na zredukowanie lub wyeliminowanie metalu ze stałych konstrukcji protetycznych.
POLECAMY
Ewolucja ceramiki w dentystyce
Pierwsze próby stosowania porcelany w dentystyce datuje się na połowę XVIII w. Choć od wprowadzenia ceramiki do lecznictwa oraz pierwszych zastosowań jako samodzielnego materiału do wytwarzania protez stałych (korony pochewkowe) minęło wiele czasu, właściwy rozwój współcześnie stosowanych rodzajów porcelany dokonał się na przestrzeni ostatnich 20 lat.
W znacznym stopniu przyczynił się do tego rozwój materiałów i technik adhezyjnych oraz technologii wytwarzania tzw. systemów ceramicznych. Pierwsze wykonane uzupełnienia bezmetalowe przewyższały uzupełnienia metalowo-ceramiczne pod względem estetyki, natomiast nie spełniały wymogów wytrzymałości w odniesieniu do sił zgryzowych. Najnowsze rozwiązania technologiczne pozwalają osiągnąć równowagę pomiędzy wymaganiami stawianymi uzupełnieniom protetycznym, dając możliwość wytwarzania estetycznych, biokompatybilnych uzupełnień zarówno w przednim, jak i bocznym odcinku łuku zębowego.
Obecnie dostępne materiały ceramiczne zapewniają spełnienie wymogów zdrowotnych, funkcjonalności i estetyki u większości pacjentów zgłaszających się do leczenia protetycznego. W ostatnich dziesięcioleciach coraz więcej pacjentów domaga się od lekarzy stosowania uzupełnień bezmetalowych oraz maksymalnego oszczędzania tkanek zęba podczas preparacji. Przynosi to popularność w stosowaniu licówek ceramicznych, które pozwalają na uzyskanie doskonałego efektu estetycznego przy zachowaniu dużych ilości tkanek zęba filarowego.
Rodzaje ceramiki dentystycznej do licówek
Ceramiki dentystyczne stosowane do wykonywania licówek mają wiele cech wspólnych, takich jak:
- wysoka biokompatybilność,
- stabilność koloru,
- niska podatność na adhezję płytki bakteryjnej w porównaniu ze szkliwem naturalnym,
- niskie ryzyko przebarwień.
Różnią się natomiast budową: mikrostrukturą i składem fazowym, z czego wynikają ich odmienne właściwości fizyczne, a przez to wskazania do zastosowania.
Przez wiele lat jedyną ceramiką, która mogła być stosowana do wykonywania licówek ceramicznych, była ceramika skaleniowa (szpat polny). Materiał ten pozwalał na uzyskanie bardzo dobrej estetyki gotowych uzupełnień. Niestety, ich wytrzymałość mechaniczna była ograniczona. Poprawę wytrzymałości mechanicznej tego typu licówek udało się uzyskać po wprowadzeniu technik cementowania adhezyjnego. Jednak w dalszym ciągu wykonanie licówek z ceramiki skaleniowej na słupku z masy ogniotrwałej lub na folii platynowej jest bardzo trudnym i kosztownym procesem laboratoryjnym. Dodatkowo proces cementowania tego typu uzupełnień musi być prowadzony niezwykle ostrożnie i wymaga od klinicysty wysokich umiejętności w stosowaniu procedur adhezyjnych. Osadzanie bardzo delikatnych licówek może również wiązać się z ich uszkodzeniem przy nieostrożnym ich przymierzaniu i polimeryzowaniu.
Zastosowanie ceramik szklanych do wykonywania licówek ceramicznych
Od ponad dwudziestu lat możliwe jest stosowanie ceramik szklanych do wykonywania licówek i koron, które dzięki zastosowaniu technologii tłoczenia osiągają bardzo wysoką wytrzymałość mechaniczną oraz zapewniają bardzo dobry efekt funkcjonalny i estetyczny. Materiały te mogą być obecnie przetwarzane nie tylko w technologii tłoczenia, ale również w sterowanych komputerowo technikach CAD/CAM.
Ceramika szklana wzmacniana leucytem
Budowę ceramiki szklanej cechuje obecność matrycy szkliwa ze szpatu polnego z rozproszonymi kryształami. Zastosowanie wzmocnienia ceramiki skaleniowej dodatkiem kryształów leucytu, będącego glinokrzemianem potasu, w ilości 20–55% pozwoliło na wyraźne zwiększenie wytrzymałości konstrukcji ceramicznych. W obrazie mikroskopowym kryształy te tworzą ziarna wielkości 1–5 μm. Materiał ten został wprowadzony na rynek w latach 80. XX w. przez firmę Ivoclar Vivadent pod nazwą IPS Empress, w systemie, w którym połączono technikę traconego wosku z techniką tłoczenia ciśnieniowego na gorąco. Zaowocowało to zwiększeniem wytrzymałości uzupełnień ceramicznych na zginanie do 150 MPa, co stanowi wartość dwukrotnie wyższą niż w przypadku ceramik skaleniowych. Dzięki temu uzyskano rozszerzenie zakresu wskazań dla materiału do stosowania poza licówkami, także w wykonywaniu wkładów i nakładów koronowych, koron częściowych oraz koron na zęby przednie.
System IPS Empress
System IPS Empress jest w dalszym ciągu modernizowany, co wiąże się obecnie głównie z rozwojem technik komputerowych. W skład systemu wchodzą: IPS Empress Esthetic wykorzystujący tradycyjną technologię tłoczenia oraz wprowadzony w 2006 r. system IPS Empress CAD, który daje możliwość wykonywania uzupełnień z ceramiki leucytowej w technologii CAD/CAM.
Pierwszy sposób wytwarzania polega na wykorzystaniu technologii traconego wosku. Wymodelowany pełny kontur uzupełnienia podlega następnie wytłoczeniu w piecu. W celu indywidualizacji uzupełnienia można poddać je charakteryzacji zewnętrznej za pomocą barwienia powierzchniowego farbami do porcelany (technika staining).
Aby uzyskać najwyższą estetykę uzupełnień, tak istotną w przypadku licówek, opracowano technikę cut-back. Polega ona na redukcji wytłoczonego uzupełnienia w granicach brzegów siecznych. Następnie w tych obszarach nakłada się kolejno specjalne warstwy: pasty łączące dla nadania głębi koloru oraz masy do odbudowy warstwowej, które nadają naturalny wygląd brzegu siecznego – odpowiednią opalescencję, fluorescencję oraz przezierność. Ostatecznie całość poddaje się glazurowaniu.
W systemie IPS Empress CAD, dzięki kompatybilności z systemami Cerec (Sirona) oraz E4D Dentist System (D4D Technologies), składającym się ze skanera wewnątrzustnego i cyfrowo sterowanej frezarki, możliwe jest wykonywanie licówek ceramicznych podczas jednej wizyty klinicznej. Uzupełnienia tego typu mogą być wytwarzane w gabinecie stomatologicznym i nie wymagają współpracy z pracownią protetyczną. Ceramika leucytowa tworzona jest w bloczkach o trzech typach translucencji: HT – wysokiej, LT – niskiej oraz Multi-Blocks – niższej w części dentynowej, a wyższej w obszarze brzegu siecznego. Po wycięciu końcowego kształtu uzupełnienia podlega ono polerowaniu lub charakteryzacji farbami do porcelany i glazurowaniu, po czym jest gotowe do osadzenia w jamie ustnej.
Uzupełnienia z ceramiki leucytowej wykonane w technologii CAD/CAM cechuje wysoka estetyka, naturalna przezierność oraz bardzo dobra szczelność brzeżna. Do cementowania tego typu ceramik zaleca się stosowanie cementów adhezyjnych.
Ceramika szklana wzmacniana dwukrzemianem litu
Poszukiwania materiału ceramicznego, który pozwoliłby na wykonywanie rozległych konstrukcji protetycznych, zaowocowało opracowaniem szkła ceramicznego wzmocnionego kryształami dwukrzemianu litu. W 1998 r. firma Ivoclar wyprodukowała materiał pod nazwą IPS Empess 2. Strukturalnie składa się on w 60% z pryzmatycznych kryształów dwukrzemianu litu, tworzących wydłużone ziarna długości 0,5–5 μm, rozproszonych w macierzy szklanej. Wytrzymałość na zginanie tego typu ceramiki jest pięciokrotnie wyższa w porównaniu do ceramiki skaleniowej i wynosi średnio 350 MPa. Dlatego też zakres wskazań poszerzony jest o możliwość wykonywania nie tylko licówek i koron, ale także trójczłonowych mostów, z zastrzeżeniem, że filarem dystalnym może być co najwyżej drugi przedtrzonowiec, a długość przęsła nie powinna przekraczać 11 mm w odcinku przednim i 9 mm w odcinku bocznym łuku zębowego. Mimo relatywnie dużej zawartości kryształów, ceramika dwukrzemowo-litowa ma korzystne własności optyczne i cechuje się dobrą transparencją. Proces wytwarzania podobny jest jak w systemie IPS Empress, różnica polega na zastosowaniu innego typu porcelany licującej – szkła ceramicznego z kryształami fluoroapatytu. Uzupełnienia można wykonywać w technice warstwowej lub technice malowania (staining).
Od czasu wprowadzenia na rynek system IPS Empress 2 był udoskonalany. Główną ideą dla rozwoju systemu było poszerzenie wskazań do stosowania i częstsze zastosowanie technik komputerowych. Od 2005 r. Empress 2 jest elementem składowym systemu IPS e-max firmy Ivoclar-Vivadent. W systemie tym ceramika szklana dwukrzemowo-litowa może być przetwarzana w tradycyjnej technologii tłoczenia (IPS e-max Press) oraz w technologii CAD/CAM (IPS e-max CAD), w wersji gabinetowej, kompatybilnej z urządzeniami firm Sirona, KaVo, Straumann CAD/CAM oraz D4D Technologies. Przygotowane fabrycznie bloczki dwukrzemianu litu poddawane są obróbce w urządzeniu frezującym, a następnie podlegają krystalizacji w piecu do porcelany. W trakcie tego procesu powstaje dwukrzemian litu, a materiał z początkowo błękino-szarej barwy zmienia odcień na właściwy, odpowiednio dobrany dla danego zęba. Bloczki IPS e-max CAD dostępne są w dwóch wielkościach i trzech poziomach przezierności:
- HT – wysoko translucentne,
- LT – nisko translucentne,
- MO – średnio opakerowe.
Do wykonywania bardzo cienkich licówek ceramicznych oraz licówek z ograniczoną lub minimalną preparacją można zastosować materiał IPS e-max Impulse. Można z niego wytłaczać licówki o grubości zaledwie 0,3 mm.
Przypadek kliniczny stosowania ceramik szklanych w wykonywaniu licówek
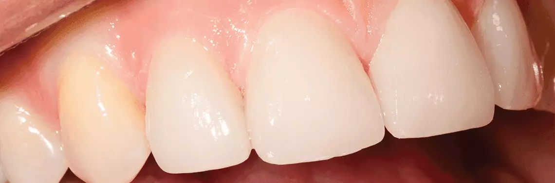
Przypadek I.
Zastosowanie ceramiki leucytowej
Pacjentka I.P. zgłosiła się z zastrzeżeniami odnośnie do estetyki zębów przednich w szczęce. W badaniu klinicznym stwierdzono obecność licówek kompozytowych na zębach od 13 do 23. Materiał kompozytowy nie spełniał oczekiwań estetycznych pacjentki oraz wykazywał brak szczelności brzeżnej. Zęby miały żywą miazgę, prawidłowo reagującą na bodźce w testach żywotności. Zaplanowano wykonanie uzupełnień protetycznych ceramicznych. Zęby 13, 11, 21 opracowano pod licówki, a zęby 21, 22, 23 pod korony.
Uzupełnienia wykonano w systemie IPS Empress Esthetic techniką cut-back i zacementowano za pomocą cementu Variolink II (Ivoclar Vivadent). Uzyskano bardzo dobry efekt estetyczny przy spełnieniu wymogów funkcjonalnych. Na wizytach kontrolnych zaobserwowano ponadto prawidłową, stopniową adaptację dziąsła brzeżnego w okolicy wykonanych uzupełnień. Rekonstrukcja zębów 13 i 23 zapewniała prawidłowe odtworzenie prowadzenia kłowego.



