Menu
Data udostępnienia e-wydania: 04-12-2024
Nr 4
Listopad 2024
Listopad 2024
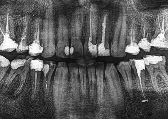
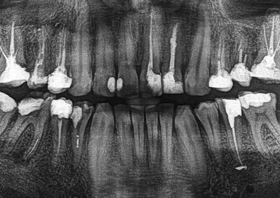
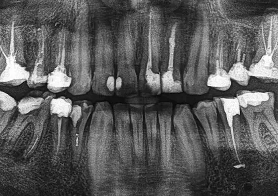
W tym wydaniu m.in: zapalenie przyzębia a ryzyko otępienia, gojenie zmian okołowierzchołkowych, okolica przyszyjkowa jako kompleksowe spojrzenie kliniczne, WawaDent 2024, by-pass złamanego narzędzia.
W listopadowym wydaniu czasopisma Stomatologia Practise&Cases poruszamy temat lekarza dentysty z perspektywy prowadzenia przedsiębiorstwa. Dentysta będący jednocześnie przedsiębiorcą łączy rolę specjalisty od leczenia i profilaktyki chorób jamy ustnej z zarządzaniem własną działalnością gospodarczą. Praktyka lekarska to forma jednoosobowej działalności, która umożliwia przyjmowanie pacjentów. Prowadzenie gabinetu stomatologicznego wymaga spełnienia wielu obowiązków – prawnych, etycznych, administracyjnych i organizacyjnych – obejmujących zarówno aspekty medyczne, jak i biznesowe. Z jakimi wymogami prawnymi łączy się prowadzenie indywidualnej praktyki lekarskiej? Zapraszamy do lektury!
Zawartość dostępna online
DENTISTRY & FUTURE
LAW & CASES
- Anna Popławska
- 4 grudnia 2024
PRACTISE & CASES
- lek. dent. Ewa Dudkiewicz
- 4 grudnia 2024