Menu

Nr 58
Wrzesień 2020
Wrzesień 2020
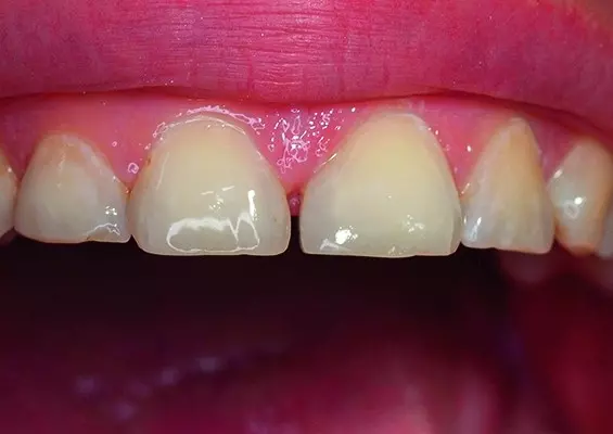
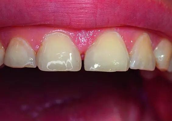
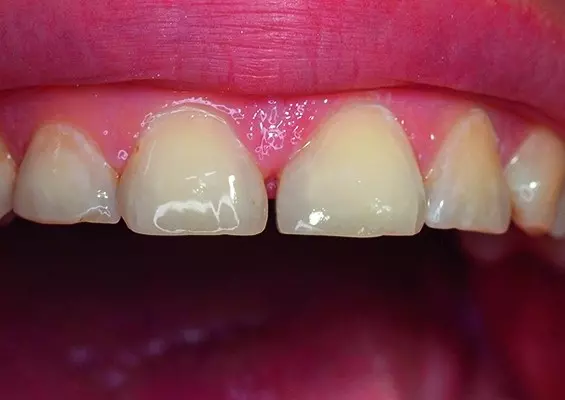
W wydaniu m.in.: bezpośrednia odbudowa kompozytowa zębów bocznych z rozległymi ubytkami tkanek twardych, endodoncja w czasach implantów i mobbing w gabinecie stomatologicznym.
Zawartość dostępna online
OTWARTY DOSTĘP
- Marcin Aluchna
- 7 października 2020
- Marcin Aluchna
- 6 października 2020
- Marcin Aluchna
- 6 października 2020
- Łukasz Suchodolski
- 6 października 2020
- Maciej Mikołajczyk
- 6 października 2020
PRACTISE & CASES
- Tomasz Murgrabia , Anna Popławska
- 6 października 2020
PRODUCT & PRACTISE
- Marcin Aluchna
- 7 października 2020
- Marcin Aluchna
- 7 października 2020
TESTY