Autor: Stanisław Surma

Wydział Nauk Medycznych w Katowicach, Śląski Uniwersytet Medyczny w Katowicach

Działy
Wyczyść
Brak elementów
Wydanie
Wyczyść
Brak elementów
Rodzaj treści
Wyczyść
Brak elementów
Sortowanie

Miejsce nimesulidu w leczeniu bólu poekstrakcyjnego

Ból po ekstrakcji zęba jest jednym z najczęstszych powikłań w praktyce stomatologicznej i stanowi istotny problem z perspektywy zarówno pacjenta, jak i lekarza. Jest on efektem urazu chirurgicznego obejmującego tkanki miękkie, tkanki kostne i ozębną, co prowadzi do aktywacji reakcji zapalnej oraz uwalniania mediatorów bólu, takich jak prostaglandyny, bradykinina, histamina i cytokiny prozapalne [1]. Właściwa kontrola bólu nie jest wyłącznie kwestią komfortu. Ma także znaczenie kliniczne, gdyż ból nieleczony może prowadzić do problemów z przyjmowaniem pokarmów, zaburzeń snu, obniżenia odporności organizmu, a także powikłań gojenia, w tym zespołu suchego zębodołu [2]. Jednym z leków szczególnie przydatnych w leczeniu bólu poekstrakcyjnego jest nimesulid.

Czytaj więcej

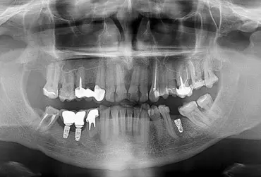
Eksplantacja uszkodzonego implantu zębowego u pacjenta obciążonego kardiologicznie – czy to się może zdarzyć?

Implanty zębowe są coraz popularniejsze w leczeniu stomatologicznym. Zdarza się, że pacjenci uważają je za niezniszczalne. Tymczasem na implanty działają różne siły i przeciążenia mogące powodować ich dysfunkcje. W niniejszym artykule przedstawiono przypadek pacjenta z uszkodzonym implantem zębowym. Dodatkowo pacjent był obciążony kardiologicznie, co wymagało wzmożonej ostrożności w procesie leczenia implantoprotetycznego.

Czytaj więcej

Zapalenie przyzębia i migotanie przedsionków – niebezpieczny związek, o którym trzeba wiedzieć

Zapalenie przyzębia jest powszechną chorobą jamy ustnej, która dotyka ponad połowę populacji świata. Zapalenie przyzębia jest związane z ogólnoustrojowym stanem zapalnym, biorącym udział w patogenezie wielu chorób układu krążenia (m.in. nadciśnienia tętniczego, postępu miażdżycy). Migotanie przedsionków, najczęstsze zaburzenie rytmu serca, występuje częściej u pacjentów z zapaleniem przyzębia (zwłaszcza jego cięższych postaci). Ponadto zapalenie przyzębia występujące u mniej więcej jednej piątej pacjentów z migotaniem przedsionków przyczynia się do gorszego rokowania (nawrót arytmii, zwiększone ryzyko udaru). Utrzymywanie higieny jamy ustnej i leczenie przyzębia to udokumentowany sposób zapobiegania nowym przypadkom migotania przedsionków i poprawy rokowania pacjentów z iistniejącym migotaniem przedsionów. W niniejszym artykule podsumowano kluczowe aspekty dotyczące zapalenia przyzębia i migotania przedsionków.

Czytaj więcej

Zapalenie przyzębia a ryzyko otępienia. Przegląd aktualnych danych dla stomatologa praktyka

Zarówno zapalenie przyzębia, jak i demencja stanowią globalny problem. Wyniki licznych badań wskazują, że osoby z zapaleniem przyzębia charakteryzują się większym ryzykiem wystąpienia demencji (szczególnie związanej z chorobą Alzheimera), natomiast demencja poprzez negatywny wpływ na nawyki żywieniowe i higienę jamy ustnej zwiększa ryzyko zapalenia przyzębia. Leczenie periodontologiczne może się przyczynić do prewencji zaburzeń funkcji poznawczych.

Czytaj więcej

Zapalenie przyzębia a ostry zespół wieńcowy, czyli o niebezpiecznym związku, o którym każdy stomatolog wiedzieć powinien

Choroby układu krążenia pochodzenia miażdżycowego (ASCVD) i zapalenie przyzębia stanowią globalny problem zdrowotny. ASCVD są najczęstszą przyczyną zachorowalności i śmiertelności na całym świecie. Wyniki badań wskazują, że chorzy z zapaleniem przyzębia charakteryzują się istotnie zwiększonym ryzykiem wystąpienia ASCVD i gorszym rokowaniem. Jednakże leczenie periodontologiczne przyczynia się do zmniejszenia ryzyka sercowo-naczyniowego u chorych z podwyższonym ryzykiem wystąpienia ASCVD, jak również z już występującym ASCVD.

Czytaj więcej

Antybiotykoterapia w stomatologii. Praktyczne wskazówki

Infekcje ustno-twarzowe wymagają odpowiedniego leczenia, ponieważ mogą powodować wiele groźnych powikłań. Antybiotyki stanowią jedną z metod prewencji i leczenia infekcji w stomatologii. Jednak ich nieracjonalne stosowanie przyczynia się do globalnego problemu, jakim jest antybiotykooporność bakterii. W celu zwiększenia racjonalnego wykorzystywania antybiotyków w stomatologii eksperci z Grupy Roboczej Polskiego Towarzystwa Stomatologicznego (PTS) i Narodowego Programu Ochrony Antybiotyków (NPOA) przygotowali rekomendacje kliniczne w tym zakresie.

Czytaj więcej

Zapalenie przyzębia a nadciśnienie tętnicze – czyli o czym każdy stomatolog wiedzieć powinien

Zapalenie przyzębia jest bardzo powszechną chorobą jamy ustnej. Objawy tego schorzenia nie są jednak bardzo dotkliwe na wczesnych etapach rozwoju choroby. Powoduje to, iż nasi pacjenci ignorują symptomy, takie jak krwawienie w czasie szczotkowania czy rozwój recesji, i zgłaszają się do stomatologa dopiero, gdy są zaniepokojeni rozchwianiem zębów. Późne leczenie zapalenia przyzębia może mieć bardzo dotkliwe skutki dla zdrowia ogólnego. W ostatnich latach jest prowadzonych wiele badań na temat wpływu zapalenia przyzębia na zdrowie ogólne. Pokazały one, iż przewlekłe zapalenia, toczące się latami w naszych tkankach, są źródłem aktywacji komórek układu immunologicznego, które następnie mogą brać udział w etiopatogenezie wielu schorzeń ogólnych, w tym nadciśnienia tętniczego. Identyfikacja zapalenia przyzębia jako czynnika ryzyka nadciśnienia jest bardzo ważnym faktem, który stawia przed nami, stomatologami, kolejne wyzwanie jako przed lekarzami mogącymi czynnie uczestniczyć w prewencji choroby nadciśnieniowej u swoich pacjentów przez zapobieganie chorobom przyzębia i ich wczesne leczenie.

Czytaj więcej

Zapalenie przyzębia a ryzyko otępienia. Przegląd aktualnych danych dla stomatologa praktyka

Zarówno zapalenie przyzębia, jak i demencja stanowią globalny problem. Wyniki licznych badań wskazują, że osoby z zapaleniem przyzębia charakteryzują się większym ryzykiem wystąpienia demencji (szczególnie związanej z chorobą Alzheimera), natomiast demencja poprzez negatywny wpływ na nawyki żywieniowe i higienę jamy ustnej zwiększa ryzyko zapalenia przyzębia. Leczenie periodontologiczne może się przyczynić do prewencji zaburzeń funkcji poznawczych.

Czytaj więcej

Kawa a najczęstsze choroby jamy ustnej. Przegląd dla stomatologów praktyków

Do najważniejszych czynników ryzyka chorób jamy ustnej należą niewłaściwa higiena jamy ustnej oraz nieprawidłowe nawyki żywieniowe [3]. Biorąc pod uwagę, że kawa stanowi istotny składnik diety Polaków [6] i bezpośrednio oddziałuje na jamę ustną, istotne jest poznanie jej wpływu na rozwój tak powszechnych chorób jamy ustnej jak choroba przyzębia czy rak jamy ustnej.

Czytaj więcej

Zapalenie przyzębia a ostry zespół wieńcowy, czyli o niebezpiecznym związku, o którym każdy stomatolog wiedzieć powinien

Choroby układu krążenia pochodzenia miażdżycowego (ASCVD) i zapalenie przyzębia stanowią globalny problem zdrowotny. ASCVD są najczęstszą przyczyną zachorowalności i śmiertelności na całym świecie. Wyniki badań wskazują, że chorzy z zapaleniem przyzębia charakteryzują się istotnie zwiększonym ryzykiem wystąpienia ASCVD i gorszym rokowaniem. Jednakże leczenie periodontologiczne przyczynia się do zmniejszenia ryzyka sercowo-naczyniowego u chorych z podwyższonym ryzykiem wystąpienia ASCVD, jak również z już występującym ASCVD.

Czytaj więcej

Antybiotyki w stomatologii – dane epidemiologiczne, działania niepożądane i ich prewencja ze szczególnym uwzględnieniem roli Saccharomyces boulardii

Antybiotyki od lat są nadużywane przez stomatologów. Stosowanie ich w ramach profilaktyki po zabiegach stomatologicznych u osób zdrowych nie przynosi dodatkowych korzyści. W profilaktyce zakażeń w stomatologii podstawowe znaczenie ma właściwa higiena jamy ustnej i zachowanie odpowiednich zasad aseptyki i antyseptyki okołozabiegowej, natomiast w leczeniu zakażeń zębopochodnych – miejscowe leczenie przyczynowe. Stosowanie antybiotyków nie jest substytutem żadnego z tych postępowań.

Czytaj więcej

Antybiotykoterapia w stomatologii praktyczne wskazówki

Najczęściej stosowane antybiotyki w stomatologii

Infekcje ustno-twarzowe wymagają odpowiedniego leczenia, ponieważ mogą powodować wiele groźnych powikłań. Antybiotyki stanowią jedną z metod prewencji i leczenia infekcji w stomatologii. Jednak ich nieracjonalne stosowanie przyczynia się do globalnego problemu, jakim jest antybiotykooporność bakterii. W celu zwiększenia racjonalnego wykorzystywania antybiotyków w stomatologii eksperci z Grupy Roboczej Polskiego Towarzystwa Stomatologicznego (PTS) i Narodowego Programu Ochrony Antybiotyków (NPOA) przygotowali rekomendacje kliniczne w tym zakresie.

Czytaj więcej