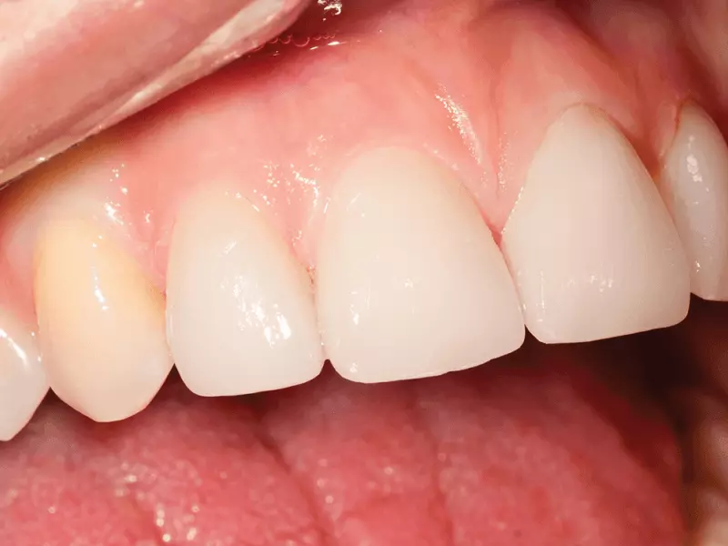
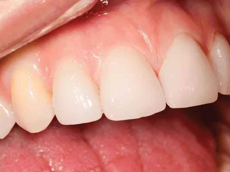
Przygotowanie do wykonania licówek (modele orientacyjne, artykulator)
Etapy wykonawstwa klinicznego licówek ceramicznych można podzielić na trzy fazy:
POLECAMY
- faza leczenia przygotowawczego – przedprotetyczna,
- faza planowania i diagnostyki,
- faza rekonstrukcji obejmującej preparację, wyciski, wykonanie uzupełnień tymczasowych oraz cementowanie.
Faza leczenia przygotowawczego obejmuje zabiegi z zakresu innych specjalności stomatologicznych, które są konieczne do prawidłowego przeprowadzenia leczenia protetycznego z zastosowaniem licówek ceramicznych. Planowanie leczenia przy użyciu licówek niejednokrotnie nie ogranicza się jedynie do uzupełnienia twardych tkanek zęba. W tej fazie leczenia może być konieczne leczenie ortodontyczne, obejmujące korekty ustawienia zębów (zmniejszenie diastem, likwidacja stłoczeń zębowych) aż do całościowego leczenia wad zgryzu i wad ortognatycznych. Istotnym elementem jest również właściwie ukształtowane i zdrowe przyzębie brzeżne. W tej fazie wykonywane są zabiegi z zakresu leczenia periodontologicznego, obejmujące kiretaże oraz zabiegi chirurgiczne poprawiające wygląd girlandy dziąsłowej czy wydłużające korony kliniczne zębów przednich w sytuacji wysokiej linii uśmiechu.
W przypadku konieczności poprawy kolorystyki istniejącego uzębienia wykonywane są zabiegi wybielania.
Następnie przystępuje się do planowania leczenia protetycznego. Nie ogranicza się ono tylko do zębów, ale uwzględnia też warunki zewnątrzustne, analizuje stan dynamiczny (uśmiech) oraz symetrię twarzy. Na tym etapie zalecane jest wykonanie dokumentacji fotograficznej zębów oraz twarzy pacjenta w spoczynku i w czasie uśmiechu. Zdjęcia należy wykonywać w pozycji frontalnej oraz bocznej. Według standardu Amerykańskiej Akademii Stomatologii Estetycznej należy wykonać portfolio składające się z następujących 12 zdjęć:
- A – cała twarz,
- B – pełen uśmiech,
- C – uśmiech strona prawa,
- D – uśmiech strona lewa,
- E – zwarcie centralnie z retraktorem,
- F – zwarcie strona prawa z rektraktorem,
- G – zwarcie strona lewa z retraktorem,
- H – 1:1 centralnie z retraktorem,
- I – 1:1 prawa strona,
- J – 1:1 lewa strona,
- K – powierzchnia zwarcia szczęki,
- L – powierzchnia zwarcia żuchwy.



Analiza fotografii pozwala na ocenę wysokości i grubości warg oraz stosunku wargi górnej do dziąsła brzeżnego zębów przednich górnych. Wysoka linia uśmiechu (powyżej 3 mm) czyni leczenie bardziej skomplikowanym. Analiza zdjęć zębów pozwala również na ocenę ich proporcji, zenitu dziąsłowego oraz stosunku do wargi dolnej. Brzegi siekaczy przyśrodkowych górnych powinny lekko dotykać czerwieni wargi dolnej w spoczynku, a siekacze boczne powinny być odsunięte od niej na 1–2 mm.
W użyciu są programy komputerowe opierające się na fotografii twarzy i zębów, pozwalające na wizualizację proponowanego planu leczenia. Najistotniejszą cechą tej metody jest pokazanie pacjentowi efektu leczenia przed jego rozpoczęciem. Na podstawie serii zdjęć, które wykonuje się pacjentowi, a także rozmowy z pacjentem przygotowuje się analizę uwzględniającą cechy fizjonomiczne twarzy i zębów. Za pomocą programów (Power Point lub Keynote) i przy użyciu szablonów wprowadza się zmiany bezpośrednio na zdjęcia pacjenta. Efektem jest czytelna i zrozumiała prezentacja planu leczenia. Ostatnim etapem metody jest przygotowanie przez pracownię protetyczną tymczasowego uzupełnienia (mock-up), które nałożone na zęby pacjenta ukazuje wygląd jego uśmiechu po zakończeniu leczenia. Pozwala to na dokładną konsultację i przedstawienie pacjentowi planu leczenia. Kalibracja zdjęć pozwala na dokładną analizę wymiarów zębów i ich harmonijne dopasowanie do warunków istniejących w jamie ustnej i do twarzy. Narzędzie to umożliwia doskonałą komunikację z pracownią protetyczną i przekazanie informacji dotyczącej zaplanowanego leczenia. Znacznie ułatwia to prowadzenie leczenia estetycznego w komunikacji z laboratorium.
Następnym elementem diagnostyki jest analiza modeli wstępnych osadzonych w artykulatorze, na których można dokonać pomiarów oraz przeanalizować stosunki zwarciowe centralne i pozacentralne. Modele służą również do przeprowadzenia diagnostyki wax-up. Na tym etapie jest wykonywana również dokumentacja rentgenowska zawierająca zdjęcia zębowe, zdjęcia pantomograficzne lub zdjęcia cefalometryczne.
Po uzgodnieniu z pacjentem proponowanego planu leczenia technik na modelu wstępnym wykonuje diagnostyczne nawoskowanie (wax-up).
Nawoskowany model przedstawia sytuację, którą zamierzamy osiągnąć, wykonując licówki, z uwzględnieniem życzeń pacjenta dotyczących zmiany kształtu i wielkości poszczególnych zębów. Model stanowi również podstawę do wykonania uzupełnienia tymczasowego po opracowaniu zębów. Na modelu nawoskowanym można także wykonać szablon chirurgiczny lub klucz silikonowy.
Klucz silikonowy jest niezmiernie pomocny podczas preparacji zębów. Pozwala on na dokładną wewnątrzustną kontrolę preparacji tkanek zęba, które winny być szlifowane w obrębie szkliwa. Jeszcze jedną formą diagnostyki przedpreparacyjnej jest mock-up, czyli tymczasowe uzupełnienie wykonywane wewnątrzustnie na podstawie klucza silikonowego.
Założone na nieopracowane zęby, pozwala na przedstawienie pacjentowi przyszłego uzupełnienia. Do wykonania mock-upu służy materiał kompozytowy typu flow, który nanosi się na zęby bez systemu wiążącego i polimeryzuje. Najczęściej jest on stosowany
w przypadkach zamykania diastem oraz wydłużania brzegu siecznego.
Dobór koloru
Jak prawidłowo dobrać kolor licówek?
Bardzo istotny dla zachowania prawidłowej estetyki twarzy pacjenta jest właściwy dobór wielkości, kształtu, ustawienia oraz koloru zębów. Podczas dobierania koloru uzupełnień kierujemy się jego trzema najważniejszymi cechami, a mianowicie: jasnością, stopniem nasycenia, czyli intensywnością, oraz tonem.
Na dobór koloru zęba wpływają czynniki związane z oświetleniem oraz polimorficzną strukturą obiektu obserwowanego, czyli zęba. Jakość oświetlenia towarzysząca procesowi dobierania koloru ma kolosalne znaczenie dla prawidłowego przeprowadzenia tego procesu. Idealne parametry światła do doboru koloru to temperatura barwy wynosząca 6500 K oraz intensywność oświetlenia 1500 lx. Te warunki oświetlenia odpowiadają najbardziej rozproszonemu światłu dziennemu. Równie istotne jest, aby podczas doboru koloru zachować te same parametry percepcyjne w postaci źródła światła, obiektu oraz oka. Konsekwencją zmiany parametrów światła lub obiektu może być powstawanie różnic w odbiorze koloru. W ten sposób kolor uzupełnienia protetycznego może różnić się od koloru zębów sąsiednich w świetle lampy stomatologicznej i w naturalnym oświetleniu.
Niezmiernie istotne jest to, w jakim otoczeniu jest dobierany kolor. Kolory gabinetu stomatologicznego, ubranie pacjenta, karnacja, szminka na wargach mogą wpływać na sposób percepcji koloru. Wśród czynników stomatologicznych należy wymienić polimorficzną naturę budowy zęba ludzkiego. Kolor zębów jest uzależniony od wieku pacjenta i rodzaju zębów. Wraz z wiekiem i naturalną utratą szkliwa barwa zębów nabiera większego nasycenia, co objawia się jako wrażenie ciemnienia. Kły są zazwyczaj zębami o większym nasyceniu barwy niż zęby sieczne. Często daje się zauważyć różnice pomiędzy zębami siecznymi górnymi i dolnymi w stopniu przezierności brzegów.
Trudności w doborze koloru zębów stwarza również ich budowa warstwowa. Występują tu różnej grubości warstwy w obrębie brzegu siecznego i szyjki zębowej, charakteryzujące się odmienną przeziernością. Główny kolor nadaje zębowi zębina, natomiast jasność jest determinowana przez warstwę szkliwa. Dodatkowo u młodych osób wydatna komora zęba wpływa na ostateczny kolor.
Struktura zęba charakteryzuje się także zdolnością fluorescencji. Fluorescencja polega na zdolności emisji promieniowania świetlnego pod wpływem oświetlenia ultrafioletem. Ma to istotne znaczenie w przypadku rekonstrukcji protetycznej z zastosowaniem materiałów ceramicznych, które muszą charakteryzować się podobnymi zdolnościami.
Szkliwo zęba wykazuje jeszcze jedną cechę w postaci opalescencji. Polega ona na zdolności odbijania i rozpraszania światła podającego na obiekt.
W wyniku tego zjawiska ząb oglądany w białym i odbitym świetle opalizuje na niebiesko.
Obecnie producenci systemów ceramicznych dostarczają własne kolorniki. Można jednak przyjąć, iż podczas dobierania koloru korzystne jest stosowanie schematu postępowania obejmującego w kolejności dobór podstawowej barwy, dobór odcienia, dobór barwy szkliwa, stopnia jego przezierności i lokalizacji oraz oznaczenie miejsc efektów specjalnych w postaci rys, pęknięć i przebarwień powierzchni szkliwa.
Kolornik Vitapan Classical, który jest stosowany najczęściej i do którego wielu producentów materiałów ceramicznych dostosowuje swoje produkty, najpierw wymaga wyboru koloru z grupy:
- A – czerwono-brązowy,
- B – czerwono-żółty,
- C – szary,
- D – czerwono-szary.
Następnie dobiera się stopień nasycenia oraz stopień jasności w podgrupach 1–4.
Inne postępowanie dotyczy kolornika Vitapan 3D Master. Kolornik ten opiera się na systemie barw według Munsella. Najpierw określa się stopień jasności w skali od 1 do 5, następnie ustala się intensywność koloru w skali od 1 do 3 spośród grup M oraz wybiera się odcień koloru, np. L – żółtawy, R – czerwonawy.
Jeszcze innym kolornikiem przygotowanym na potrzeby ceramiki Empress jest kolornik Chromascop. W celu określenia barwy stosuje się kod liczbowy: 100 (biały), 200 (żółty), 300 (pomarańczowy), 400 (szary), 500 (brązowy). Stopień nasycenia określają kolejne liczby o wielokrotności 10.
Zazwyczaj kolor uzupełnień dobiera się wewnątrzustnie, przykładając kolornik do warg pacjenta. Czynność wybierania koloru powinna się odbywać przed rozpoczęciem preparacji zębów. Kolor zębów powinien harmonizować z zabarwieniem skóry. Doboru koloru uzupełnienia dokonuje się w świetle dziennym, po uprzednim oczyszczeniu zębów. W przypadku niemożności zastosowania światła słonecznego istotne jest stosowanie sztucznego oświetlenia o tych samych parametrach zarówno w gabinecie lekarskim, jak i w pracowni protetycznej. Tradycyjne metody doboru koloru polegające na wizualnym porównaniu koloru obiektu
z kolornikiem firmowym mogą okazać się niedoskonałe. Percepcja wzrokowa może ulec zaburzeniu przez różne czynniki, do których możemy zaliczyć warunki oświetlenia i warunki otoczenia, jak również kolor może być odmiennie postrzegany przez samego lekarza. Często pomocne jest wykonywanie fotografii oraz indywidualnego rysunku charakterystyki powierzchni zęba, tzw. mapingu.
Szczególną uwagę należy zwrócić na dobór koloru w przypadku stosowania uzupełnień ceramicznych. Jest to jeden z najtrudniejszych etapów wykonywania uzupełnienia. Czynnikami, które wpływają na proces doboru koloru dla uzupełnień ceramicznych, są:
- kolor materiału ceramicznego,
- kolor podbudowy ceramicznej,
- grubość warstwy ceramicznej,
- kolor cementu,
- grubość warstwy cementu,
- kolor opracowanego zęba.