Licówki ceramiczne w estetycznej rehabilitacji uśmiechu

PRACTISE & CASES

Adhezja wykorzystywana w nowoczesnej stomatologii odtwórczej, wraz z materiałami, których przezierność jest porównywalna do naturalnych zębów, wyznacza nowe standardy w minimalnie inwazyjnej stomatologii rekonstrukcyjnej. Adhezja jest procesem tworzenia połączenia adhezyjnego, które łączy ze sobą substraty, tzw. adherenty. W stomatologii są nim szkliwo oraz zębina, na które nakładany jest środek adhezyjny. Ogromny postęp w tej dziedzinie zawdzięczamy badaniom M. G. Buonocore, który pierwszy w latach 50. ubiegłego wieku zastosował 85-procentowy roztwór kwasu fosforowego w celu poprawy wiązania żywicy do szkliwa [1]. Od tego czasu stomatologia adhezyjna zmienia paradygmaty standardów terapii i stale się rozwija, wyznaczając nowe horyzonty. 

Ogromny postęp w tej dziedzinie zawdzięczamy badaniom M. G. Buonocore, który pierwszy w latach 50. ubiegłego wieku zastosował 85-procentowy roztwór kwasu fosforowego w celu poprawy wiązania żywicy do szkliwa1. Od tego czasu stomatologia adhezyjna zmienia paradygmaty standardów terapii i stale się rozwija, wyznaczając nowe horyzonty. 

POLECAMY

Rozwój technik adhezyjnych odzwierciedla ogromne możliwości kliniczne, jakie niesie za sobą wykorzystanie pośrednich metod odtwórczych, m.in. z zastosowaniem ceramiki dentystycznej. Połączenie adhezyjne z tkankami zęba dotyczy tylko ceramiki na bazie krzemianów, której struktura powierzchni ulega zmianie po ekspozycji na kwas fluorowodorowy (HF). Do tej grupy zalicza się wzmacnianą leucytem ceramikę feldszpatową oraz ceramikę z dwukrzemianu litu. Struktura ich powierzchni po wytrawieniu ulega rozwinięciu poprzez selektywne rozpuszczenie fazy krystalicznej. Trawienie i silanizacja ceramiki umożliwia swobodną penetrację kompozytu o niskiej lepkości w głąb powstałych w wyniku tego procesu mikrozagłębień. Właściwość tak przygotowanej ceramiki pozwala na niezmienne w czasie połączenie odbudowy ze szkliwem zęba, tworząc bardzo trwałe połączenie2 3. Adhezja umożliwia rezygnację z preparowania kształtu retencyjnego korony, czego niewątpliwą zaletą jest zachowanie tkanek zęba. Rezygnacja z klasycznej preparacji korzystnie wpływa na wytrzymałość korony, ponieważ procedura klinicznej preparacji filaru zęba pod koronę wymaga znacznej redukcji opracowywanego zęba, co stanowi ogromną wadę takiego rozwiązania i niewątpliwie jest działaniem resekcyjnym. Ocenia się, że ilość usuwanych tkanek twardych zęba w przypadku takiej preparacji jest redukowana o blisko 70%4 5 6. W przypadku wykonania licówek, których przemyślana preparacja wykonywana z poziomu mock-up umożliwia zachowanie o ok. 40% tkanki zęba więcej w odniesieniu do klasycznej preparacji pod korony (zdj. 1). Oczywisty również staje się fakt, że mniej inwazyjna preparacja oznacza również mniejsze ryzyko powikłań endodontycznych, które w sposób znaczący wpływają na okres użytkowania wykonanego uzupełninia protetycznego (tab. 1). 

Tab. 1. Utrata i zachowanie żywotności miazgi w przypadku zaopatrzenia zębów uzupełnieniami stałymi. Na podstawie: Cheung G.S.P., Lai S.C.N., Ng R.P.Y. Fate of vital pulps beneath a metal-ceramic crown or a bridge retainer. INT Endod J 2005; 38: 521–530
  Po 10 latach Po 15 latach
Utrata żywotności miazgi w przypadku zaopatrzenia zębów uzupełnieniami stałymi
korony metalowo-porcelanowe 15,6% 19,0%
mosty metalowo-porcelanowe  29,2% 34,0%
Zachowanie żywotności miazgi w przypadku zaopatrzenia zębów uzupełnieniami stałymi
korony metalowo-porcelanowe  84,4%  81,2%
mosty metalowo-porcelanowe 70,8% 66,2% 

Licówki pełnoceramiczne stanowią wspaniałą alternatywę dla tradycyjnych koron protetycznych opartych na podbudowie metalowej lub cyrkonowej ze względu na dobre wyniki długoczasowe, niski stopień redukcji tkanek podczas szlifowania oraz doskonałe właściwości estetyczne7. Ponadto licówki ceramiczne są dobrym rozwiązaniem w przypadku klasycznych inwazyjnych rozwiązań w rekonstrukcji biomechaniki zębów czy uzyskania odpowiedniej funkcji. W związku z powyższym obecnie licówki ceramiczne przestały być postrzegane wyłącznie jako uzupełninia estetyczne8 9. Kluczem w uzyskaniu dobrych wyników długoterminowych jest połączenie ceramiki ze szkliwem, w związku z czym należy je wykonywać z wykorzystaniem technik addycyjnych10 11. W praktyce klinicznej oznacza to wykonanie diagnostycznego wax-up i przeniesienie jego wyniku na pracę ostateczną, poprzez wykonie silikonowego indeksu lub preparacji poprzez mock-up. Wykonywana w ten sposób preparacja uwzględnia określony wcześniej kształt zewnętrzny planowanej licówki i pozwala ograniczyć ilość usuwanych tkanek zęba w trakcie szlifowania12 13 14 15 16 17.

Zastosowanie w stomatologii rekonstrukcyjnej licówek z ceramiki połączonej adhezyjnie z tkankami zęba stanowi korzystną i przewidywalną metodę leczenia, której dobre wyniki długoterminowe zostały potwierdzone w wielu publikacjach cytowanych powyżej. Dane z literatury informują, że prawdopodobieństwo przetrwania licówek w okresie 10-letnim wynosi 93,5%18. W związku z powyższym minimalnie inwazyjna stomatologia odtwórcza jest metodą z wyboru podczas planowania i przeprowadzania procedury klinicznej we współczesnych czasach.

Kazuistyka

Do gabinetu autora zgłosiła się pacjentka nieakceptująca swojego uśmiechu, czego przyczyną były uszkodzone korony zębów siecznych przyśrodkowych górnych (zdj. 2–4) oraz niesatysfakcjonujący kolor zębów. Pacjentka od dłuższego czasu definiowała problem, którego rozwiązanie ze względu na proponowane klasyczne leczenie protetyczne nie uzyskało jej akceptacji. Szczegółowe badanie kliniczne ujawniło obecność przebarwień i uszkodzenia szkliwa w obrębie siekaczy centralnych związane z działaniem czynników erozyjno-abrazyjnych. W celu przeprowadzenia przemyślanego leczenia zdecydowano o pobraniu wycisków celem wykonania addycyjnego wax-up (zdj. 5). Modele orientacyjne sytuacji wyjściowej ujawniły niedobory wydatności przedsionkowo-językowej zębów siecznych górnych przyśrodkowych. Obecnie autor preferuje wykonanie nawoskowania za pomocą wosku w kolorze kontrastującym z kolorem modelu roboczego, aby lepiej uwidocznić granice odbudowanych za jego pomocą zębów. Jest to ważne dla dokładnego zdefiniowania i zachowania granic preparacji. W związku z powyższym postępowanie kliniczne wymagało minimalnej preparacji zębów. Analiza kliniczna, fotograficzna, radiologiczna oraz modeli diagnostycznych pozwoliła na zaproponowanie planu leczenia. Uwzględniał on zachowawcze leczenie stomatologiczne, przeprowadzenie wybielania medycznego oraz wykonanie licówek z ceramiki skaleniowej Ceramco (Dentsply) łączonej adhezyjnie z tkankami zęba. W pierwszej kolejności przeprowadzono leczenie zachowawcze zębów wedle obowiązujących metod stomatologii minimalnie inwazyjnej z zastosowaniem technik adhezyjnych. Kolejnym krokiem było wybielanie medyczne, do którego użyto zestawu Opalescence Boost 40% (Ultradent). Żel wybielający zaktywowano zgodnie z zasadami przedstawionymi przez producenta (zdj. 6). Następnie przystąpiono do aplikacji i polimeryzacji materiału OpalDam w celu ochrony girlandy dziąsłowej. Kolejną czynnością była aplikacja żelu wybielającego na powierzchnię wargową zębów górnych i dolnych (zdj. 7). Po upływie 20 minut żel usunięto i dokładnie wypłukano. Oceniono klinicznie stan koferdamu chroniącego girlandę dziąsłową, stan okolicznych tkanek miękkich oraz efekt wybielania. Pacjentka nie zgłaszała żadnych dolegliwości. Ponownie aplikowano żel na powierzchnię wargową zębów. Po upływie kolejnych 20 minut żel usunięto i skontrolowano stan kliniczny jamy ustnej oraz usunięto w całości materiał chroniący girlandę dziąsłową. Wyznaczono wizytę kontrolną za klika dni w celu obiektywnej oceny skuteczności przeprowadzonego wybielania. Efekt wykonanego zabiegu oceniony po tygodniu spełnił oczekiwania obu stron. 

W związku z planowaną procedurą adhezyjnego osadzania licówek kolejną wizytę wyznaczono za 21 dni. Uwzględniono zasadę, że wypełnienia zakładane zgodnie z zasadami stomatologii adhezyjnej (kompozyty, licówki, wkłady itp.) mogą być założone najwcześniej dwa tygodnie od zakończenia wybielania. Pierwszym powodem jest konieczność ustabilizowania się koloru zęba, poza tym w związku ze zjawiskiem inhibicji tlenowej nieprzestrzeganie tej zasady spowoduje bliskie lub oddalone w czasie komplikacje związane z jakością (szczelność, siła adhezji) zakładanych uzupełnień. Wyznaczona wizyta, podczas której przeprowadzono preparację, uwzględniała przedstawiony powyżej protokół postępowania. Dobrano kolor odbudowy, decydując się na A1 przy zastosowaniu kolornika Vita (zdj. 8). W pierwszej kolejności wykonano znieczulenie nasiękowe (4% Ubistesin, 3MESPE). Po uzyskaniu anestezji preparowanego obszaru zębów 11. i 21. założono do kieszonek dziąsłowych suchą nić retrakcyjną (Ultrapak Knitted Cord nr 000). Postępowanie takie umożliwia precyzję i dobrą widoczność pola zabiegowego podczas preparacji oraz chroni granice girlandy dziąsłowej (zdj. 9). Następnie wykonano mock-up w obrębie zębów siecznych w szczęce na podstawie wykonanego w laboratorium wax-up, wykorzystując materiał od prac tymczasowych Protemp II (3M ESPE). Zaznaczono rowki orientacyjne: 1,5 mm w obrębie brzegu siecznego i 0,3 mm na powierzchni wargowej, po czym zaakcentowano ich brzegi ołówkiem (zdj. 10). W trakcie tej procedury zastosowano wiertła o przemierzonej grubościomierzem średnicy. Preparację przeprowadzono oszczędnie, usuwając wcześniej z powierzchni koron naniesiony mock-up i redukując obszary oznaczone ołówkiem. Podczas tej procedury klinicznej preparowano minimalnie, aby adhezyjne połączenie z nowymi licówkami przebiegało w obrębie szkliwa. Tak wykonana preparacja zwiększa siłę połączenia pracy ostatecznej, co oczywiście przekłada się na długoterminowy, dobry wynik wykonanej rekonstrukcji. W trakcie postępowania opisanego powyżej kontrolowano stale zakres preparacji przy wykorzystaniu indeksu silikonowego19. Preparacja minimalnie inwazyjna wykonana w opisywanym przypadku klinicznym jest bardziej wymagająca niż bardziej inwazyjne preparacje pod korony całkowite. Granica preparacji została zdefiniowana naddziąsłowo w związku z licznymi zaletami, jakie niesie za sobą ten sposób preparacji: w pełni kontrolowana preparacja, łatwość pobrania wycisku, obecność szkliwa, dobra możliwość kontroli podczas cementowania oraz brak niekorzystnych interferencji z dziąsłem brzeżnym. Po zakończonej preparacji zaokrąglono wszystkie brzegi z zastosowaniem krążków ściernych i brązowej gumki w kształcie odwróconego kielicha (zdj. 11, 12). Precyzyjne i dokładne wykonanie tego etapu leczenia mogło być przeprowadzone w warunkach kontrolowanych dzięki pracy w powiększeniu (Lupy Keeler 3,0×). Po preparacji pobrano wyciski masą silikonową metodą jednoczesną dwuwarstwową dla szczęki, wycisk masą alginatową dla żuchwy oraz pobrano rejestrat zwarcia. Następnie wykonano uzupełninie tymczasowe, aplikując do pobranego przed opracowaniem zębów przednich materiał Protemp II (3M ESPE, zdj. 13). Utrzymanie prowizorium mimo małej powierzchni łączącej umożliwia niewielki skurcz materiału oraz pozostawienie niewielkich nadmiarów w przestrzeniach stycznych zębów sąsiednich. Mając na uwadze jakość przyszłego osadzenia ostatecznego, nie zastosowano w mocowaniu licówek tymczasowych łączenia adhezyjnego. Wykonane w laboratorium licówki trafiły po kilku dniach do gabinetu (zdj. 14–18). Na kolejnej wizycie po zdjęciu prowizorium przystąpiono do próby licówek. Przed próbą dokładnie oczyszczono zęby nylonowymi szczoteczkami i pastą bez fluorku (Densplay Sirona). Do próbnego osadzenia licówek zastosowano barwiony żel glicerynowy i pastę Try-In (Variolink Estheti, Ivoclar Vivadent). Podczas tej czynności oceniono dokładność przylegania, zasięg i kolor oraz ich umocowanie. Uzupełninia wykonane z ceramiki skaleniowej są bardzo kruche, dlatego bardzo ważne jest poinformowanie o tym pacjenta w celu uzyskania doskonałej współpracy. Licówki stabilnie i dokładnie przylegały do miejsca preparacji. 

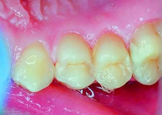
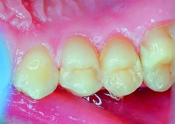
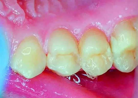
Próbę wykonano przed izolacją pola zabiegowego, aby dokładnie ocenić harmonię rekonstrukcji z resztą zębów (zdj. 19). Po weryfikacji jakości pracy poproszono pacjentkę o opinię. Uzyskanie akceptacji pozwoliło na przejście do procedury cementowania licówek. Adhezyjne cementowanie przeprowadzono z wykorzystaniem zestawu Variolink II (Ivoclar Vivadent). Licówki umieszczono na transferach (zdj. 20) i oczyszczono zanieczyszczone w wyniku przymiarki ich powierzchnie wewnętrzne za pomocą nylonowej szczoteczki. Następnie przeprowadzono proces trawienia powierzchni łączonej odbudowy kwasem fluorowodorowym przez 2 minuty. Po dokładnym wypłukaniu wytrawiacza osuszono licówkę. Obserwowane po spłukaniu kwasu wytrącone sole (zdj. 21) na wewnętrznej powierzchni licówek usunięto poprzez umieszczenie ich w 95-procentowym roztworze alkoholu z zastosowaniem ultradźwięków (zdj. 22). Uzyskanie efektywnego połączenia adhezyjnego możliwe jest dzięki uzyskanej w wyniku trawienia HF porcelany skaleniowej retencji mikromechanicznej i połączenia chemicznego (silanizacja). Osuszoną powierzchnię licówek pokryto zatem silanem, który aplikowano trzykrotnie, zostawiając czas na jego swobodne odparowanie (zdj. 23). Powierzchnię odbudowy przeznaczonej do połączenia adhezyjnego pokryto bondem Heliobond Syntac Clasic (Ivoclar Vivadent) i umieszczono w ochronnym pudełeczku. Protokół cementowania został wykonywany wedle zasad po uprzedniej izolacji pola zabiegowego. Dokładnie oczyszczono opracowane pod licówki zęby z zastosowaniem pasty (bez fluoru) i wody. Po wypłukaniu i delikatnym osuszeniu zębów zastosowano technikę wytrawiania tkanek 36% kwasem ortofosforowym. Po wykonaniu tej procedury wypłukano kwas i delikatnie osuszono tkanki zęba. Następnie naniesiono na opracowane tkanki zęba płyn Syntac Primer (Ivoclar Vivadent) oraz Syntac Adhesive (Ivoclar Vivadent) zgodnie z zaleceniami producenta. Tak przygotowaną powierzchnię pokryto żywicą Heliobond Syntac Clasic (Ivoclar Vivadent). Do cementowania użyto cementu światłoutwardzalnego bez dodatku katalizatora o kolorze A1, aplikując go z nadmiarem na powierzchnię adhezyjną licówek. Następnie wprowadzono licówki na zęby i po usunięciu nadmiarów wstępnie spolimeryzowano kolejno każdą z nich. Polimeryzację końcową przeprowadzono pod płaszczem glicerynowym w celu zablokowania dostępu powietrza, co gwarantowało pełne utwardzenie kompozytu. Naświetlanie przeprowadzono lampą o odpowiedniej wydajności (Mini L.E.D Advantage Satelec, > 1000 mW/cm2), przez 40 sekund od strony przedsionkowej, podniebiennej, chłodząc korony delikatnie powietrzem z dmuchawki. Po polimeryzacji usunięto nici retrakcyjne i za pomocą skalpela starannie oczyszczono brzeg dziąsłowy (ostrze nr 12). Ostateczne opracowanie powierzchni stycznych przeprowadzono z zastosowaniem skalpela, metalowych paseczków z nasypem diamentowym (Intensiv ProxoStrip) oraz gumek do polerowania. Kontroli zwarcia dokonano wedle obowiązujących zasad. Oceniono okluzję statyczną i dynamiczną pod kątem interferencji i kontaktów przedwczesnych. Kontakty w okluzji statycznej i dynamicznej dopracowano za pomocą drobnoziarnistego wiertła diamentowego z intensywnym chłodzeniem wodnym. Całość rekonstrukcji dokładnie wypolerowano, używając zestawu do polerowania ceramiki (Komet Dental). Efekt ostateczny zarówno funkcjonalny, jak i estetyczny w pełni usatysfakcjonował zespół autora i pacjentkę (zdj. 24–28). Zestawienie efektów leczenia ilustrują zdj. 29 i 30.

Wnioski końcowe

Odbudowę korony zęba można wykonać poprzez zastosowanie różnych rodzajów uzupełnień protetycznych wykonanych metodą pośrednią lub bezpośrednią z różnym kosztem redukcji twardych tkanek zęba. W prezentowanym przypadku klinicznym można było wykonać licówki metodą bezpośrednią lub pośrednią z zastosowaniem materiału kompozytowego. Zdecydowano jednak o zastosowaniu ceramiki ze względu na wyższy odsetek przetrwania w ocenie długoterminowej20. Wraz ze stałym rozwojem technologii możliwe jest odtworzenie funkcji i estetyki z respektem dla zasad biomimetyki. Licówki porcelanowe łączone adhezyjnie z tkankami zęba stanowią doskonałą alternatywę w rekonstrukcji koron zębów. Ponadto zachowawczy charakter preparacji, w której powierzchnia podniebienna jest wolna od uzupełninia protetycznego, chroni przed nadmiernym starciem zębów przeciwstawnych. Klinicznie za ich zastosowaniem przemawia maksymalne zachowanie szkliwa i zębiny, a ich uzupełnienie materiałem z ceramiki naśladującym naturę nietkniętego zęba jest niewątpliwie jego ogromną zaletą21 22. Oczywiście nie bez znaczenia jest fakt, że porcelana dentystyczna jest znacznie mniej podatna na akumulację biofilmu w porównaniu z kompozytami, złotem, a nawet naturalnymi tkankami zęba, wpływając na dobry stan przyzębia rekonstruowanych zębów. Kolejnym argumentem przemawiającym za stosowaniem tego typu uzupełnień są retrospektywne badania kliniczne wykazujące na prawdopodobieństwo przetrwania licówek po 20 latach na poziomie 91%23. W uzyskaniu tak wysokiego odsetku sukcesu istotną rolę według autorów badania odgrywa obecność szkliwa w obrębie preparacji, kształt preparacji z półstopniem w obrębie obszaru dziąsłowego oraz redukcja brzegu siecznego z przejściem na powierzchnię podniebienną.

Mając na uwadze ciągły rozwój systemów łączących i cementów lutujących, należy się spodziewać coraz lepszych wyników klinicznych zastosowania rekonstrukcji koron zębów z użyciem porcelany połączonej adhezyjnie ze szkliwem i zębiną. Przytoczone powyżej argumenty przemawiają za rekomendacją tego typu uzupełnień w podobnych sytuacjach klinicznych.

*24

Pracę protetyczną wykonała: mgr inż. Iwona Motyl „Vision Dental”

 

Przypisy