Wszechstronny i niezawodny – wypełnienia i naprawy z użyciem systemu Futurabond U

PRACTISE & CASES

Jedną z najważniejszych kwestii w stomatologii odtwórczej jest wybór materiału, jaki ma zostać użyty do zastąpienia i odbudowy naturalnych struktur zęba. W ostatnich latach obserwuje się znaczący rozwój nie tylko w dziedzinie materiałów odtwórczych, ale też przede wszystkim w odniesieniu do systemów łączących, które w niezawodny sposób łączą wypełnienie z tkankami zęba. Lekarze dentyści potrzebują systemu łączącego, który w naturalny sposób dobrze przylega nie tylko do wszystkich stosowanych materiałów wypełniających i odtwórczych, takich jak materiały kompozytowe, metale, ceramika i tlenek cyrkonu, ale także do tkanek zęba.

W tej dziedzinie dokonał się ogromny postęp i pojawiły się liczne innowacje, które znacząco ułatwiły pracę lekarza praktyka. Rozwój ten jest szczególnie widoczny w odniesieniu do techniki adhezyjnej. Dzięki nowemu uniwersalnemu systemowi łączącemu Futurabond U (VOCO) można uzyskać niezwykle silne połączenie z różnego rodzaju materiałami (metalem, tlenkiem cyrkonu, tlenkiem glinu, włóknem szklanym, ceramiką krzemionkową, materiałami kompozytowymi). Ponadto w przypadku stosowania samowytrawiających systemów łączących, techniki wytrawiania wybiórczego oraz techniki total-etch dochodzi do interakcji pomiędzy systemem łączącym a tkankami szkliwa i zębiny.

POLECAMY

W celu podkreślenia szerokiego spektrum zastosowań systemu Futurabond U opisano poniżej szereg przypadków klinicznych, w których ten produkt przyczynił się do powodzenia leczenia.

Przypadek 1.

Pacjentka, lat 30, cierpiąca z powodu nadwrażliwości pozabiegowej. Problem ten występuje najczęściej w przypadku rozległej preparacji ubytków w odcinku bocznym, co prowadzi do obnażenia licznych kanalików zębinowych. Technika total-etch, w której do wytrawiania stosuje się kwas fosforowy, może być zdecydowanie zbyt agresywna do stosowania w tym wrażliwym odcinku. Z kolei alternatywna metoda wytrawiania wybiórczego z użyciem samotrawiącego systemu łączącego może znacząco ograniczyć nadwrażliwość pozabiegową w przypadku rozległych wypełnień w odcinku bocznym. Kwaśne monomery, stosowane w systemach nowej generacji, są znacznie bardziej łagodne dla zębiny.

Na zdjęciach przedstawiono wypełnienia kwalifikujące się do wymiany oraz opracowane ubytki. Wybiórcze wytrawianie brzegów szkliwnych kwasem fosforowym (Vococid, VOCO) przez 20 s poprawia retencję w obrębie szkliwa, które jest trudne do wytrawienia. Kwas należy starannie usunąć, a ubytek obficie oczyścić aerozolem wodno-powietrznym, ponieważ zarówno kolejny etap zabiegu, jak i zębina wymagają wilgoci. Jest to jedyny sposób, aby zapewnić tworzenie ważnej warstwy hybrydowej i uzyskać dobre warunki dla adhezji pomiędzy systemem łączącym, tkankami twardymi zębów oraz obnażonymi włóknami kolagenowymi. W tym celu należy najpierw przeprowadzić aktywację systemu łączącego w opakowaniu single dose poprzez jego proste ściśnięcie. Następnie wciera się system w powierzchnię zębiny i szkliwa przez 20 s, suszy strumieniem powietrza przez 5 s i polimeryzuje światłem przez 10 s.

Po zakończeniu zakładania wypełnienia (GrandioSO, VOCO) wykończono je przy użyciu specjalnych maszynowych końcówek do wykańczania i polerowania (Dimanto, VOCO). W efekcie uzyskano wysoce estetyczne wypełnienia (zdj. 1–10).

Przypadek 2.

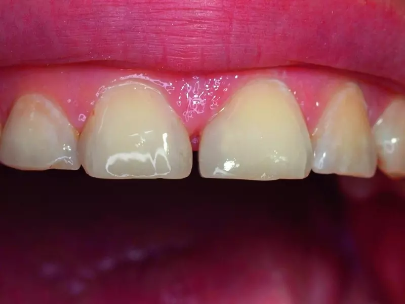
Drugi przypadek kliniczny to przykład sytuacji, w której wskazane było zastosowanie techniki total-etch. 18-letnia pacjentka wymagała odbudowy zębów przednich w obszarze, gdzie znaczna część szkliwa jest poddawana działaniu dużych sił.

Przypadek ten wymagał więc wyjątkowo silnego połączenia pomiędzy materiałem kompozytowym i tkankami twardymi zębów. Dotyczy to wypełnień klasy IV, licówek wykonywanych metodą bezpośrednią, a także np. zamykania diastem. Z tego powodu w tym przypadku metodą z wyboru jest technika total-etch, która została zastosowana u prezentowanej pacjentki. Zukośniono brzegi szkliwa w zębach 11 i 21, tworząc stopień typu chamfer. Następnie naniesiono żel wytrawiający Vococid na czas 20 s w obrębie szkliwa i 10 s w obrębie zębiny. Wytrawioną okolicę dokładnie wypłukano i wysuszono przez czas równy okresowi aplikacji wytrawiacza. Następnie przez 20 s wcierano w powierzchnie zębów system Futurabond U, po czym osuszano go przez 5 s strumieniem powietrza w celu przygotowania powierzchni do następnego etapu odbudowy. Po polimeryzacji światłem przez 10 s przystąpiono do odbudowy naturalnie wyglądających zębów przednich przy użyciu materiału GrandioSO. Połączenie nanohybrydowego materiału kompozytowego i systemu adhezyjnego najnowszej generacji prowadzi do uzyskania efektów nie tylko wyjątkowo estetycznych, ale także bardzo wytrzymałych (zdj. 11–19).

Przypadek 3.

Stosowanie systemu Futurabond U w technice samowytrawiania jest w warunkach klinicznych uzasadnione tylko w tych przypadkach, kiedy wytrawianie ma objąć wyłącznie zębinę i/lub kiedy powierzchnia szkliwa nie wymaga intensywnego i bardzo agresywnego wytrawiania. Poniższy przypadek 42-letniego pacjenta przedstawia osadzenie wkładu korzeniowego i zastosowanie systemu Futurabond U po rozległej preparacji ubytku w celu odbudowy protetycznej. Wytrawianie tego ubytku dotyczyło w większości wyłącznie zębiny. Dzięki użyciu specjalnych aplikatorów do stosowania w obrębie kanałów korzeniowych (Endo Tim, VOCO) system łączący może w pełni działać na ściany kanału, ponieważ są one zwilżone na całej powierzchni.

Aktywne wcieranie systemu Futurabond U we wszystkie powierzchnie zębiny w obrębie kanału korzeniowego ma na celu optymalne przygotowanie struktur zęba do późniejszego osadzania uzupełnienia (zdj. 20–26). W obrębie kanału trudno jest przeprowadzić polimeryzację światłem – nie jest ona potrzebna dzięki podwójnemu mechanizmowi wiązania systemu 
Futurabond U.

Przypadek 4.

Futurabond U ma jeszcze jedną ważną zaletę – zapewnia niezawodną adhezję bez dodatkowego primera na powierzchni materiałów, takich jak metal, tlenek cyrkonu, tlenek glinu oraz ceramika krzemionkowa. Dzięki temu jest to idealne rozwiązanie do napraw wewnątrzustnych. Na zdjęciach 27–34 przedstawiono typowy przypadek kliniczny, w którym zachowanie istniejącego wypełnienia ze złota wymagało naprawy tkanek twardych zęba. W tym przypadku dobra adhezja do różnych materiałów jest niezbędnym warunkiem skutecznej i trwałej odbudowy. 

W codziennej praktyce stomatolog musi radzić sobie z różnego rodzaju powszednimi problemami. Futurabond U to idealny pomocnik podczas ich rozwiązywania.

 


 

Przypisy