Autor: mgr inż. Iwo Rutański

Absolwent Politechniki Wrocławskiej (fizyka techniczna – inżynieria biomedyczna). Specjalista z zakresu technik obrazowania i analizy obrazów diagnostycznych CBCT. Trener. Posiada liczne certyfikaty jakości Carestream Kodak Systems. Prowadzi wykłady i szkolenia dla lekarzy stomatologów i techników dentystycznych. Uczestniczy w branżowych konferencjach naukowych.

Działy
Wyczyść
Brak elementów
Wydanie
Wyczyść
Brak elementów
Rodzaj treści
Wyczyść
Brak elementów
Sortowanie

Redukcja artefaktów metalowych (i nie tylko) w diagnostyce stomatologicznej – nowe możliwości w obrazowaniu CBCT

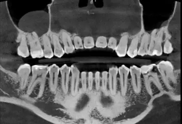
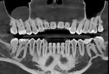
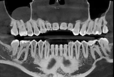
Artefakty metalowe w obrazowaniu stomatologicznym niejednokrotnie stanowią bardzo poważne wyzwanie dla dokładnej diagnostyki i planowania leczenia. Ich występowanie wynika przede wszystkim z obecności metalowych uzupełnień, implantów i aparatów ortodontycznych, co komplikuje interpretację obrazów 3D. Niestety, materiały takie jak gutaperka również powodują występowanie rozbłysków, które bez ich redukcji praktycznie uniemożliwiają trafną diagnozę. W tym artykule omówiono przyczyny powstawania artefaktów metalowych, dokonano przeglądu aktualnych metod ich redukcji oraz omówiono najnowsze technologie w tym zakresie.

Czytaj więcej

Low Dose – przełom w tomografii komputerowej CBCT. Wieloletnie marzenia stały się faktem

Tomografia komputerowa CBCT niewątpliwie stała się rewolucją w diagnostyce obrazowej stosowanej przez lekarzy stomatologów. Niestety, jeszcze do niedawna wysokie dawki ekspozycji powodowały, że lekarze dentyści sięgali po mniej emisyjne formy obrazowania. Natomiast pojawiające się artefakty, w szczególności na obrazach u pacjentów z szeroko zastosowanymi metalami w jamie ustnej, skutecznie uniemożliwiały poprawną diagnozę danego przypadku.

Czytaj więcej