
Lipiec 2023
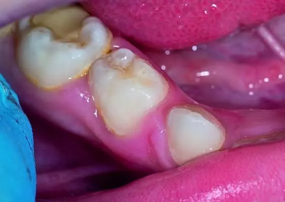
W sierpniowym wydaniu czasopisma Forum Stomatologii Praktycznej dokonujemy przeglądu możliwości stosowania profesjonalnych zabiegów profilaktycznych w obrębie uzębienia mlecznego. Choroba próchnicowa jest najbardziej rozpowszechnioną chorobą ludzkości. Dzieci są na nią narażone od momentu wyrżnięcia się pierwszego zęba. Szczególnie szybko ubytki próchnicowe rozwijają się w obrębie uzębienia mlecznego, co może mieć negatywny wpływ na podatność na próchnicę zębów stałych u starszych dzieci. Wśród profesjonalnych zabiegów profilaktycznych możliwych do przeprowadzenia w obrębie zębów mlecznych można wyróżnić higienizację i usunięcie płytki nazębnej ze wszystkich powierzchni zębów oraz nakładanie lakieru z fluorem i lakowanie powierzchni okluzyjnych zębów mlecznych. Ten ostatni zabieg jest stosunkowo rzadko stosowany, podczas gdy według badań jest najskuteczniejszym sposobem na zapobieganie rozwojowi próchnicy w obrębie trzonowych zębów mlecznych u dzieci. Dlaczego tak się dzieje? Zapraszamy do lektury!