Odbudowa braków jakościowych w szczęce i w żuchwie oraz jednostronnego braku skrzydłowego w żuchwie stałymi pracami protetycznymi – opis przypadku

PRACTISE & CASES

Artykuł opisuje rekonstrukcję implantoprotetyczną braku skrzydłowego lewostronnego w żuchwie oraz odbudowę braków jakościowych w szczęce oraz żuchwie wkładami koronowo-korzeniowymi oraz koronami i nakładami porcelanowymi.

Uzupełnienie braków zębowych za pomocą konstrukcji implantoprotetycznej to nowoczesna metoda zaopatrzenia pacjenta po częściowej utracie zębów naturalnych. Obecnie implanty charakteryzują się mniej więcej 98-proc. przeżywalnością.

POLECAMY

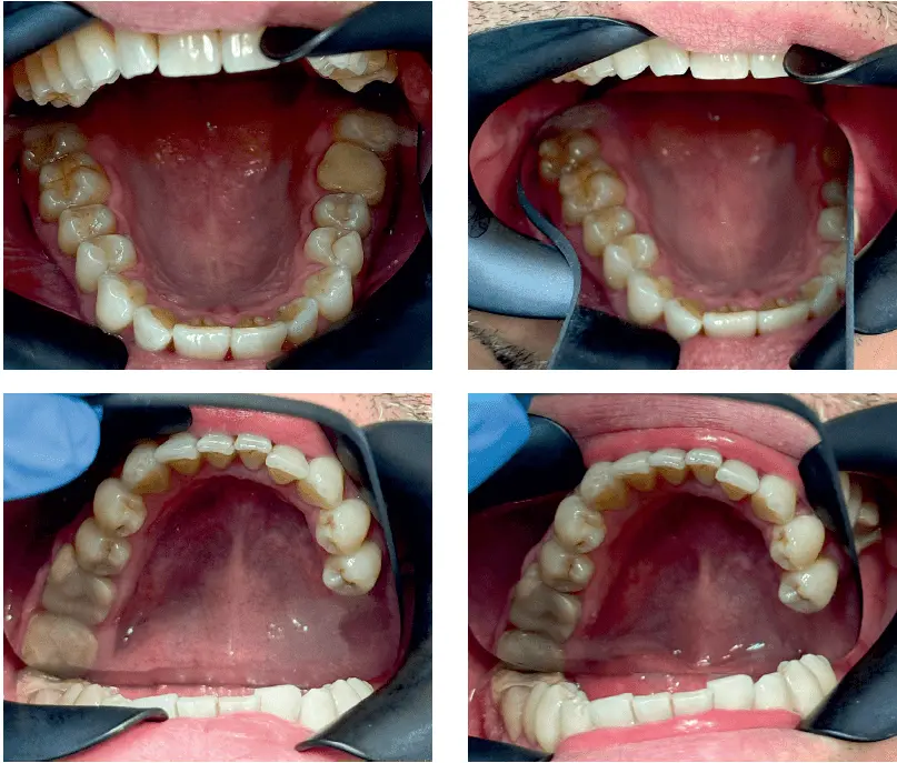
Opis przypadku

45-letni pacjent zgłosił się do poradni protetyki stomatologicznej w celu oceny oraz odbudowy zębów w żuchwie. Zlecono wykonanie badania TK żuchwy – badania OPG (zdj. 1A–J).

Na podstawie badania klinicznego oraz badań obrazowych stwierdzono znaczne zniszczenie twardych tkanek zębów oraz zmiany w okolicy okołowierzchołkowej zębów 36, 37, zajęcie furkacji zęba 37 oraz obecność zatrzymanego zęba 38.
Po konsultacji z chirurgiem stomatologicznym stwierdzono, że zęby 36, 37 nie nadają się do odbudowy protetycznej. Zęby 36, 37 zakwalifikowano do ekstrakcji z natychmiastową reg...

Pozostałe 90% treści dostępne jest tylko dla Prenumeratorów

Co zyskasz, kupując prenumeratę?
  • Roczną prenumeratę 4 wydań Forum Stomatologii Praktycznej
  • Nielimitowany dostęp do całego archiwum czasopisma
  • ...i wiele więcej!

Praktyczna wiedza dla nowoczesnego zespołu stomatologicznego.

Kwartalnik dla lekarzy, higienistek i techników dentystycznych — łączący kliniczne doświadczenia, innowacje i interdyscyplinarną współpracę.

aktualne opisy przypadków i technik klinicznych
nowoczesne materiały i technologie stomatologiczne
praktyczne protokoły i wskazówki dla zespołu dentystycznego
analiza błędów medycznych i aspektów prawnych w stomatologii
aktualności i trendy — od diagnostyki po protetykę i higienę
dostęp do archiwum i łatwa prenumerata (papierowa lub cyfrowa)
Praktyczna wiedza dla nowoczesnego zespołu stomatologicznego.

Przypisy