All-bond Universal

Wszechstronny, kompatybilny i optymalny system wiążący

PRACTISE & CASES

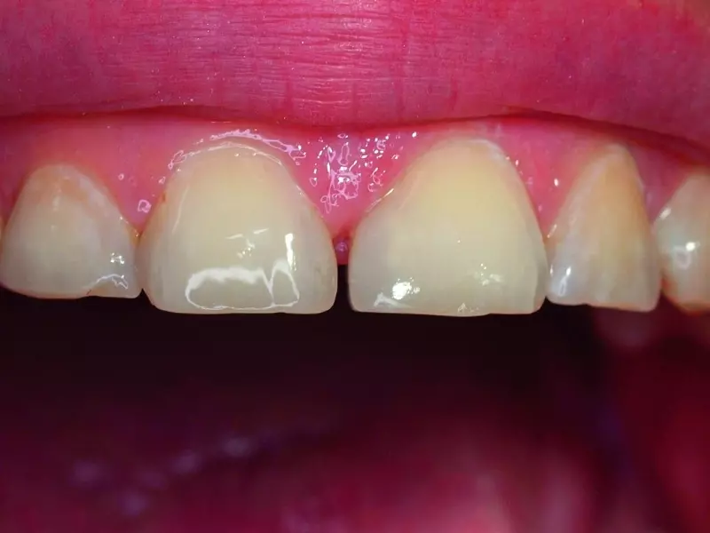
Udane wiązanie zależy od pięciu kluczowych elementów: skuteczności in vivo, braku bólu pozabiegowego, integralności brzeżnej, kompatybilności bondu i długoterminowej trwałości połączenia oraz spójności siły i adhezji. Bonding stomatologiczny jest krytycznym etapem w osiągnięciu sukcesu przy stosowaniu wypełnień – zarówno bezpośrednich, jak i pośrednich. Środek wiążący jest komponentem funkcjonalnym dla każdej odbudowy stomatologicznej, ponieważ zapewnia adhezję, jednocześnie uszczelniając i utrzymując  integralność strukturalną, a to właśnie jest celem w zapewnieniu trwałych wypełnień. Jednakże środki wiążące różnią się pod względem składu chemicznego oraz metody aplikacji.

Od ponad 30 lat firma BISCO wsłuchuje się w potrzeby lekarzy praktyków. Na podstawie zebranych doświadczeń stworzyła ALL-BOND UNIVERSAL – system wiążący z prostą techniką aplikacji poparty wieloma badaniami naukowymi. 

POLECAMY

Siła wiązania

ALL-BOND UNIVERSAL jest materiałem doskonale zbalansowanym pod względem chemicznym, wykorzystującym monomery MDP, które przyczyniają się do zwiększonej trwałości wiązania. Te łagodnie kwasowe monomery są doskonałe do samotrawienia szkliwa i zębiny, łatwo przenikają przez powierzchnie wytrawione metodą total-etch, szybko tworząc grube hybrydowe warstwy z głęboko zakorzenionymi elementami żywicy. 

Unikalna formuła ALL-BOND UNIVERSAL tworzy wysoką siłę wiązania ze wszystkimi materiałami wykorzystywanymi do odbudowy pośredniej. Co ważne, w przypadkach braku wystarczającej ilości szkliwa, ALL-BOND UNIVERSAL ma wysoką siłę wiązania do zębiny. 

W przeciwieństwie do innych uniwersalnych systemów wiążących ALL-BOND UNIVERSAL złożony jest od podstaw wyłącznie z niezbędnych składników. Pozostałość wody po aplikacji jest bardzo powszechnym i trudnym do rozwiązania problemem. W przeciwieństwie do etanolu czy acetonu woda nie wyparowuje tak łatwo. Często dochodzi do pozostawienia pozostałości wody w warstwie środka wiążącego po aplikacji, co może skutkować przenikalnością środka wiążącego i jego szybszą degradacją itp. ALL-BOND UNIVERSAL wykorzystuje unikalny azotropowy roztwór wody i etanolu, aby pomóc w parowaniu wody i sprawić, że po aplikacji nie będzie żadnych jej pozostałości. ALL-BOND UNIVERAL został tak zaprojektowany, aby być hydrofilny przed polimeryzacją, a hydrofobowy po polimeryzacji. Dodatkowo ALL-BOND UNVERSAL ma nie tylko wysoką natychmiastową siłę wiązania około 49 MPa do kompozytu, ale siła ta jest także wysoka w okresie długoterminowym. 

Opcje wytrawiania

Wielu dentystów ma wątpliwości dotyczące stosowania techniki wytrawiania zębiny total-etch ze względu na potencjalnie możliwe podrażnienie miazgi przez nieszczelne kanaliki zębinowe lub podrażnienia powodujące ból spowodowane przez sam kwas fosforowy. Dlatego też podejście non-etch w stosunku do bondingu zębiny jest bardzo popularne.

Dla bezpośrednich wypełnień kompozytowych technika wytrawiania selective-etch wydaje się optymalna. Najwyższą długoterminową siłę wiązania do szkliwa uzyskuje się po wytrawianiu kwasem ortofosforowym, jednakże długoterminowe wiązanie stomatologiczne z niską wrażliwością pozabiegową jest osiągane dzięki technice non-etch. ALL-BOND UNIVERSAL jest stworzony do tej techniki, ma cienką grubość filmu – mniejszą niż 10 μm – więc nie wpływa ona na procedurę cementowania nawet bardzo ściśle dopasowanych koron. Jeśli nie ma szkliwa, nie wytrawia się zęba, lecz po prostu nakłada kilka warstw bondu na preparację, usuwa rozpuszczalnik przy użyciu dmuchawki i naświetla bądź używa cementu podwójnie utwardzalnego.

Niezbędny środek wiążący

ALL-BOND UNIVERSAL jest kompatybilny ze wszystkimi światło-, chemo- i podwójnie utwardzalnymi żywicami i jest idealny dla wszystkich wypełnień pośrednich i bezpośrednich. Może być również użyty w celu zniesienia nadwrażliwości, do napraw wewnątrzustnych albo jako lakier ochronny do wypełnień bazujących na szkło-jonomerach. Wszechstronność oraz jednobutelkowa formuła pozwalają na bezproblemową aplikację w suchym i wilgotnym środowisku, sprawiając, że ALL-BOND UNIVERSAL staje się niezbędnym środkiem wiążącym w każdej praktyce. Z badań wynika, że lekarze nie chcą gromadzić kilku różnych systemów wiążących dla licówek, odbudowy pośredniej, kompozytów, cementowania wkładów i innych procedur. Nie lubią mieć wokół tych wszystkich butelek, które często się przeterminowują, wolą mieć możliwość wyboru, aby wytrawiać, jak chcą, oraz użyć systemu wiążącego charakteryzującego się uniwersalną kompatybilnością i łatwością użycia. 

 

 

Niezależnie od zastosowanej techniki wytrawiania (non-etch, total-etch czy selective-etch) ALL-BOND UNIVERSAL sprawdza się w każdej z nich. Podobnie jego kliniczne możliwości stosowania zarówno z pośrednimi, jak i bezpośrednimi wypełnieniami zmniejszają potrzebę utrzymywania zapasu wielu innych środków wiążących w gabinecie, redukując liczbę magazynowanych materiałów, a co za tym idzie – koszty i jednocześnie zwiększając wydajność. Jest to prawdziwie uniwersalny jednobutelkowy system wiążący o dużej (6 ml) pojemności.

Pięć powodów, aby używać ALL-BOND UNIVERSAL: 

  1. Praktycznie całkowity brak nadwrażliwości pozabiegowej.
  2. Jedna wydajna (6 ml) butelka do wszystkiego.
  3. Kompatybilny ze wszystkimi światło-, chemo- i podwójnie utwardzalnymi kompozytami żywicznymi dla bezpośrednich i pośrednich procedur. Nie wymaga aktywatora.
  4. Elastyczność wyboru metody wytrawiania. Działa zarówno przy technice self-etch, total-etch, jak i selective-etch. 
  5. Cienka warstwa filmu (mniejsza niż 10 μm) – nie wpływa na cementowanie wypełnień pośrednich. 

 

 

Przypisy