Listopad 2018
Tematem numeru czterdziestego siódmego numeru „Forum Stomatologii Praktycznej” są perspektywy testowania genetycznego u chorych z postacią agresywną i przewlekłą zapalenia przyzębia. Dr hab. n. med. Anna Kowalska wraz z dr n. med. Anna Kurhańską-Flisykowską szeroko omawiają to zagadnienie, dlatego serdecznie zachęcamy do lektury.
Tym razem skupiamy się na następujących zagadnieniach:
- Jak poprowadzić leczenie kanałowe u dzieci?
- Technologia CAD/CAM w stomatologii
- Zabiegi medycyny estetycznej – rewitalizacja skóry z użyciem nici PDO
- Rak jamy ustnej i działalność fundacji z „Uśmiechem przez życie”
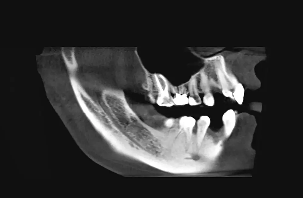
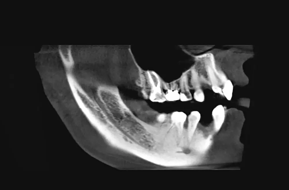
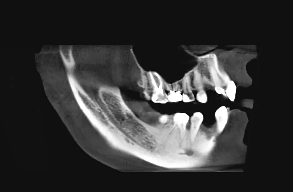
Jak poprowadzić leczenie kanałowe u dzieci?
Leczenie kanałowe u dzieci to wciąż temat trudny i budzący wiele wątpliwości wśród stomatologów. Jest tak ze względu na zachowanie najmłodszych, ale i budowę anatomiczną samych mleczaków, których kanały są szerokie i z dużą ilością miazgi, a przy tym bywają zakrzywione, z rozbudowaną deltą wierzchołkową, licznymi kanalikami bocznymi oraz innymi elementami utrudniającymi działanie. Lek. dent. Urszula Matuszak-Suchorska przestrzega stomatologów przed otwieraniem zębów i pozostawieniem ich w tym stanie przez lata, przedstawia wskazania do leczenia kanałowego u dzieci, omawia także pięć przypadków, w których leczenie endodontyczne okazało się konieczne. Zachęcamy do lektury artykułu!
Technologia CAD/CAM w stomatologii
Technologia CAD/CAM, czyli komputerowe wspomaganie projektowania (ang. computer aided design), jak również komputerowe wspomaganie produkcji poszczególnych elementów protetycznych jest coraz częściej wykorzystywane w stomatologii. Użycie tego systemu wiąże się z wykorzystaniem skanerów wewnątrzustnych, które eliminują tworzenie klasycznych wycisków. Technologia CAD/CAM pozwala na tworzenie podstawowych prac protetycznych, ale i produktów implantologicznych. W tekście przedstawiamy omówienie oprogramowania CAD/CAM, frezarek CNC w stomatologii oraz materiałów stosowanych w cyfrowej stomatologii.
Zabiegi medycyny estetycznej - rewitalizacja skóry z użyciem nici PDO
Ponownie na łamach naszego magazynu omawiamy zabiegi medycyny estetycznej – tym razem skupiamy się na rewitalizacji skóry z wykorzystaniem nici PDO. To metoda, która wywodzi się z Korei Południowej i stosowana jest nie tylko w medycynie estetycznej, ale też chirurgii plastycznej czy okulistyce. Rewitalizacja skóry z wykorzystaniem nici ma liczne zalety, m.in. bezpieczeństwo i komfort pacjenta, natychmiastowe rezultaty, dużą skuteczność, brak nacięć, blizn, długiego okresu rekonwalescencji. Co więcej, zabiegi medycyny estetycznej z użyciem PDO mogą być wykonywane w obrębie całego ciała. Więcej szczegółów na temat znajdą Państwo w artykule dra n. med. Anny Markowicz.
Rak jamy ustnej i działalność fundacji z „Uśmiechem przez życie”
Rak jamy ustnej oraz inne nowotwory powstające w tym obszarze były do tej pory mało znane. Z myślą o tym powstała fundacja z „Uśmiechem przez życie”. Jej misją jest szerzenie wiedzy na temat tych chorób wśród stomatologów i w ogóle społeczeństwa. W najnowszym numerze naszego czasopisma przybliżamy czytelnikom działalność fundacji i przypominamy o konieczności badań umożliwiających szybkie wykrycie raka jamy ustnej.
- Redakcja
- 3 lutego 2019
- Łukasz Suchodolski
- 3 lutego 2019
- Robert Michalik
- 3 lutego 2019
- Urszula Matuszak-Suchorska
- 3 lutego 2019
- Marcin Aluchna
- 3 lutego 2019