By-pass złamanego narzędzia – opis przypadku

PRACTISE & CASES

W artukule przedstawiono proces leczenia pacjenta, u którego podczas próby leczenia kanałowego doszło do odseparowania fragmentu narzędzia endodontycznego. Zastosowano technikę by-pass w celu udrożnienia kanału oraz dalsze procedury endodontyczne. 

33-letni pacjent, mieszkający na co dzień w Kopenhadze, zgłosił się w celu dokończenia leczenia kanałowego zęba 46. Podczas pierwszej wizyty endodontycznej w innym gabinecie doszło do odseparowania fragmentu maszynowego narzędzia do opracowania kanałów korzeniowych.
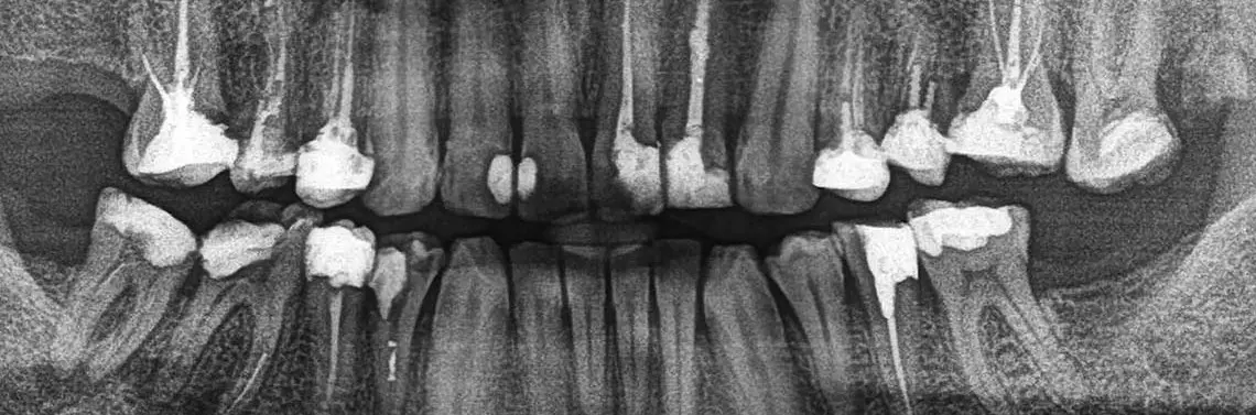
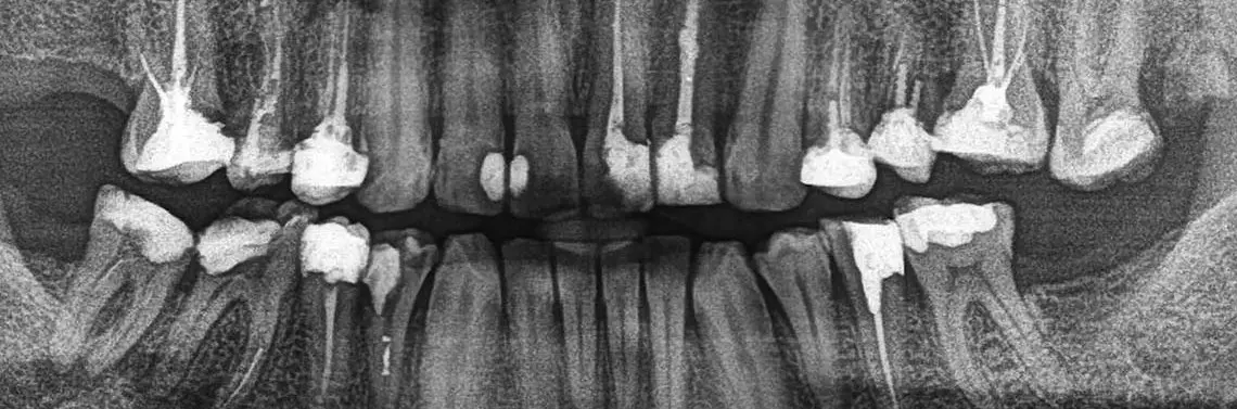
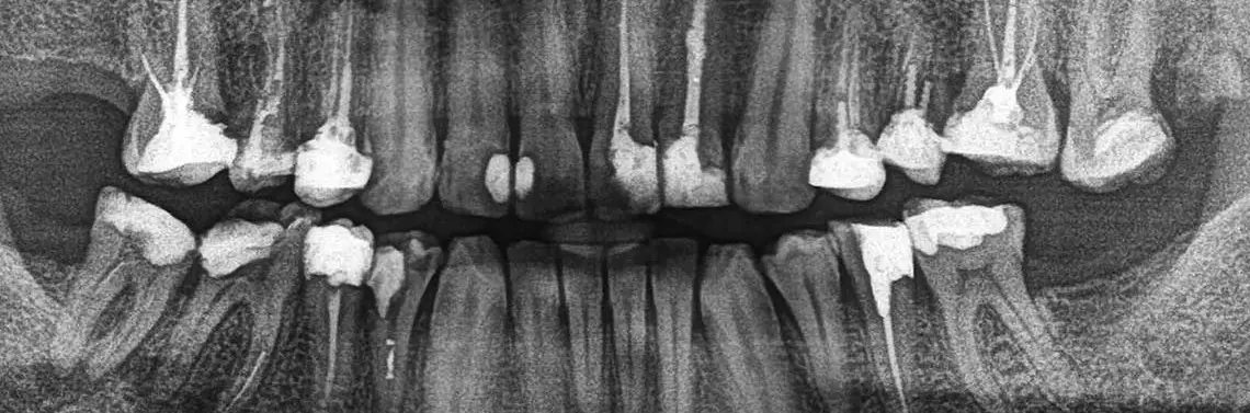
Na dostarczonym mi zdjęciu (zdj. 1) widać jeden z kanałów mezjalnych, w którym znajduje się narzędzie o długości odpowiadającej mniej więcej jednej drugiej długości korzenia. Należy zwrócić uwagę na bardzo dużą utratę tkanek twardych k...

Pozostałe 90% treści dostępne jest tylko dla Prenumeratorów

Co zyskasz, kupując prenumeratę?
  • Roczną prenumeratę 4 wydań Forum Stomatologii Praktycznej
  • Nielimitowany dostęp do całego archiwum czasopisma
  • ...i wiele więcej!

Praktyczna wiedza dla nowoczesnego zespołu stomatologicznego.

Kwartalnik dla lekarzy, higienistek i techników dentystycznych — łączący kliniczne doświadczenia, innowacje i interdyscyplinarną współpracę.

aktualne opisy przypadków i technik klinicznych
nowoczesne materiały i technologie stomatologiczne
praktyczne protokoły i wskazówki dla zespołu dentystycznego
analiza błędów medycznych i aspektów prawnych w stomatologii
aktualności i trendy — od diagnostyki po protetykę i higienę
dostęp do archiwum i łatwa prenumerata (papierowa lub cyfrowa)
Praktyczna wiedza dla nowoczesnego zespołu stomatologicznego.

Przypisy