Stomatologiczne leczenie dzieci

Postępowanie z chorobą próchnicową

PRACTISE & CASES

Współczesne podejście do leczenia choroby próchnicowej opiera się na opracowaniu strategii postępowania. Powinna ona uwzględniać ocenę indywidualnych czynników ryzyka rozwoju choroby, a następnie wdrożenie indywidualnego programu profilaktyki, dopiero na końcu uzupełnionego o leczenie odtwórcze. Rozważając potrzebę leczenia odtwórczego, należy wziąć pod uwagę bardzo ważny aspekt współpracy dziecka na fotelu – czy uzyska się znieczulenie miejscowe, gdy jest ono niezbędne i czy pacjent pozwoli na wykonanie zabiegu. W niektórych przypadkach u małych pacjentów z zaawan- sowaną chorobą próchnicową, niewspółpracujących, wymagających leczenia zarówno zachowawczego, jak i chirurgicznego, gdy leczenie z zastosowaniem znieczulenia miejscowego i/lub sedacji nie było wskazane lub nie przyniosło pozytywnych wyników, należy rozważyć leczenie w warunkach znieczulenia ogólnego.

POLECAMY

Przebieg leczenia i jego powodzenie uwarunkowane jest także dodatkowymi czynnikami, m.in.: wiekiem pacjenta, uzyskaniem dobrej izolacji pola zabiegowego od dostępu wilgoci podczas wrażliwych na nią procedur, ale również doświadczeniem lekarza stomatologa. 

Samo leczenie/wypełnianie ubytków nie jest w stanie powstrzymać choroby próchnicowej. Jednak już prawidłowe stosowanie podstawowego środka profilaktycznego, jakim jest codzienne dwukrotne szczotkowanie zębów z użyciem past z fluorem, może hamować rozwój próchnicy początkowej. Innymi środkami zapobiegawczymi, które mogą być w tej walce stosowane przez zespół stomatologiczny, są: promowanie zdrowej diety, stosowanie egzogennej profilaktyki fluorkowej oraz uszczelnianie bruzd i szczelin. We wszystkie opisane działania muszą zostać jednak zaangażowani zarówno mali pacjenci, jak i ich rodzice (opiekunowie), gdyż od wiedzy i nawyków tych ostatnich zależy wspólny sukces w walce z chorobą próchnicową.

W następstwie podejmowanych działań ryzyko próchnicy może zostać zmniejszone, a dalsza obserwacja pacjenta i regularne wizyty kontrolne pozwolą na monitorowanie aktywności ognisk choroby próchnicowej i ocenę efektywności wdrożonych programów profilaktycznych. 

Ochrona pierwszych zębów trzonowych stałych 

Skuteczność uszczelniaczy bruzd i szczelin (żywicowych) w zapobieganiu próchnicy zębów trzonowych wynosi od ok. 90% po roku do 50% po 5 latach. Wskazania do stosowania uszczelniaczy bruzd i szczelin dotyczą dzieci z grupy ryzyka występowania choroby próchnicowej:

  • w wywiadzie i badaniu klinicznym występowanie próchnicy w uzębieniu mlecznym,
  • próchnica jednego lub więcej pierwszych zębów trzonowych stałych,
  • choroba próchnicowa u rodzeństwa,
  • dzieci specjalnej troski – z upośledzeniem fizycznym, psychicznym, intelektualnym,
  • zęby trzonowe z łagodną postacią hipolpazji,
  • zęby z głębokimi bruzdami i szczelinami,
  • jako część wypełnienia zapobiegawczego (ang. preventive resin restoration – PRR).

Zgodnie z aktualnymi (2014) rekomendacjami Amerykańskiego Towarzystwa Stomatologów Dziecięcych (ang. American Academy of Pediatric Dentistry – AAPD):

  • uszczelniacze żywicowe są materiałem, który pozwala na uzyskanie najlepszych rezultatów. Jednak zanieczyszczenie śliną powierzchni bruzdy podczas uszczelniania jest główną przyczyną niepowodzeń w lakowaniu. Dlatego zaleca się stosowanie osłony z koferdamu do izolacji pola zabiegowego i pracę z asystą na cztery ręce;
  • materiały glasjonomerowe (ang. glassionomer cements – GIC) mogą być stosowane jako przejściowe uszczelniacze, w bruzdach zębów częściowo wyrżniętych (np. Fuji Triage) lub u dzieci z gorszą współpracą, kiedy zachodzi trudność w izolacji pola zabiegowego od wilgoci. Po całkowitym wyrżnięciu zęba lub utracie retencji uszczelniacza i/lub uzyskaniu współpracy z pacjentem glasjonomer może być wymieniony na klasyczny uszczelniacz;
  • zaleca się uszczelnianie zdrowych bruzd oraz bruzd z próchnicą w obrębie szkliwa bez utraty ciągłości szkliwa 
  • bruzdy przed uszczelnieniem powinny być dokładnie oczyszczone (dopuszcza się zarówno oczyszczenie szczotką do zębów, jak i mechaniczną). Nie zaleca się opracowywania mechanicznego bruzd wiertłem przed uszczelnieniem;
  • w celu uzyskania lepszej długoczasowej retencji rekomenduje się stosowanie warstwy hydrofilowego systemu wiążącego o niskiej lepkości przed uszczelnieniem.

Po oczyszczeniu powierzchnię zęba należy wytrawić kwasem ortofosforowym przez ok. 15 s, następnie po dokładnym wypłukaniu i osuszeniu powierzchni zęba zaaplikować uszczelniacz, który powinien wypełniać bruzdy, bez nadmiarów.

Brak wystarczających danych, aby zalecać stosowanie uszczelniaczy w zębach trzonowych mlecznych. Retencja uszczelniaczy musi być monitorowana klinicznie i radiologicznie, a każda częściowa utrata laku powinna być uzupełniana, aby uzyskać wysoki odsetek powodzenia w zapobieganiu próchnicy.

Leczenie odtwórcze

Jednak u części pacjentów choroba próchnicowa, mimo stosowanych metod profilaktycznych, będzie postępowała i na tym etapie niezbędne będzie podjęcie decyzji o rozpoczęciu leczenia odtwórczego. Powinna być ona oparta na wzrokowych, klinicznych kryteriach obecności ubytku próchnicowego (zgodnie z ICADS II – International Caries Detection and Assessment System, szczegółowe informacje na stronie www.icdasfoundation.dk) i/lub radiologicznym potwierdzeniu powiększenia się ubytku w czasie obserwacji. Wykonywanie zdjęć skrzydłowo-zgryzowych jest w tym przypadku najbardziej przydatną metodą radiologiczną, szczególnie w diagnozowaniu ubytków powierzchni stycznych (ok. 45% więcej ubytków powierzchni stycznych zębów trzonowych mlecznych jest wykrywane, gdy poza badaniem wzrokowym stosuje się zdjęcia skrzydłowo-zgryzowe).

Korzyści wynikające z podjętego leczenia powinny zawsze przewyższać ryzyko. Korzyści wynikające z leczenia to: usunięcie chorobowo zmienionych tkanek i ochrona zęba przed dalszą destrukcją, zahamowanie dalszej demineralizacji tkanek zęba i rozprzestrzeniania się infekcji do miazgi, odtworzenie struktury anatomicznej zęba i jego funkcji oraz zapobieganie przedwczesnej utracie zębów. Ryzyko leczenia odtwórczego związane jest z występowaniem próchnicy wtórnej i koniecznością wymiany wypełnień, utratą wypełnień, odsłonięciem miazgi podczas oczyszczania ubytku i późniejszymi powikłaniami ze strony miazgi, jak również jatrogennymi uszkodzeniami zębów sąsiadujących z ubytkiem próchnicowym podczas jego oczyszczania. Obecnie obok tradycyjnej metody opracowywania ubytków coraz większą rolę odgrywają alternatywne metody oparte na modyfikacji środowiska płytki bakteryjnej. 

Podczas leczenia ubytków próchnicowych zarówno w uzębieniu mlecznym, jak i stałym postępowanie polega na:

  1. całkowitym usunięciu tkanek zmienionych chorobowo i rekonstrukcji zęba (klasyczne opracowanie),
  2. częściowym usunięciu tkanek zmienionych próchnicowo (postępowanie jednoetapowe lub wieloetapowe) i odtworzeniu zęba,
  3. pozostawieniu tkanek zmienionych chorobowo i szczelnym zamknięciu zęba (uszczelnianie zmienionych chorobowo bruzd oraz technika Hall),
  4. lub ekstrakcji zęba.

Całkowite opracowanie ubytku

Obecnie jest powszechnie najbardziej akceptowalną i najlepiej udokumentowaną techniką opracowywania ubytków próchnicowych. Jednak w przypadku ubytków próchnicy głębokiej badania kliniczne z randomizacją i systematyczne przeglądy literatury wskazują, że całkowite opracowanie ubytków wiąże się z większą liczbą obnażeń miazgi i objawowych stanów zapalnych miazgi po leczeniu w porównaniu z etapowym opracowaniem ubytków.

Technika wykonania zabiegu: po uzyskaniu znieczulenia miejscowego opracowanie ubytku próchnicowego polega na uzyskaniu przy użyciu wiertła diamentowego na końcówce szybkoobrotowej dostępu do ubytku przez zniesienie szkliwa, następnie całkowitym oczyszczeniu pobrzeża ubytku do połączenia szkliwno-zębinowego i opracowaniu dna ubytku do uzyskania twardej zębiny, przy użyciu wierteł na końcówce wolnoobrotowej.

W przypadku ubytków obejmujących swoim zasięgiem powierzchnie styczne należy dołożyć starań, aby podczas opracowywania ubytku nie uszkodzić powierzchni stycznej sąsiedniego zęba. W tym celu przydatne bywa stosowanie osłon podczas preparacji (pasek metalowy) lub używanie do opracowania szkliwa na powierzchni stycznej narzędzi ręcznych (np. dłuta szkliwne) lub ultradźwiękowych (np. Kavo SONICSYS micro/Sonicflex bevel). Na ścianę dokomorową, w przypadku głębokiego ubytku w zębie stałym, w celu zamknięcia szerokich w tej okolicy kanalików zębinowych stosuje się podkłady ochronne (np. system łączący, cement glasjonomerowy, wodorotlenek wapnia).

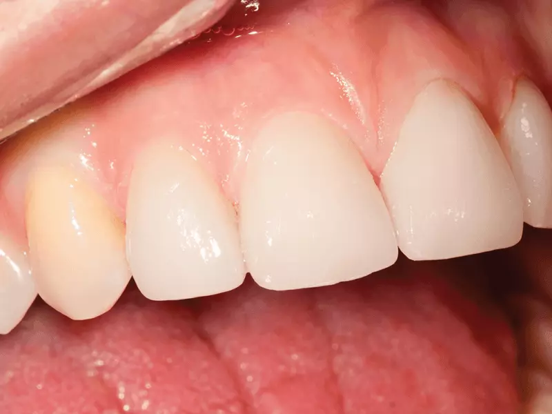
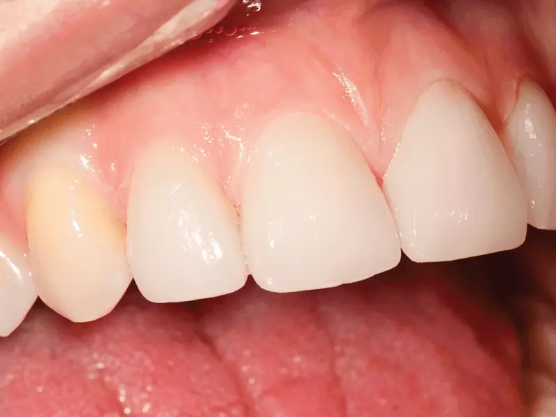
Materiałami zalecanymi w odbudowie ubytków po całkowitym opracowaniu w zębach mlecznych są: kompomery, materiały złożone, amalgamat, cementy glasjonomerowe modyfikowane żywicą (ang. resin-modified glass-ionomernt – RMGI) oraz korony stalowe. W zębach stałych zaleca się stosowanie materiałów złożonych, amalgamatu i RMGI.

Częściowe opracowanie ubytku jedno- lub dwuetapowe (tzw. stepwise excavation)

Metoda ta stosowana jest w przypadku głębokich ubytków próchnicowych. Polega na częściowym opracowaniu ubytku z pozostawieniem tkanek zmienionych próchnicowo nad sklepieniem komory, których dalsze usuwanie doprowadziłoby do odsłonięcia miazgi zębowej. Sposób opracowania ubytku musi pozwolić na jego szczelne zamknięcie materiałem plastycznym (warunek podstawowy), gdyż tylko wtedy dojdzie do zahamowania dalszego rozwoju pozostawionej próchnicy. 

Po częściowym opracowaniu ubytku chorą zębinę należy zabezpieczyć biokompatybilnym materiałem, czyli wykonać pośrednie pokrycie miazgi (cement glasjonomerowy, wodorotlenek wapnia, RMGI, tlenek cynku z eugenolem), a ząb odbudować. W zębach mlecznych i stałych, w przypadku ubytków klasy I i II, zaleca się stosowanie jako materiałów wypełniających: materiałów złożonych, RMGI, kompomerów (zęby mleczne). W przypadku ubytków klasy II w zębach mlecznych zaleca się także stosowanie koron stalowych. W przypadku zębów mlecznych uważa się, że może to być metoda jednoetapowa, niewymagająca ponownego otwierania ubytku, jego doczyszczania i ponownego wypełniania. W zębach stałych natomiast jest to najczęściej proces dwuetapowy, polegający na ponownym otwarciu ubytku po okresie 3–6–12
miesięcy, doczyszczeniu pozostałej zmienionej chorobowo zębiny i założeniu ostatecznego wypełnienia. Pojawiły się już jednak doniesienia wskazujące, że jednoetapowe leczenie z założeniem ostatecznego wypełnienia w zębach stałych pozwala na zachowanie żywej miazgi w większej liczbie przypadków niż postępowanie dwuetapowe.

Przypisy