
Marzec 2017
Szanowni Czytelnicy,
przedstawiamy trzydziesty siódmy numer Forum Stomatologii Praktycznej, dwumiesięcznika dedykowanego lekarzom stomatologii. W marcowym wydaniu odpowiemy m.in. na następujące pytania:
- Jak prawidłowo stosować licówki kompozytowe?
- Stomatologia dziecięca. Jak przebiega proces leczenia pacjenta pediatrycznego?
- Jak wykonać wypełnienie kompozytowe z wykorzystaniem materiału ORMOCER?
- W jaki sposób ekstruzja ortodontyczna zastępuje leczenie chirurgiczne?
Stomatologia dziecięca. Opis przypadków leczenia
Lek. stom. Piotr Błasiński w swoim artykule opisuje przypadki leczenia pacjentów pediatrycznych. Stomatologia dziecięca, ze względu na specyfikę pacjenta, sięga po niestandardowe metody postępowania. Autor podaje algorytmy działania w sytuacjach trudnych.
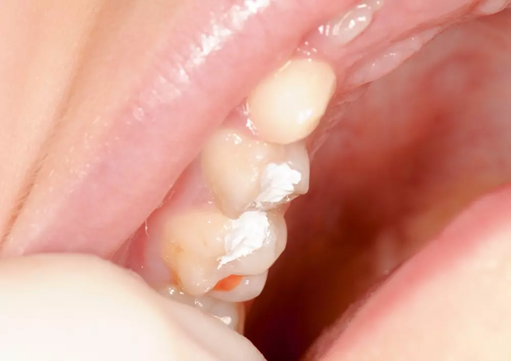
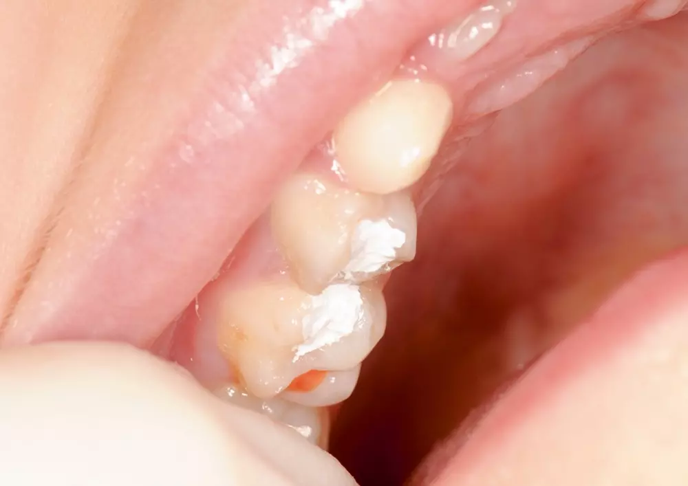
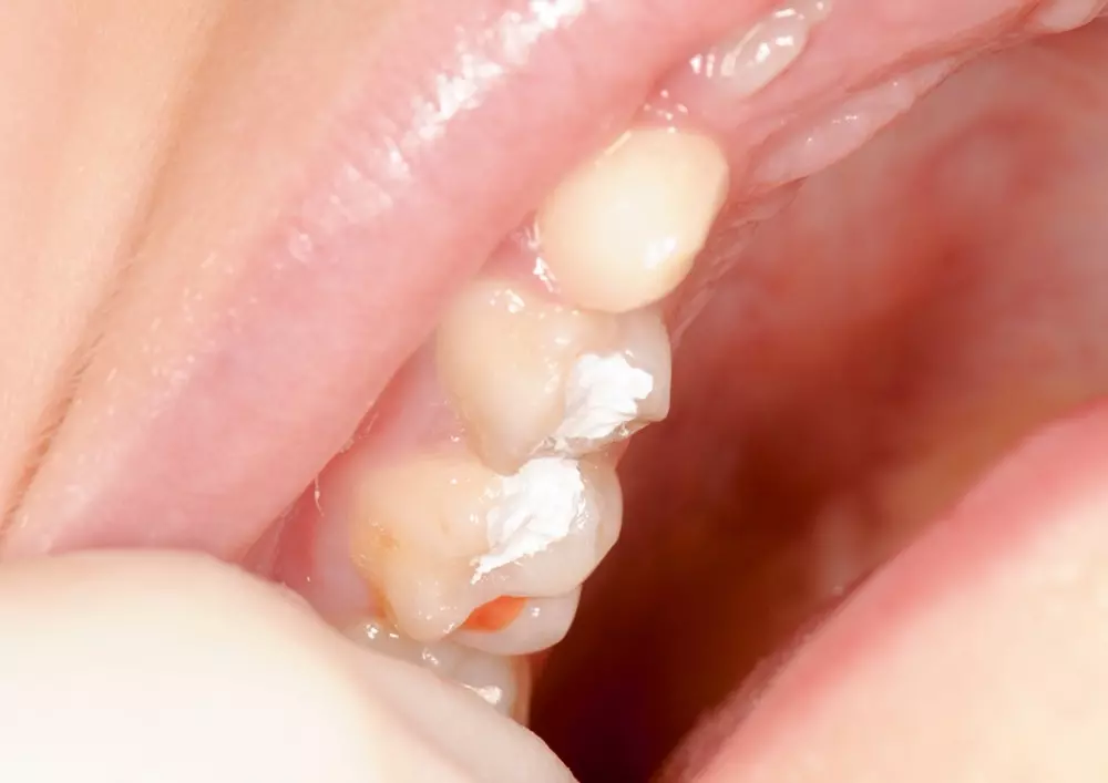
Jak wygląda złożone wypełnienie kompozytowe?
Dr Clarence Tam w swoim artykule opisuje proces złożonego wypełnienia kompozytowego z materiału ORMOCER wykonanego techniką bezpośrednią w odcinku bocznym u 71-letniej pacjentki. Podaje charakterystykę pacjenta geriatrycznego oraz sugeruje dobór odpowiednich dla niego materiałów.
Ekstruzja ortodontyczna vs leczenie chirurgiczne
Ekstruzja ortodontyczna wykorzystywana jest podczas zespołowego leczenia uszkodzeń zębów przebiegających z poddziąsłowym poprzecznym złamaniem korzeni. Stanowi także rozwiązanie w przypadku uszkodzeń typu próchnicowego czy resorpcyjnego. Jest alternatywą dla znacznie ograniczającego estetycznie leczenia chirurgicznego. Lek. stom. Piotr Błasiński w swoim artykule podaje etapy ekstruzji. Zamieszcza także opis przypadku jej wykonania u 15-letniego pacjenta.
Zapraszamy do lektury!
- Jacek Smereka
- 20 kwietnia 2018
- Marcin Aluchna
- 20 kwietnia 2018
- Maciej Mikołajczyk
- 20 kwietnia 2018
- Maciej Mikołajczyk
- 20 kwietnia 2018
- Marcin Aluchna
- 20 kwietnia 2018
- Jacek Smereka
- 20 kwietnia 2018
- Agnieszka Pawlik
- 19 kwietnia 2018
- Redakcja
- 20 kwietnia 2018