Implantacja natychmiastowa w praktyce stomatologa

Rozmowa z dr. Grzegorzem Ziętkiem

PRACTISE & CASES

Panie doktorze, czym jest implantacja natychmiastowa?

POLECAMY

Natychmiastowa implantacja to wszczepienie implantu bezpośrednio w zębodół powstały po usunięciu korzenia zęba. Jeżeli moment siły stabilizacji pierwotnej przekroczy 35 Ncm, to na tej samej wizycie implantolog może założyć na implant koronę tymczasową. Pacjent opuszcza gabinet z zębem. To naprawdę działa.

Czy często zdarzają się przypadki, kiedy wykonuje się implantację natychmiastową?

W codziennej praktyce stomatologicznej każdy z nas spotyka się z przypadkami, kiedy jesteśmy zmuszeni do usunięcia zębów i nierzadko są to przypadki nagłe. Metodą z wyboru powinna być wtedy implantacja natychmiastowa i o ile to możliwe – z obciążeniem natychmiastowym. Jeśli – oczywiście – zostaną spełnione wszystkie kryteria odnośnie kwalifikacji przypadku.

Czy są jakieś inne metody pomocy pacjentowi?

Jasne, współczesna stomatologia daje nam również inne możliwości pomocy pacjentowi. Niemniej jednak implantacja to najlepszy efekt estetyczny i najwyższy komfort życia pacjenta.

Panie doktorze, o czym należy pamiętać przed przystąpieniem do implantacji natychmiastowej? 

Przede wszystkim o pacjencie. Nigdy bowiem nie możemy obiecywać pacjentowi przed tego typu zabiegiem, że będzie mógł wyjść z zaopatrzeniem protetycznym na implancie. Z tego głównie powodu, że moment siły, z którą implant będzie umiejscowiony w łożu, musi przekraczać 35 Ncm. Stanowi to wartość graniczną, powyżej której można – spełniając jednocześnie inne kryteria – zaopatrzyć implant odbudową natychmiastową. Oczywiście im ta siła jest wyższa, tym lepiej, chociaż graniczną wartością jest 50 Ncm. Powyżej tej wartości możemy się spodziewać zaniku kości, a więc nie powinniśmy takiej wartości przekraczać. Jeśli wartość siły będzie poniżej 35 Ncm, to implant zostanie zakręcony i pozostawiony do wygojenia na około pół roku.

Na co jeszcze należy zwrócić uwagę? 

Odwołam się znów do pacjenta. Należy zwrócić uwagę na możliwy efekt końcowy – na estetykę końcową, która jest dla pacjenta najważniejsza. Jeśli szczelina pomiędzy implantem a ścianą zębodołu, ścianą przedsionkową będzie powyżej 2 mm, powinno się wypełnić materiałem kościozastępczym. Ja zawsze tak robię. Pytanie, jakie może się pojawić, to dlaczego nie użyć grubszego implantu. Teoretycznie można tak zrobić, jednak grubszy implant może spowodować gorszą estetykę końcową. A to właśnie ta ostateczna estetyka jest dla pacjenta zawsze najważniejsza.

Czy w związku z tym może Pan posłużyć się jakimś opisem przypadku?

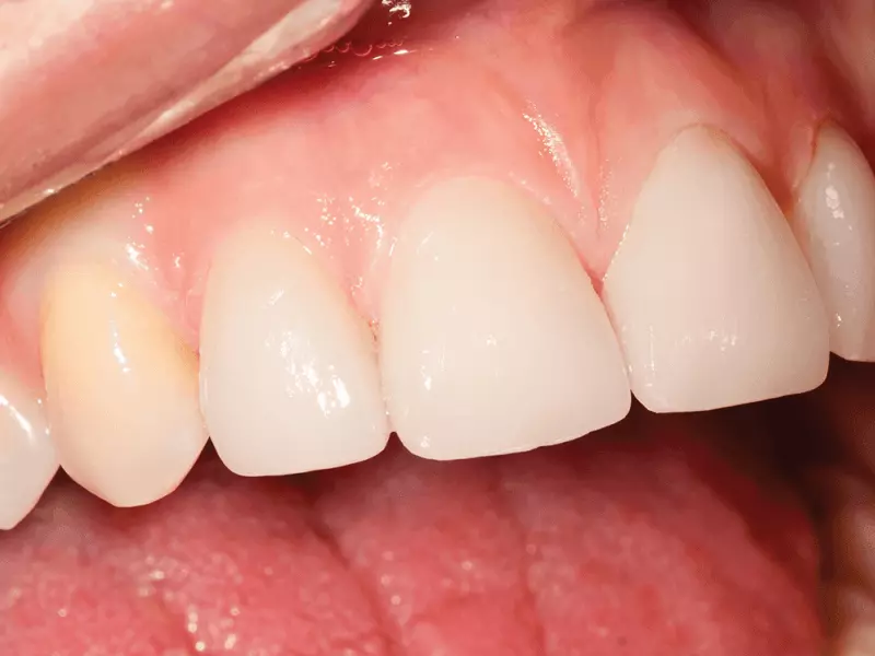
Oczywiście. Przykładem takiego przypadku, kiedy trzeba było usunąć ząb i natychmiast implantować, może być pacjentka, która zgłosiła się do mojej praktyki ze złamaną koroną zęba 22. Korona ta odbudowana była na standardowym wkładzie koronowo-korzeniowym, który uległ złamaniu i doprowadził do poprzecznego złamania korzenia zęba. Ząb 22 został usunięty atraumatycznie przy użyciu urządzenia PiezoSurgery firmy Mectron. Końcówka, która kształtem zbliżona jest do periotomu, umożliwia szybkie, łatwe i atraumatyczne usunięcie korzenia. Po ekstrakcji zębodół należy oczyścić z resztek ozębnej wiertłem różyczkowym. Następnie można przystąpić do implantacji. Ze względu na rozległy zębodół i w celu poprawienia stabilizacji pierwotnej implant BEGO SEMADOS typu S o średnicy 3,25 mm i długości 15 mm został wprowadzony przy zastosowaniu techniki BONE SPREADING, tzn. zagęszczeniu kości przy użyciu osteotomów. W powstałą szczelinę pomiędzy implantem a przedsionkową ścianką zębodołu został delikatnie upchnięty, zaaplikowany materiał kościozastępczy BEGO OSS. Jest to materiał w formie granulek wyprodukowanych z kości wołowej. Pomimo uzyskania wystarczającej stabilizacji pierwotnej do obciążenia natychmiastowego implantu, koronę tymczasową wykonałem w ten sposób, żeby nie dotykała ona do łącznika tymczasowego i była zespolona z koronami zębów sąsiednich. Pozwoliło to na uniknięcie jakichkolwiek ruchów implantu podczas aktu żucia w pierwszym miesiącu od implantacji. Jak wiadomo, po dwóch tygodniach od zabiegu stabilizacja pierwotna spada o połowę i jest to najbardziej niebezpieczny moment, w trakcie którego najłatwiej może dojść do utraty implantu. Po miesiącu pierwotna korona tymczasowa została zamieniona na nową koronę tymczasową, wykonaną przy fotelu z materiału Revoltec firmy Fuji GC. Po trzech miesiącach widoczne były w pełni ukształtowane brodawki dziąsłowe i dobra estetyka biało-czerwona.

Po ośmiu miesiącach od zabiegu wykonano koronę ostateczną na podbudowie cyrkonowej i łączniku cyrkonowym.

Bardzo dziękuję za rozmowę.

Ja również bardzo dziękuję. Zapraszam zarazem też do uczestnictwa w Akademii Stomatologa.pl, gdzie temat implantacji natychmiastowej omawiam szerzej, dzieląc się też przypadkami na filmach instruktażowych.

 

Zdj. 1. Stan uzębienia pacjentki przed zabiegiem
Zdj. 2. Efekt końcowy po całkowitym
zakończeniu leczenia

Przypisy