Marzec 2018
Szanowni Czytelnicy,
przedstawiamy czterdziesty trzeci numer Forum Stomatologii Praktycznej, dwumiesięcznika dedykowanego lekarzom stomatologii. W marcowym wydaniu odpowiemy m.in. na następujące pytania:
- Jak klasyczna protetyka stomatologiczna wypada na tle alternatywnych metod rekonstrukcji?
- Mikroskop w stomatologii. Nie tylko leczenie endodontyczne?
- Dentobus. Jakie możliwości daje mobilny gabinet stomatologiczny?
- W jaki sposób przebiega odbudowa ubytków materiałem Admira Fusion?
- Uszkodzenia błony śluzowej jamy ustnej. Na czym polega ich leczenie?
Klasyczna protetyka stomatologiczna a alternatywne metody rekonstrukcji
Protetyka stomatologiczna wykorzystująca korony na podbudowie metalowej wraz ze stałymi rekonstrukcjami protetycznymi jest obecnie uznawana za rozwiązanie optymalne. Korony i mosty w odpowiednich warunkach mogą służyć pacjentowi przez wiele lat. Niestety, obserwowane są również przypadki niepowodzeń związanych z wykorzystaniem klasycznej protetyki stomatologicznej. Alternatywę dla niej stanowi rekonstrukcja porcelanowa łączona adhezyjnie z tkanką zęba. Do niewątpliwych zalet metody należy m.in. możliwość maksymalnego zachowania szkliwa i zębiny. Klasyczna protetyka stomatologiczna została skonfrontowana z alternatywnymi metodami rekonstrukcji w artykule lek. dent. Adama Romaniuka-Demonchaux.
Mikroskop w stomatologii. Nie tylko leczenie endodontyczne
Szerokie zastosowanie mikroskopu w leczeniu endodontycznym zostało potwierdzone przez wiele badań. Dr n. med. Katarzyna Brus-Sawczuk w swoim artykule ukazuje, iż jego funkcjonalność zaczyna być doceniana również przez przedstawicieli pozostałych dziedzin stomatologii. Wynika to z ogromu korzyści płynących z jego stosowania, np. możliwości dokładnej preparacji brzeżnej, szybkiego wykrycia próchnicy oraz konturowania wypełnień. Szczegóły znajdziecie w najnowszym numerze.
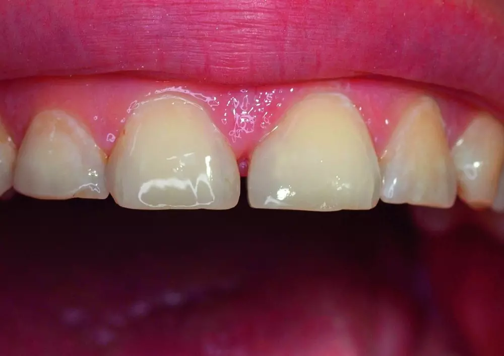
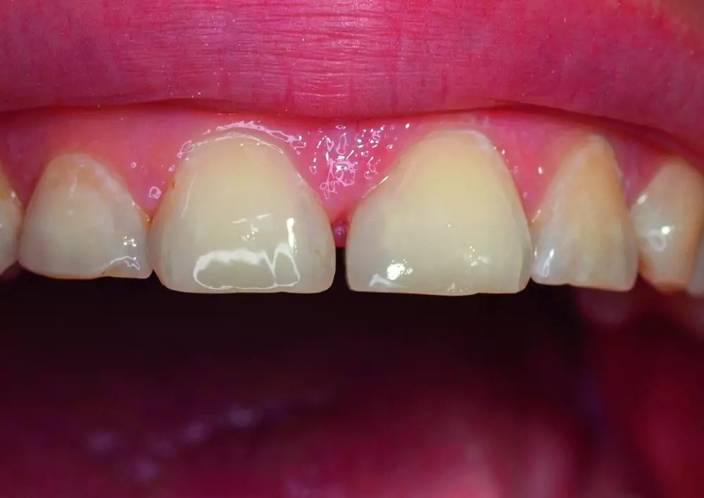
Admira Fusion to uniwersalny materiał odtwórczy stworzony wyłącznie na bazie ceramiki. Powstał w wyniku połączenia technologii nanohybrydowej z techniką ORMOCER. Proces odbudowy ubytków z jego wykorzystaniem w swoim artykule opisuje dr Sanzio Marques.
Dentobus a potrzeby zdrowotne Polaków
Dentobus to mobilny gabinet umożliwiający korzystanie z usług stomatologicznych w gminach, w których dostęp do praktykującego lekarza dentysty jest ograniczony. Zasadność jego funkcjonowania wynika ze statystyk: co drugie dziecko w wieku 3 lat ma zęby zaatakowane próchnicą, a tylko 14,4% sześciolatków nie wymaga leczenia zachowawczego. Korzyści wypływające z korzystania z Dentobusu przedstawiają adw. Anna Popławska i adw. Tomasz Murgrabia.
Dr n. med. Agnieszka A. Pawlik w swoim artykule opisuje uszkodzenia błony śluzowej jamy ustnej, takie jak afty Suttona, zespół Behçeta i zapalenie aftowe jamy ustnej. Podaje także algorytm ich leczenia.
Zapraszamy do lektury!
- Anna Popławska , Tomasz Murgrabia
- 14 czerwca 2018
- Katarzyna Brus-Sawczuk
- 13 czerwca 2018
- Marcin Aluchna
- 12 czerwca 2018
- Marcin Aluchna
- 14 czerwca 2018