Obrazowanie za pomocą tomografii komputerowej efektu zabiegu augmentacji wyrostka zębodołowego po ekstrakcji zęba

PRACTISE & CASES

Zapobieganie rozległym zabiegom augmentacyjnym należy rozpocząć jak najszybciej. Najlepiej zaraz po usunięciu zęba. Zrekonstruowanie niewielkich ubytków kostnych w blaszce policzkowej należy przeprowadzić poprzez odbudowę zębodołu. Można to przeprowadzić w technice socket preservation, w technice zastosowania kości własnej, poszerzenie i rozszczepienie kości, boczny czy pionowy przeszczep bloku kostnego oraz tzw. rekonstrukcją 3D. W jakim stopniu powiodła się ta rekonstrukcja, można się dowiedzieć z obrazowania przestrzennego, jakim jest tomografia komputerowa stożkowa zębów 3D (CBCT).

 

POLECAMY

W wyniku usunięcia zęba następuje zanik wyrostka, który jest procesem jednostkowym w całym układzie kostnym. W czasie gojenia się zębodołu poekstrakcyjnego wyróżnia się następujące okresy, pierwsze 3 dni zębodół jest wypełniony skrzepem krwi, na którego krawędziach występują komórki zapalne, np. granulocyty obojętnochłonne. W kolejnych 3 dniach rozpoczyna się organizacja skrzepu – od warstwy podstawnej zostaje on zastąpiony bogato unaczynioną tkanką ziarninową. Po 7 dniach włókna ozębnej ulegają zanikowi w zębodole znajdują się nowo utworzone naczynia, białe ciałka krwi, komórki mezenchymalne i włókna kolagenowe. Po kolejnych 14 dniach w zębodole można zauważyć pierwsze tkanki twarde – kość splotowata. Wreszcie po 30 dniach pojawiają się osteony kości blaszkowatej, które łączą się ze starą kością zębodołu. W ciągu 60–90 dni można zaobserwować most tkanki twardej z kości splotowatej z powstałym pod spodem nowym szpikiem kostnym, który po 120–180 dniach zostaje zastąpiony kością blaszkowatą.

W ramach tej przebudowy w pierwszych 8 dniach dochodzi do zaniku szerokości i wysokości zębodołu poekstrakcyjnego. W ciągu pierwszego roku od usunięcia zęba dochodzi do zmniejszenia szerokości wyrostka o 5–7 mm, co stanowi ok. 50% jego pierwotnego wymiaru. Zmniejszenie pionowego wymiaru wyrostka następuje również w pierwszych 3 miesiącach i wynosi ok. 2–5 mm. Dane te wskazują, że występuje potrzeba utrzymania objętości wyrostka po usunięciu z uwagi na to, że miejsce to znajduje się w strefie estetycznej i to pozwoli na pogrążenie implantu w idealnej pozycji protetycznej.

W przedstawionym przypadku, w którym nastąpiła utrata zęba w położeniu 45. (zdj. 1–40), zachodził proces gojenia ze zbyt małą ilością materiału dla tworzenia tkanki na nowo przy braku ściany przedsionkowej. Tym samym utrata zewnętrznej warstwy korowej prowadziłaby do zaniku sygnałów decydujących o tworzeniu się kości i doszłoby do utraty tkanki twardej z uwagi na brak stabilizacji trójwymiarowej.

W celu uzyskania zadowalającego gojenia kości w obszarze 44. zaproponowano pacjentce kilka metod wspomagających proces regeneracji utraconej kości wyrostka. Pacjentka po dyskusji, w trakcie której przedstawiono wszystkie dostępne dziś możliwości, wybrała wypełnienie zębodołu ksenogennym materiałem kościozastępczym, jakim była odbiałczona kość wołowa. Materiał ten obok działania osteokondukcyjnego może wykazywać działanie osteoindukcyjne.

Po usunięciu zęba z jednoczesną augmentacją zębodołu z zastosowaniem ksenogennego substytutu i resorbowalnej błony dochodzi do utraty 15% objętości wyrostka. W literaturze czytamy, że po 4–6-miesięcznym okresie gojenia implant może być z sukcesem wprowadzony w augmentowane miejsce, nawet jeśli materiał stanowi 45% nowo powstałej tkanki, a skuteczność leczenia implantologicznego nie zależy od tego, czy implant wprowadzony został w naturalną kość czy w augmentowaną.

Pacjentka zgłosiła się w celu przeprowadzenia zabiegu augmentacji zębodołu po 14 dniach od usunięcia zęba, ponieważ ze względów medycznych nie była możliwa natychmiastowa augmentacja z typem III według klasyfikacji poekstrakcyjnych ubytków wyrostka zębodołowego. Jest to najtrudniejszy do leczenia rodzaj defektów wyrostka, który wymaga zabiegów augmentacji i często wieloetapowej metody, co jest czasochłonne.

Tkanki miękkie wokół ubytku odpreparowano i utworzono podokostnową kieszeń nad ubytkiem, która była o ok. 2 mm większa niż ubytek. W kieszeni umieszczono kolagenową błonę resorbowalną, odizolowując płat śluzówkowo-okostnowy od światła zębodołu. Zębodół wypełniono substytutem kości i całość pokryto sztywniejszą błoną kolagenową niemającą po założeniu do zębodołu tendencji do zapadania i nierwącą się przy zakładaniu szwów i o stosunkowo długim, bo wynoszącym 6 miesięcy, czasie resorpcji. Całość unieruchomiono przez założenie resorbowalnych szwów.

Zabieg augmentacji został wykonany natychmiastowo w celu przeciwdziałania resorpcji wyrostka zębodołowego w strefie estetycznej, ale dalsze leczenie implantologiczno-protetyczne było uwarunkowane wykonaniem pełnej sanacji jamy ustnej, a przede wszystkim eliminacją wszelkich zmian w obrębie tkanek u szczytów niewypełnionych korzeni zębów.

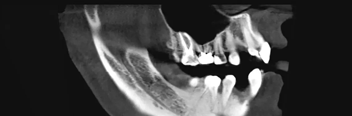
Po 6 miesiącach wykonano tomografię komputerową stożkową zębów 3D (CBCT) w celu określenia jakości kości w miejscu przeprowadzonej augmentacji i zaplanowania dalszych zabiegów. Metody obrazowania trójwymiarowego pozwalają na przeprowadzenie diagnostyki przestrzennej bez zniekształceń. Technika ta pozwala na przeprowadzenie diagnostyki i dokładnego planowania z uwzględnieniem wszystkich struktur anatomicznych. W przypadku objętościowej tomografii komputerowej pacjentka znajdowała się z pozycji siedzącej. Źródło i detektor były prowadzone w jednej płaszczyźnie wokół pacjentki. Promień miał kształt stożka i obrazuje pole o wysokości 7 cm i szerokości 14 cm. Za pomocą diagnostyki trójwymiarowej można poza tym odnaleźć podcienie, z których obecnością nie liczymy się w przypadku wystarczającej ilości kości w obrębie wyrostka zębodołowego.

Czym jest zdjęcie w trzech wymiarach? Jest efektem królowej nauk – matematyki. To, co widzimy, zawdzięczamy algorytmowi matematycznemu, który w mniej lub bardziej precyzyjny sposób ustala na podstawie odcieni szarości odzwierciedlających gęstość tkanek przeszywanych przez promieniowanie Roentgena. Wartości wyjściowe otrzymuje z odbiornika, na który padają promienie X po przejściu przez ciało pacjenta. Odbiornikiem, na który pada promieniowanie, może być czujnik wykonany w technologii CCD (ang. charge-coupled device) lub CMOS (ang. complementary metal oxide semiconductor). Czujnik CCD jest znaną od dawna technologią przechwytywania promieni X, w efekcie czego powstaje płaski obraz. Promienie X przechodzą przez odpowiednio ustawione kryształy, są w międzyczasie wzmacniane i ostatecznie odbierane przez kamerę. Czujnik zajmuje stosunkowo dużo miejsca w obracającej się głowicy tomografu. Można zauważyć go w postaci osłony o konstrukcji stożka.

W tym sposobie uzyskania zadowalającego obrazu RTG pomocny okazuje się algorytm matematyczny, który domyślnie traktuje pewne obszary obrazowanego pola. Jest to technologia stosunkowo niedroga w porównaniu z płaskimi czujnikami CMOS.

Czujniki te są nową technologią i wymagają dużej precyzji w procesie produkcyjnym. Zbudowane są z pikseli, czyli kwadratów, z których każdy jest niezależnym odbiornikiem promieniowania X. Czujniki CMOS wytwarzane są przez kilka firm na świecie.

Na jakość otrzymanego obrazu ma wpływ kilka parametrów, takich jak: wielkość piksela na matrycy, 
algorytm matematyczny, który oblicza obraz przestrzenny składający się z wokseli, czyli sześcianów, których bokiem może być pojedynczy piksel lub ich wielokrotność. Im mniejszy piksel, tym więcej informacji do przetwarzania przez algorytm matematyczny. Co w efekcie daje mniej nieprawidłowości w obrazie 3D. Wielkość woksela niesie za sobą niebezpieczeństwa artefaktów, które algorytm matematyczny musi mniej lub bardziej prawidłowo zinterpretować. Końcowy efekt obrazowania 3D zależy od algorytmu matematycznego. Na zobrazowanie szczegółu na zdjęciu ma wpływ nie tylko typ matrycy CCD lub CMOS, lecz także wielkość woksela i parametry lampy RTG, takie jak miliampery i kilowolty. Decydująca jest też pozycja pacjenta.

Naszym zdaniem pozycja siedząca jest bardziej stabilna niż stojąca. Bardzo ważna jest stabilizacja głowy oraz to, czy w trakcie badania pacjent nie przełknął śliny, nie naprężył mięśni lub nie zamrugał powiekami. Mikroporuszenia te trudno wychwycić w trakcie robienia zdjęcia, a mają one negatywny wpływ na odwzorowanie przebiegu kanałów głównych i „boczniaków” oraz pęknięć. 

Dla większych obszarów, np. ząb zatrzymany, nie mają większego znaczenia. Wyjaśnia to, jak ważne było przygotowanie pacjentki do badania tomografii komputerowej. Dokładne wyjaśnienie przebiegu badania oraz jego zrozumienie pozwala uniknąć wielu błędów. Dokładne pozycjonowane i współpraca pacjentki dały bardzo dobre efekty. Zdjęcia przedstawione w artykule wykonano w średniej rozdzielczości o wielkości woksela 0,278 mm3 oraz 36 warstw DICOM/cm.

Liczba zdjęć w formacie DICOM może dochodzić do 70/cm.

 

 

Zwykle pacjenci zwracają się do lekarzy w celu leczenia jednego konkretnego problemu, nie zdając sobie sprawy, że nie likwidują tym przyczyn powstawania swojego stanu patologicznego. W przedstawionym przypadku najważniejsze było dla pacjentki właśnie uzupełnienie braku zęba 44., a nie usunięcie przyczyny, w wyniku której doszło do jego utraty. Po przeprowadzonej diagnostyce stwierdzono, że u pacjentki występują liczne potrzeby lecznicze. Pacjentka powinna mieć wykonaną pełną sanację jamy ustnej, aby można było przeprowadzić dwa leczenia implantologiczno-protetyczne – zarówno w szczęce, jak i żuchwie. W innym przypadku należy tych zabiegów zaniechać.

Badanie za pomocą tomografii komputerowej pozwoliło autorom niniejszej pracy uświadomić pacjentce jej wszystkie potrzeby lecznicze.

Przypisy