Activa Bioactive Restorative - materiał z wyboru

PRODUCT & PRACTISE

Dostępne aktualnie materiały stomatologiczne, w połączeniu z ciągle udoskonalanymi metodami diagnostyki i opracowania, pozwalają na skuteczną realizację założeń minimalnie inwazyjnej terapii objawów choroby próchnicowej, jakimi są ubytki twardych tkanek zębów. Nadal jednak przewagę podejmowanych interwencji stomatologicznych stanowi leczenie objawów choroby na etapie próchnicy ubytkowej.

Pierwszy etap terapii, czyli higienizacja, decydujący o powodzeniu podjętego leczenia pozostaje pietą achillesową. Liczne opracowania wskazują na obniżenie trwałości wypełnień i większą frekwencję ubytków próchnicy wtórnej oraz biodegradację zarówno materiałów wypełnieniowych, jak i systemów łączących w przypadku zaniechania prawidłowej higieny. Wprowadzenie kilka lat temu na rynek nowatorskiego rozwiązania, jakim jest do dzisiaj materiał zawierający napełniacz wykonany ze szkieł bioaktywnych, „zawieszonych” w hydrofilowej matrycy, stanowiło przełom w zakresie technologii materiałowej. Wygodna forma aplikacji, dualny sposób inicjowania polimeryzacji sprawiły, że oprócz wspomnianej bioaktywności otrzymaliśmy materiał typu BulkFill, doskonały do stosowania w głębokich ubytkach. Z drugiej strony łatwy do formowania aplikator powala na wypełnianie niewielkich ubytków przy ograniczonej drodze dostępu, eliminującej praktycznie tworzywa o tradycyjnej konsystencji. 
Opór, jaki wykazują czasem stomatolodzy przed wprowadzaniem nowatorskich rozwiązań, z pewnością wynika z nieuczciwego marketingu i ryzyka niepowodzeń, które w realiach życiowych przekłada się na niezadowolenie pacjentów i utratę zaufania. W przypadku autora, kilka lat temu osobą odkrywającą arkana stosowania pionierskiego  materiału, jakim jest Activa Bioactive-Restorative, była nasza koleżanka − dr Marta Maciak. Własne długoletnie doświadczenia w pracy w bardzo przekonujący sposób potrafiła poprzeć głęboką wiedzą teoretyczną. I tak zaczęła się przygoda z nowym materiałem. Początkowo ostrożnie, ale z czasem coraz odważniej. Obecnie materiał stosowany jest z powodzeniem na wypełnienia w praktycznie wszystkich klasach ubytków (według Black’a), rekonstrukcjach oraz do osadzania wkładów standardowych w świetle kanałów korzeniowych. Dodatkowo stosowany jest w „zmodyfikowanej technice kanapkowej” do osadzania wypełnień nieplastycznych oraz mostów kompozytowych.
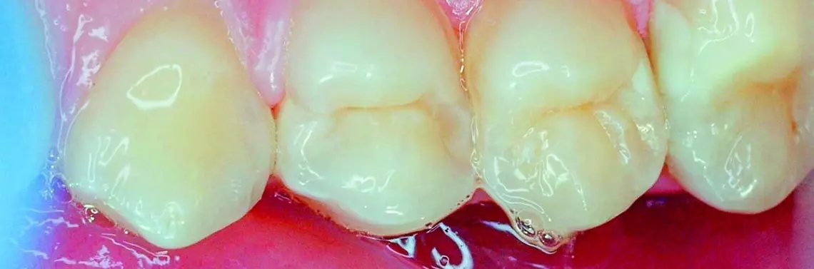
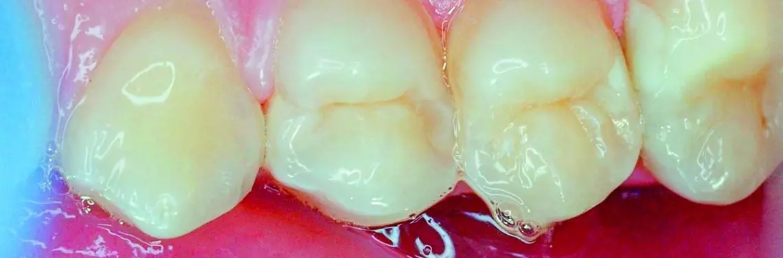
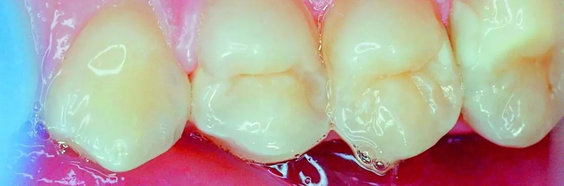
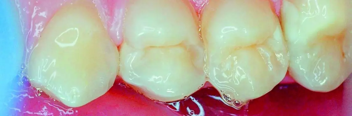
Wykonanie wypełnień w ubytkach opracowanych minimalnie inwazyjnie pilnikami oscylacyjnymi to „najprostsze” rozwiązanie zapewniające powodzenie. Opracowanie wspomnianym systemem bezpiecznych pilników sprawia, że po osadzeniu matryc dostęp do ubytku jest istotnie ograniczony. Bardzo wygodna aplikacja przy użyciu końcówek samomieszających stanowi tu idealne rozwiązanie i pozwala odstąpić od konieczności wymuszonego zwiększania zasięgu preparacji. Oczywiście widok ilości tworzywa pozostającej w końcówce „automix” budzi smutek. Rozwiązaniem jest w tym przypadku jednoczasowe opracowanie większej liczby ubytków. Odpowiednia logistyka w połączeniu z dualnym systemem aktywacji polimeryzacji pozwala na bezpieczne założenie nawet kilku wypełnień. Materiał spisuje się doskonale również w przypadku poszerzonego lakowania bruzd oraz wypełniania ubytków niepróchnicowego pochodzenia, co w dobie uszkodzeń o różnorodnej etiologii pozwala na kompleksowe rozwiązywanie problemu odtwarzania braków jakościowych.
Pomimo wspomnianej ograniczonej gamy kolorów i jednego stopnia transparencji, materiał w większości przypadków wyczerpuje oczekiwania pacjentów. Bardziej złożone sytuacje pociągają za sobą konieczność zastąpienia „Aktivy” estetycznymi kompozytami o wielostopniowej transparencji. W takich przypadkach zastosowanie znajdzie materiał podkładowy Activa Base-liner. Jak wspomniano, materiał stwarza wielkie nadzieje i stosowany jest coraz częściej jako „tworzywo ostatniej szansy”.

POLECAMY

 

 

Przypisy