Autor: Adam Wróbel

dr n. med.
Prezes Świętokrzyskiego Oddziału Polskiego Towarzystwa Stomatologicznego. Przewodniczący Komisji Stomatologicznej Świętokrzyskiej Izby Lekarskiej, członek Komisji Stomatologicznej Naczelnej Izby Lekarskiej, wykładowca Morita Laser Academy 

Działy
Wyczyść
Brak elementów
Wydanie
Wyczyść
Brak elementów
Rodzaj treści
Wyczyść
Brak elementów
Sortowanie

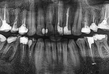
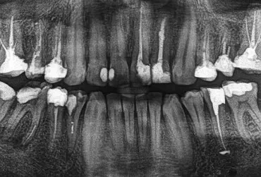
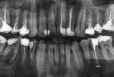
Powtórne leczenie kanałowe z pomocą AI. Czy sztuczna inteligencja może pomóc w codziennej pracy?

Artykuł przedstawia przebieg powtórnego leczenia kanałowego górnego trzonowca z pominiętym kanałem MB2 przy asyście sztucznej inteligencji.

Czytaj więcej

By-pass złamanego narzędzia – opis przypadku

W artukule przedstawiono proces leczenia pacjenta, u którego podczas próby leczenia kanałowego doszło do odseparowania fragmentu narzędzia endodontycznego. Zastosowano technikę by-pass w celu udrożnienia kanału oraz dalsze procedury endodontyczne. 

Czytaj więcej