
Lipiec 2021
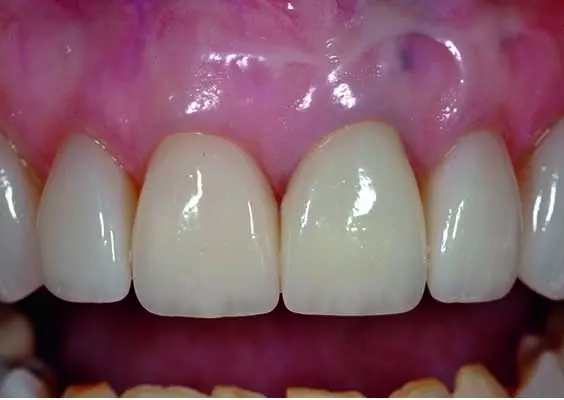
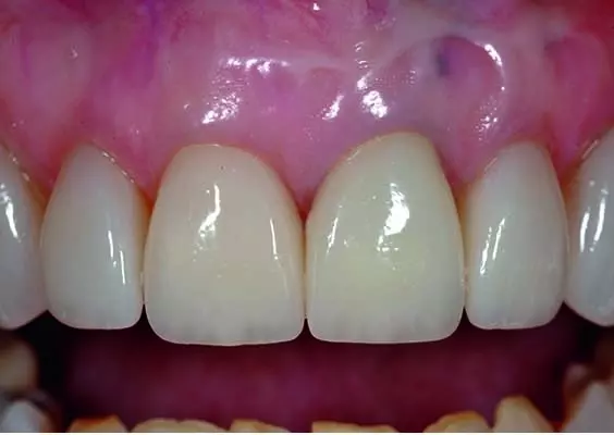
Na łamach najnowszego wydania czasopisma "Forum Stomatologii Praktycznej" w drugiej części artykułu o usunięciu zęba w odcinku estetycznym, piszemy o czym warto pamiętać przed takim zabiegiem, jeśli planujemy natychmiastową implantację. Jakie czynniki należy wziąć pod uwagę i jak zrobić to w warunkach gabinetowych? Wymieniamy opcje trwałego współczesnego cementowania koron i licówek z dwukrzemianu litu. Jednym z wyłaniających się trendów dzisiejszej stomatologii jest rozwój materiałów mających właściwości biointeraktywne lub regeneracyjne. Zapraszamy do lektury!
WYMIANA EDM
W prowadzeniu dokumentacji medycznej nadchodzi zapowiadana już od dłuższego czasu nowa era. Jej nadejście nie powinno jednak oznaczać rewolucji. Przez dłuższy czas Naczelna Rada Lekarska pozwalała wypełniać należycie swe powinności bez konieczności instalowania jednego systemu gabinetowego, dając tym samym czas potrzebny do oswojenia się z tą trudną materią. NRL w każdorazowo wydawanym przez siebie poradniku wskazywała jednak na nieuchronność nadejścia tego obowiązku, apelując przy tym, by nie odkładać na ostatnią chwilę podejmowania działań w kierunku cyfryzacji swej praktyki czy podmiotu. Mimo dotychczasowych przyzwyczajeń, a także pewnych łatwych do wskazania wad prowadzenie dokumentacji w formie elektronicznej ma swoje niekwestionowane zalety, które czynią reformę racjonalną również z punktu widzenia gabinetów lekarskich.
INFEKCJE GRZYBICZE BŁONY ŚLUZOWEJ JAMU USTNEJ U MAŁYCH DZIECI
Candida to grzyb należący do podrodziny Cryptococoidiae. Ma słabą inwazyjność. Aby wywołał efekt patologiczny, muszą zaistnieć odpowiednie warunki. Główny to zaburzenie równowagi biocenotycznej ustroju. Jednak u noworodków i niemowląt (szczególnie do trzeciego miesiąca życia) przyjmuje się, iż jego obecność ma zawsze charakter patogenny. Infekcja szczepem Candida albicans (rzadziej C. tropicalis czy C. crusei) to powierzchniowe zapalenie błony śluzowej jamy ustnej. U noworodków, niemowląt, małych dzieci przybiera w jamie ustnej formę pleśniawek (inaczej ostrej rzekomobłoniastej kandydozy). Bywa, że infekcja ta jest mylona z aftami.
NAJLEPSZY SPOSÓB USUWANIA GUTAPERKI
Powtórne leczenie endodontyczne jest zasadniczo opcją pierwszego wyboru w przypadku niepowodzenia leczenia pierwotnego. Obecność bakterii i ich pochodnych umiejscowionych w materiale wypełniającym i w zawiłościach kanału jest często związana z utratą szczelności hermetycznego zamknięcia pierwotnego wypełnienia i prowadzi do rozprzestrzenienia się choroby po leczeniu. Stąd też kwestią niezwykłej wagi jest efektywne usunięcie całego materiału wypełniającego kanał przed całkowitym udrożnieniem kanałów.