Obserwacja postępów leczenia endodontycznego przy zastosowaniu bioceramicznych uszczelniaczy kanałowych

PRACTISE & CASES

Na rynku pojawia się coraz więcej rodzajów uszczelniaczy bioaktywnych. Niektóre z nich są w formie proszku i pasty do zmieszania do pożądanej konsystencji, a inne są – w formie gotowych do użycia past/sealerów.

Twardnieją one pod wpływem wilgoci w kanale lub w ubytku zęba. Materiały te nie resorbują się w przeciwieństwie do typowych materiałów na bazie wodorotlenku wapnia. W kontakcie z płynem fizjologicznym, w tym także z krwią, w których są jony fosforanowe, wytwarza się hydroksyapatyt, co dodatkowo uszczelnia wypełnienie, a w przypadku zastosowania takich materiałów jako uszczelniacza w kanale korzeniowym prowadzi to do zamknięcia i uszczelnienia kanału, i otworu wierzchołkowego i ewentualnych kanałów bocznych. Działanie alkalizujące tych materiałów, czyli środowisko zasadowe, jakie one wytwarzają, jest silnie bakteriobójcze, co prowadzi do leczenia zmian okołowierzchołkowych w przypadku wypełnienia kanału, natomiast w przypadku założenia takich materiałów do głębokiego ubytku lub bezpośrednio na obnażoną miazgę zęba indukuje remineralizację zębiny lub też wytwarzanie mostu zębinowego.

POLECAMY

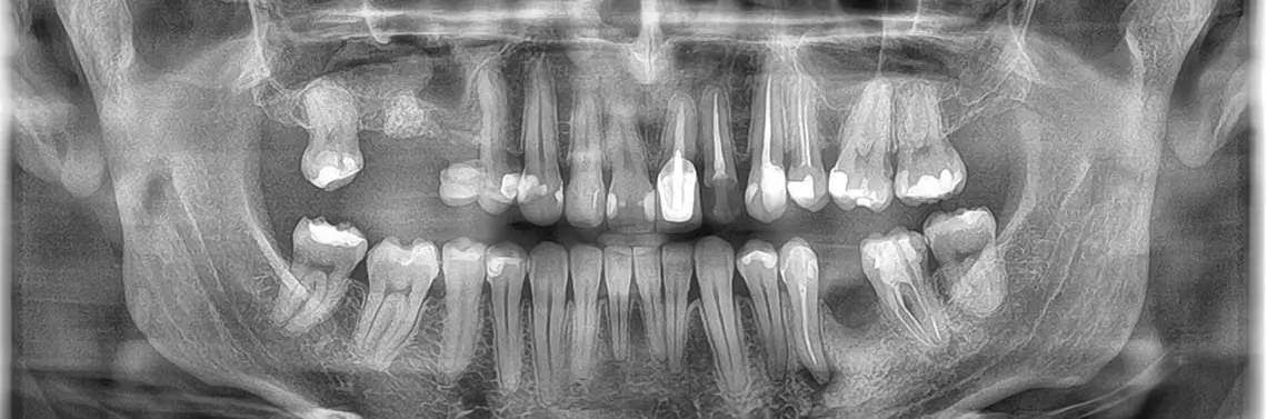
Przypadek 1. – Ryan Walsh DDS, Keller Texas, USA

71-letnia pacjentka została przyjęta w gabinecie. Uskarżała się na obrzęk dziąseł w pobliżu mostu, który był sporadycznie bolesny. Zgłosiła również łagodny dyskomfort podczas żucia. Pacjentka miała most, który istniał od 20 lat. Wstępne badanie wykazało pionowy ubytek kostny wzdłuż mezjalnej powierzchni korzenia na poziomie grzebienia kostnego i widoczną dużą zmianę okołowierzchołkową w kształcie litery J na dystalnej powierzchni korzenia drugiego przedtrzonowca żuchwy po lewej str...

Pozostałe 90% treści dostępne jest tylko dla Prenumeratorów

Co zyskasz, kupując prenumeratę?
  • Roczną prenumeratę 4 wydań Forum Stomatologii Praktycznej
  • Nielimitowany dostęp do całego archiwum czasopisma
  • ...i wiele więcej!

Praktyczna wiedza dla nowoczesnego zespołu stomatologicznego.

Kwartalnik dla lekarzy, higienistek i techników dentystycznych — łączący kliniczne doświadczenia, innowacje i interdyscyplinarną współpracę.

aktualne opisy przypadków i technik klinicznych
nowoczesne materiały i technologie stomatologiczne
praktyczne protokoły i wskazówki dla zespołu dentystycznego
analiza błędów medycznych i aspektów prawnych w stomatologii
aktualności i trendy — od diagnostyki po protetykę i higienę
dostęp do archiwum i łatwa prenumerata (papierowa lub cyfrowa)
Praktyczna wiedza dla nowoczesnego zespołu stomatologicznego.

Przypisy