Licówki kompozytowe

wybrane przypadki

PRACTISE & CASES

Doskonałe efekty i wysoka odporność sprawiają, że materiały złożone z powodzeniem spełniają kryteria wyrafinowanych prac estetycznych. Specyfika dostępnych tworzyw i dążenie do optymalnego wykorzystania ich potencjału sprawiają, że licówki kompozytowe mogą być wykonywane  zarówno metodą modelowana bezpośredniego, technikami pośrednimi oraz poprzez frezowanie lub adaptację elementów prefabrykowanych. W artykule przedstawimy trzy opisy przypadków.

Przypadek 1.

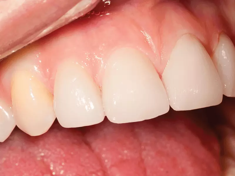
Pacjentka zgłosiła się z prośbą o dokonanie korekty nieestetycznie wyglądającego zęba 41 (zdj. 1).

POLECAMY

W badaniu stwierdzono nieznaczny ubytek w zębie 42 w wyniku próchnicy wtórnej (zdj. 2). Po uzyskaniu akceptacji pacjentki przystąpiono do zabiegu. Opracowano ubytek w zębie 42. Usunięto wypełnienie w zębie 41 oraz zniesiono przebarwione szkliwo z powierzchni wargowej. Po wytrawieniu naniesiono system łączący (zdj. 3). Kolejny etap zabiegu stanowiła aplikacja materiału o niskiej transparencji odtwarzającego efekt optyczny zębiny. W obu zębach zastosowano masy o identycznym zabarwieniu (zdj. 4). Warstwę zewnętrzną – wargową – wymodelowano masą szkliwną, a następnie spolimeryzowano (zdj. 5). Wypełnienie i licówkę opracowano i wypolerowano gumkami oraz krążkami filcowymi po wcześniejszej weryfikacji zwarcia (zdj. 6). Efekt został zaakceptowany przez pacjentkę. Jednoczesne wykonanie licówki i wypełnienia w sąsiednim zębie ułatwiło dobranie koloru i odtworzenie zbliżonych grubości warstw mas szkliwnych i zębinowych, co zapewnia uzyskanie zbliżonych efektów optycznych (zdj. 7).

Przypadek 2.

Pacjentka zakwalifikowana do leczenia kompleksowego obejmującego ponowne leczenie endodontyczne oraz wymianę użytkowanych od blisko 10 lat i częściowo uszkodzonych stałych uzupełnień protetycznych zgłosiła się z prośbą o naprawienie uszkodzonego wypełnienia i w miarę możliwości korektę estetyki w odcinku przednim (zdj. 8). Po zapoznaniu się z planem leczenia zasugerowano wykonanie licówek częściowych na siekaczach centralnych zapewniających korektę kształtu. Skrupulatny plan leczenia miał charakter długofalowy, a zaplanowane leczenie zachowawcze nie zaburzało go w żadnym zakresie. Po oczyszczeniu powierzchni zębów i usunięciu części materiału kompozytowego wypełnienia w zębie 11 wytrawiono jego powierzchnię (zdj. 9). Po aplikacji i polimeryzacji systemu łączącego naniesiono warstwę materiału kompozytowego i wymodelowano go przy użyciu pędzelka. Po odtworzeniu zarysu koron domykającego delikatnie przestrzeń i polimeryzacji materiału dokonano opracowania tej warstwy przy użyciu krążków, co w prosty sposób pozwoliło uzyskać zrównanie powierzchni obu zębów i linii brzegów siecznych. Do wymodelowania materiału w rejonie przydziąsłowym wykorzystano paski celuloidowe wsunięte pod nitki retrakcyjne zgodnie z zaleceniami pomysłodawcy – B. Hugo (zdj. 10). Powierzchnię osuszono i ponownie przeprowadzono etapy aplikacji bondu.
Warstwę licową o zasięgu większym od aplikowanego uprzednio materiału zębinowego stanowił materiał o transparencji szkliwa (zdj. 11). Po polimeryzacji ostatecznej powierzchnie opracowano przy użyciu gumeczek i krążków filcowych. Zweryfikowano kontakty zwarciowe (zdj. 12). Pomimo niekorzystnego ustawienia zęba 41 uzyskano prawidłowe relacje, zachowując uzyskany podczas modelowania efekt. Podczas wizyty kontrolnej na prośbę pacjentki wykonano nieinwazyjnie licówkę korygującą kształt zęba 12. Defekt ujawniający się podczas obserwacji z boku (zdj. 13) usunięto tym samym materiałem, co przyczyniło się do dużego zadowolenia pacjentki. Zastosowany materiał Olirevo pochodzący od mniej znanego producenta występuje w szerokiej gamie barw i przyjemnie poddaje się modelowaniu (zdj. 14).

Przypadek 3.

Pacjentka zgłosiła się niezadowolona z efektu ponad dziesięcioletnich rekonstrukcji kompozytowych wykonanych w innym gabinecie. Dokładnie zebrany wywiad pozwolił ocenić wiek rekonstrukcji na 15 lat (zdj. 15). Żywotność miazgi obu zębów uszkodzonych w wieku lat 13 nadal została zachowana, co potwierdziła reakcja na bodźce termiczne. Badanie kliniczne wykazało zgodność kolorystyczną, niewielkie zmatowienie powierzchni rekonstrukcji i niewielkie diastemy pomiędzy siekaczami przyśrodkowymi i bocznymi (zdj. 16). Na powierzchni podniebiennej zauważalna była przebarwiona nieszczelność połączenia materiału rekonstrukcji z naturalnym szkliwem (zdj. 17). W ocenie autora koledze, który wykonał pracę 15 lat wcześniej, należy się szacunek za uzyskaną skuteczność i efekt estetyczny. 

Po skrupulatnej analizie stanu faktycznego i oczekiwań pacjentki ustalono korektę kształtu powierzchni wargowych z domknięciem przestrzeni dystalnych obu siekaczy przyśrodkowych. Niepokojące przebarwienie na powierzchni podniebiennej w praktyce wymagało jedynie niewielkiej korekty.

Do usunięcia części materiału kompozytowego z powierzchni wargowej wykorzystano końcówkę Profin® z pilniczkiem wolframowym, którego twardość pozwala na selektywne opracowanie kompozytu, ale nie stanowi zagrożenia dla naturalnego szkliwa (zdj. 18). Po zmniejszeniu grubości warstwy materiału rekonstrukcji uwidoczniła się nadmierna przezierność materiału kompozytowego (zdj. 19). Pozwoliło to lepiej zrozumieć intencje lekarza wykonującego tę pracę przy użyciu dostępnych niegdyś materiałów.

Po wytrawieniu i aplikacji systemu łączącego zawierającego w składzie silan zastosowano cienką warstwę materiału zębinowego, którego zadaniem było zablokowanie szarawej transparencji i wyrównanie koloru powierzchni wargowej (zdj. 20). Materiałem tym nadbudowano nieco dystalne wypukłości koron, pozostawiając jednak nadal miejsce dla szkliwa. W celu uzyskania efektu naturalnej witalności zastosowano biały opaker w części centralnej i na brzegu siecznym obu zębów. Materiał w części centralnej wymodelowano w bardzo cienką warstwę, a zarys celowo uczyniono asymetrycznym (zdj. 21). Po naświetleniu przystąpiono do modelowania masy szkliwnej na powierzchni wargowej. Z wykorzystaniem paseczka celuloidowego wymodelowano linie konturowe i punkty styczne na powierzchniach dalszych obu siekaczy. Po polimeryzacji ostatecznej powierzchnie starannie wypolerowano. Dla pewności zweryfikowano zwarcie, lecz jak wspomniano, na powierzchniach podniebiennych nie dokonywano korekt za wyjątkiem wypolerowania przebarwienia. Podstawą do stworzenia licówek nadal pozostały wypełnienia wykonane przed 15 laty (zdj. 22). Dla pewności zweryfikowano efekt opalescencji w różnych warunkach oświetlenia i pod różnymi kątami (zdj. 23, 24) Uzyskany efekt został zaakceptowany (zdj. 25). Niestety, przed wizytą kontrolną doszło do odkruszenia niewielkiej ilości materiału z brzegu siecznego zęba 11. Po dokonaniu naprawy konieczne okazało się skrócenie brzegów siecznych, czego efektem było uzyskanie linii prostych (zdj. 26). Konieczność tej adaptacji nieoczekiwanie przyniosła większe zadowolenie pacjentce, która nie potrafiąc określić swoich oczekiwań po zmianie wyglądu zębów dokonanej podczas pierwotnej korekty, oczekiwała „tego czegoś”. W tym przypadku szczęśliwie przywrócenie funkcji połączone było z pełną akceptacją efektu estetycznego (zdj. 27).

 

Przypisy