Menu

Nr 57
Lipiec 2020
Lipiec 2020
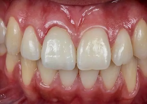
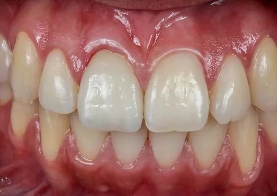
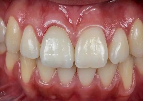
W wydaniu m.in.: dobre imię dentysty w internecie, endodoncja w czasach implantów, bezpośrednie techniki kliniczne w rekonstrukcji zębów bocznych.
Zawartość dostępna online