Ekstrakcje zębów zatrzymanych

schematy i przypadki kliniczne

PRACTISE & CASES

Ząb zatrzymany to ząb, który jest w pełni wykształcony, a który po okresie fizjologicznego wyrzynania nie osiągnął płaszczyzny zgryzu. Zębów zatrzymanych nie należy mylić z zębami niewyrzniętymi, czyli takimi, które mają jeszcze nie w pełni uformowane korzenie i w całości tkwią w kości. 
 

Przygotowanie zestawu do zabiegu

Według zasad nowoczesnej stomatologii zabiegi powinny być wykonywane w jak najmniej traumatyczny sposób. Pozwala na to wybór odpowiednich narzędzi, rodzaju preparacji płata oraz zastosowanie odpowiednich materiałów szewnych. 

POLECAMY

W zależności od stopnia trudności zabiegu, potrzebne będą:

  • dźwignia

Dźwignia luksująca to instrument chirurgiczny mający na celu zmniejszenie traumatyczności zabiegu ekstrakcji. Dźwignia, wchodząc do ozębnej, precyzyjnie pozostaje w ścisłym kontakcie z korzeniem, co podczas zabiegu zapobiega złamaniu kości. Narzędzie składa się z ergonomicznej i lekkiej rękojeści. Odpowiednia technika pracy tą dźwignią minimalizuje uszkodzenie tkanek miękkich, zmniejsza ryzyko uszkodzenia kości wyrostka zębodołowego, a tym samym zmniejsza ryzyko wystąpienia komplikacji po zabiegu ekstrakcji (zdj. 1–5);

  • kleszcze Meissnera lub Bertena

Jeśli ząb jest wyrżnięty, można posłużyć się kleszczami. Kleszcze Meissnera lepiej sprawdzają się przy usuwaniu zębów przechylonych dojęzykowo, natomiast Bertena, gdy ząb ustawiony jest dopoliczkowo lub pionowo;

  • fizjodyspenser + prostnica lub kątnica bądź piezo

Standardowo przy zatrzymanych ósemkach używa się fizjodyspensera z prostnicą lub kątnicą i odpowiedniej wielkości wiertłami różyczkowymi. 
Użycie urządzenia piezo wydłuża znacznie czas zabiegu, natomiast znacznie zmniejsza dolegliwości bólowe po zabiegu oraz obrzęk; 

  • wiertła;
  • skalpel;
  • raspator (zdj. 6–8). 

Zalecane rodzaje cięć i płatów

Wyboru cięcia należy dokonać w zależności od rodzaju planowanego zabiegu chirurgicznego oraz od warunków istniejących w jamie ustnej. Prawidłowe cięcie pozwala uformować odpowiedni płat śluzówkowo-okostnowy i uzyskać dobry wgląd w pole operacyjne. Długość cięcia powinna być tak duża, aby po odpreparowaniu płata wraz z okostną i jego odchyleniu nie uległ on zniszczeniu. Ponadto ważne jest, aby cięcie wypadło na podłożu kostnym, co zapewni prawidłowe gojenie, bez rozejścia się brzegów rany. W planowaniu płata należy również zwrócić uwagę, aby miał on odpowiednio uformowaną szypułę, zapewniającą mu właściwe ukrwienie.

Do usuwania dolnych zatrzymanych trzecich zębów trzonowych zalecane jest cięcie kopertowe. Biegnie ono od tyłu, od dystalno-policzkowej powierzchni drugiego trzonowca. W razie potrzeby cięcie można poprowadzić dalej do przodu, do bliższej powierzchni pierwszego trzonowca. W przypadku, gdy wymagany jest duży dostęp, może być przydatne wykonanie pionowego cięcia uwalniającego, rozciągającego się w okolicy przyśrodkowej powierzchni drugiego trzonowca (zdj. 9).

Przygotowanie chorego do zabiegu chirurgicznego

Większość zabiegów polegających na usunięciu trzecich zębów trzonowych dolnych wykonywana jest w znieczuleniu miejscowym w warunkach gabinetu stomatologicznego. Przed przystąpieniem do zabiegu należy najpierw pacjenta przygotować. Przygotowanie polega na:

  • badaniu podmiotowym (wywiad),
  • badaniu przedmiotowym,
  • wykonaniu badań dodatkowych, w tym badań laboratoryjnych i radiologicznych,
  • ustaleniu wskazań i przeciwwskazań do zabiegu,
  • wyborze odpowiedniego sposobu znieczulenia oraz środka znieczulenia miejscowego,
  • w razie konieczności konsultacji z lekarzami innych specjalności,
  • u pacjentów z chorobami układowymi należy uzyskać pisemną zgodę od lekarza prowadzącego na przeprowadzenie zabiegu,
  • poinformowaniu pacjenta o rodzaju zabiegu, przewidywanym wyniku leczenia i możliwych powikłaniach pooperacyjnych,
  • uzyskaniu pisemnej zgody pacjenta na wykonanie zabiegu.

Dopiero po wykonaniu powyższych zaleceń można przystąpić do zabiegu chirurgicznego.

Przed wykonywaniem procedur chirurgicznych należy przestrzegać zasad aseptyki i antyseptyki. Przed przystąpieniem do zabiegu nie powinno się zapominać o tym, aby pacjent miał umyte zęby, a następnie przepłukaną jamę ustną płynem antybakteryjnym, np. na bazie
chlorheksydyny. Ważne jest również, aby przetrzeć skórę twarzy pacjenta preparatem dezynfekcyjnym. Ponadto pacjent powinien być okryty sterylną serwetą, a lekarz w trakcie zabiegu powinien używać sterylnych narzędzi, materiałów opatrunkowych oraz rękawiczek. 

Podczas usuwania zęba należy przestrzegać ustalonych zasad: 

  • odpowiednie znieczulenie (przewodowe oraz nasiękowe),
  • odpowiednie ułożenie chorego, które zapewni dobry wgląd w pole operacyjne, a zarazem nie będzie obciążające dla postawy lekarza (pacjent powinien być w pozycji leżącej, a lekarz siedzącej, strefa pracy lekarza powinna znajdować się między godziną 9 a 12.30),
  • odpowiednia postawa lekarza, zgodna z zasadami ergonomii (plecy powinny być podparte, wyprostowane bądź lekko pochylone do przodu, kąt między udami powinien wynosić 60°, a miedzy udem a podudziem 90°–110°; łokcie powinny być blisko tułowia, zgięte pod kątem prostym; do osiągnięcia właściwego pola widzenia potrzebne jest dobre oświetlenie padające z góry; lampa powinna znajdować się ok. 10 cm nad głową lekarza, w kierunku jego czoła),
  • odpowiedni uchwyt wyrostka zębodołowego, w celu uniknięcia zranienia tkanek miękkich i niekontrolowanego wtłoczenia dźwigni,
  • dobór odpowiednich narzędzi (dźwignie wąskie i płaskie zapewnią jej wtłoczenie w ozębną i zapewnią mniejszą traumatyczność zabiegu), 
  • odpowiedni uchwyt kleszczy, 
  • wykonanie odpowiednich ruchów ekstrakcyjnych.

Etapy usuwania zębów:

  • zerwanie więzadła okrężnego, 
  • nałożenie kleszczy, 
  • wtłoczenie dziobów i zamknięcie kleszczy, 
  • zwichnięcie zęba, 
  • wyjęcie zęba z zębodołu, 
  • wyłyżeczkowanie zębodołu, które ma na celu usunięcie odłamków zęba, przegrody międzykorzeniowej oraz ziarniny zapalnej; łyżeczkowania nie wykonuje się jedynie po usunięciu zębów z żywą miazgą, zębów mlecznych oraz w ostrym ropnym zapaleniu ozębnej,
  • kontrola i odpowiednie zaopatrzenie zębodołu. 

Ranę można zaopatrzyć szwami, spogostanem lub stosując fibrynę bogatopłytkową (ang. platelet rich fibrin – PRF).

Wskazania do zszycia rany poekstrakcyjnej dzieli się na miejscowe i ogólne. Do miejscowych zalicza się mnogie ekstrakcje zębów, uprzednie nacięcie i odwarstwienie płata śluzówkowo-okostnowego oraz niezamierzone uszkodzenia śluzówki jamy ustnej. Ogólne to skazy krwotoczne z wyłączeniem hemofilii oraz niedokrwistości, choroby wątroby, nadciśnienie tętnicze, miażdżyca, cukrzyca, kobiety w okresie miesiączki. 

Wśród materiałów szewnych wyróżnia się nici resorbowalne i nieresorbowalne. Powszechnie uważa się, że nici niewchłanialne stosuje się do szycia ran skóry, natomiast wchłanialne do zakładania szwów pogrążonych oraz do szycia ran błon śluzowych. Ze względu na występowanie odczynów tkankowych po zastosowaniu nici wchłanialnych coraz częściej zastępowane są nićmi nieresorbowalnymi. Ponadto nici niewchłanialne dają mocniejsze utrzymanie tkanek. 

Do zaszycia brzegów rany po zabiegach usunięcia zębów zatrzymanych stosowane są nici o grubości 4,0; 5,0, w zależności od napięcia brzegów rany.

Zastosowanie PRF zmniejsza dolegliwości bólowe po zabiegu, obrzęk oraz redukuje ryzyko wystąpienia zapalenia zębodołu.

Fibryna bogatopłytkowa 

Fibrynę bogatopłytkową otrzymuje się z krwi pacjenta, która tworzy matrycę stymulującą do wzrostu i regeneracji tkanki kostnej. Jest to koncentrat płytek krwi bogaty w leukocyty i czynnik wzrostu śródbłonka naczyniowego (ang. vascular endothelial growth factor – VEGF). Leukocyty wpływają na zwiększenie zawartości mediatorów prozapalnych i przeciwzapalnych.

Fibryna bogatopłytkowa zawiera również:

  • insulinopodobne czynniki wzrostu I i II (ang. insulin-like growth factors I and II – IGF-I i IGF-II), które korzystnie wpływają na proliferację i różnicowanie się komórek, a także hamują apoptozę komórek oraz stymulują syntezę kolagenu,
  • naskórkowy czynnik wzrostu (ang. epidermal growth factor – EGF) współoddziałujący z komórkami naczyń i naskórkiem,
  • czynnik wzrostu dla fibroblastów i mięśni gładkich (ang. basic fibroblast growth factor – bFGF),
  • płytkowy czynnik wzrostu (ang. platelet derived growth factor – PDGF), który odgrywa rolę w procesie angiogenezy, 
  • PDGF-AB i PDGF-BB – czynniki odpowiedzialne za wzrost mezynchymalnych linii komórkowych, 
  • czynnik wzrostu śródbłonka naczyniowego (VEGF), 
  • transformujący czynnik wzrostu (ang. transforming growth factor β – TGF-β) – białko stymulujące wzrost tkanek,
  • TGF-β1 – białko inicjujące bliznowacenie w czasie gojenia rany,
  • trombospondynę 1 – białko pośredniczące w komunikacji pomiędzy komórkami oraz w procesie angiogenezy. 

Dzięki swej zawartości PRF korzystnie wpływa na prawidłowe gojenie i regenerację. Głównymi zaletami zastosowania PRF jest stymulacja wzrostu kości w miejscu jej ubytku (np. po ekstrakcji zęba). Sprzyja również zmniejszeniu dolegliwości bólowych, a nawet całkowicie znosi ból. Korzystnie oddziałuje na procesy gojenia się zębodołu w przypadku wystąpienia np. suchego zębodołu. Najważniejszą jednak zaletą jest przyspieszenie procesu gojenia i zmniejszenie obrzęku pozabiegowego. Wykazano, że u pacjentów, u których po ekstrakcji, np. zatrzymanego zęba trzeciego trzonowego, zastosowano PRF, objawy bólowe były znikome, a gojenie niepowikłane i bardzo szybkie w porównaniu z pacjentami, którym nie podano PRF. Ponadto u tych chorych zaobserwowano na zdjęciach radiologicznych zwiększoną gęstość tkanki kostnej. 

Do przygotowania PRF potrzebna jest wirówka, probówki i zestaw do pobierania krwi.

W procesie odwirowania powstaje trójwarstwowa struktura. Na dnie pozostają krwinki czerwone, środkową warstwę stanowi PRF, natomiast zewnętrzna warstwa to ubogokomórkowe serum (ang. platelet poor plasma – PPP). Skrzep fibrynowy uzyskany po odwirowaniu można umieścić w zębodole po ekstrakcji zęba lub wykonać z niego membranę fibrynową. Klinicznie membrana taka jest bardzo sprężysta, elastyczna i wytrzymała, łatwo daje się formować (zdj. 10).

Opieka pozabiegowa

Ból, obrzęk, szczękościsk jako najczęstsze powikłania pozabiegowe obserwowane są z powodu traumatyzacji tkanek okolicznych i ustępują zwykle po ok. 3–4 dniach po zabiegu. W celu ich zmniejszenia pacjentowi przepisuje się leki przeciwbólowe i antybiotyki.

Stosowanie antybiotyków budzi wiele kontrowersji. Proste ekstrakcje wykonywane u pacjentów ogólnie zdrowych nie wymagają wdrażania antybiotykoterapii. Wraz ze wzrostem trudności zabiegu i obciążeń ogólnych pacjenta, należy jednak rozważyć podanie antybiotyku.

Zlecając pacjentowi antybiotyk, należy pamiętać, że powinien być on podawany przed zabiegiem chirurgicznym, tak aby w chwili zabiegu organizm był nasycony chemioterapeutykiem. Podanie antybiotyku ma sens tylko wtedy, gdy podawany jest przed zabiegiem lub w jego trakcie. Można skorzystać ze schematu, na podstawie którego podaje się pacjentowi podwójną dawkę antybiotyku godzinę przed zabiegiem. Ewentualne dalsze przedłużanie podawania leku zależy od stanu miejscowego i ogólnego chorego oraz rodzaju zabiegu. 

Należy pamiętać, że każde nacięcie błony śluzowej prowadzi do bakteriemii, a krew pozostała w ranie stanowi idealną pożywkę dla bakterii. Z drugiej jednak strony podawanie antybiotyków po zabiegu o tyle nie ma większego sensu, że organizm, broniąc się przed krwawieniem, uruchamia mechanizmy krzepnięcia, w wyniku których dochodzi m.in. do zamknięcia drobnych naczyń krwionośnych przeciętych podczas zabiegu. Prowadzi to do zahamowania mechanizmów obronnych organizmu przed zakażeniem, uniemożliwiając przedostanie się do rany elementów komórkowych. Zamknięte w obrębie rany naczynia uniemożliwiają również przedostanie się do rany antybiotyku. 

Do najczęściej zalecanych antybiotyków należy: amoksycylina z kwasem klawulanowym (1–2 g godzinę przed zabiegiem, jeśli lek stosuje się po zabiegu, to 625 mg co 12 godzin), klindamycyna (600 mg godzinę przed zabiegiem, po zabiegu 300 mg co 8 godzin) oraz metronidazol (500 mg godzinę przed zabiegiem).

Ponadto pacjent nie powinien zapominać o codziennej higienie jamy ustnej. Po zabiegach chirurgicznych zalecane jest mycie zębów miękką szczoteczką oraz płukanie jamy ustnej preparatami antybakteryjnymi, np. zawierającymi chlorheksydynę. Niewskazane są natomiast preparaty na bazie etanolu.

Opisy przypadków

Przypadek 1.

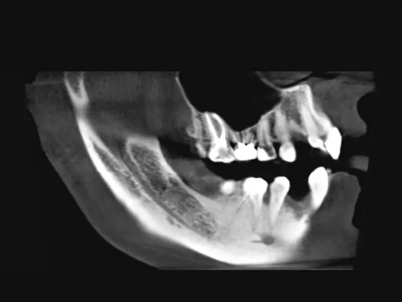
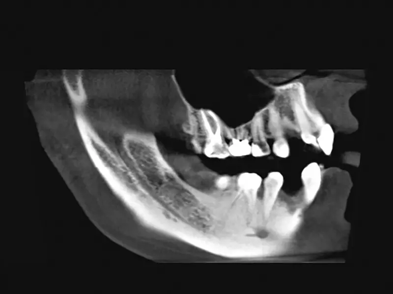
Ząb 48. całkowicie wyrżnięty, zakwalifikowany do ekstrakcji z powodu zgłaszanych przez pacjentkę dolegliwości bólowych i braku zgody na leczenie endodontyczne (zdj. 11). Na zdjęciu rentgenowskim ząb ułożony prawidłowo, pionowo, skierowany lekko w kierunku języka. Korzeń mezjalny mocno wygięty dystalnie (zdj. 12). 

Po przygotowaniu i znieczuleniu pacjenta przystąpiono do zabiegu. W pierwszej kolejności ząb został delikatnie zwichnięty przy użyciu dźwigni i kleszczy (zdj. 13, 14). Następnie usunięto koronę zęba (zdj. 15) i wykonano separację korzeni przy użyciu wiertła różyczkowego na prostnicę. Ze względu na pierwotne zwichnięcie zęba dalsza część ekstrakcji przebiegła sprawnie. Najpierw przy użyciu dźwigni usunięto korzeń mezjalny (zdj. 16), a następnie dystalny. Udzielono pacjentowi wskazań (stosowanie zimnych okładów, leków przeciwbólowych, preparatów do płukania jamy ustnej z chlorheksydyną).

Przypadek 2. 

Ząb 38. częściowo zatrzymany, z widocznym guzkiem policzkowym mezjalnym przebitym przez błonę śluzową (zdj. 17). Na zdjęciu pantomograficznym ząb o niewielkim stopniu inklinacji mezjalnokątowej, jednokorzeniowy (zdj. 18). 

Wykonano cięcie dystalnie na grzbiecie wyrostka za zębem 38. od strony policzkowej, poprowadzono dalej w kierunku zęba 37., przecinając skalpelem wokół niego włókna przyzębne do jego powierzchni mezjalnej. Odpreparowano płat śluzówkowo-okostnowy (płat kopertowy) (zdj. 19). Przyłożono dźwignię i powolnymi ruchami przystąpiono do wyważania zęba od strony mezjalnej (zdj. 20), policzkowej (zdj. 21). 

Następnie założono średnie kleszcze Meissnera i usunięto ząb (zdj. 22). Po usunięciu zęba założono szwy zbliżające (zdj. 23). 

Przypadek 3. 

Pacjent zgłosił się w celu usunięcia zęba 38. W badaniu klinicznym stwierdzono ząb w pełni pokryty błoną śluzową (zdj. 24). Na zdjęciu rentgenowskim ząb częściowo zatrzymany, o ułożeniu mezjalnokątowym, dwukorzeniowy, z niewielkim przejaśnieniem wokół korony zęba (zdj. 25). 

Zabieg przeprowadzono w znieczuleniu miejscowym. Z cięcia na szczycie części zębodołowej żuchwy od strony policzkowej poprowadzonego do mezjalnej powierzchni zęba 37. w jego kieszonce odwarstwiono płat śluzówkowo-okostnowy pełnej grubości (płat kopertowy) (zdj. 26). Następnie wiertłem różyczkowym wykonano otwór osteotomijny, tak aby odsłonić w pełni koronę zęba (zdj. 27). Przy zdejmowaniu tkanki kostnej należy pamiętać o zachowaniu 2 mm marginesu kości oddzielającej otwór od drugiego zęba trzonowego. Dzięki temu status periodontologiczny drugiego zęba trzonowego jest niezaburzony. Przecięto koronę zęba wzdłuż jej długiej osi wraz z rozseparowaniem korzeni (zdj. 28). Następnie usunięto korzeń dystalny wraz z dystalną częścią korony (zdj. 29). Koronę w części mezjalnej odcięto od korzenia, a następnie usunięto najpierw część koronową, a potem korzeń (zdj. 30). Wyłuszczono mieszek zęba. Ranę zaopatrzono szwami (zdj. 31).

Zabieg wykonano w osłonie antybiotykowej (klindamycyna w dawce 600 mg godzinę przed zabiegiem) z następczą antybiotykoterapią (300 mg klindamycyny co 8 godzin).
 

Przypisy