Zalety tomografii komputerowej CBCT w diagnostyce stomatologicznej
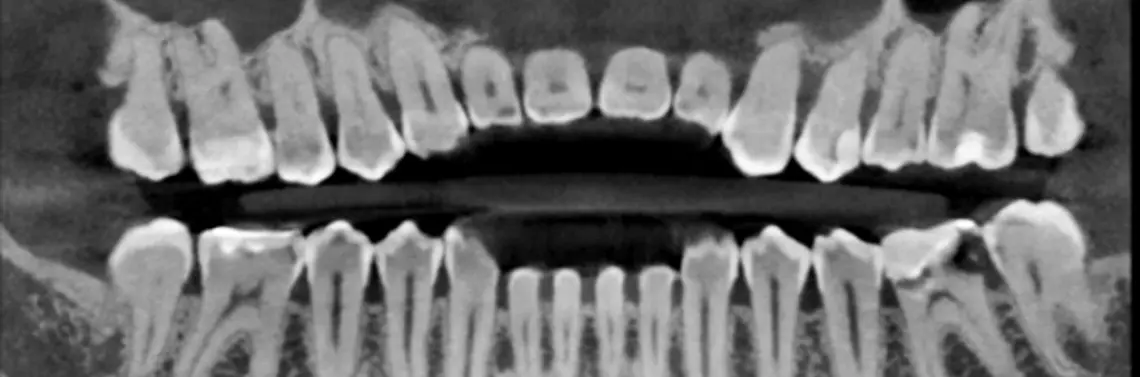
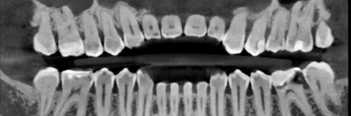
Jednym z głównych powodów, dla których tomografia komputerowa CBCT jest uznawana za bardzo dobrą, jest jej zdolność do dostarczania niezwykle precyzyjnych i trójwymiarowych obrazów struktur anatomicznych. Dzięki zastosowaniu stożkowej wiązki promieni rentgenowskich CBCT pozwala uzyskać obrazy o bardzo wysokiej rozdzielczości przestrzennej. Powszechnie stosowane są już rozdzielczości w rozmiarze woksela 75 (zdj. 1) czy 150 µ (zdj. 2). To umożliwia lekarzom bardzo precyzyjną analizę takich struktur, jak: kanały nerwowe, zęby, kości szczękowe czy stawy skroniowo-żuchwowe, co jest kluczowe w diagnostyce i planowaniu leczenia.
POLECAMY
![]()
![]()
Innym bardzo istotnym atutem tomografii stożkowej jest możliwość uzyskiwania wysokiej jakości obrazów przy stosunkowo niskiej dawce promieniowania. Dzięki zoptymalizowanemu projektowi aparatu CBCT minimalizuje narażenie pacjentów na promieniowanie, co jest istotne z punktu widzenia bezpieczeństwa i zdrowia. Jest to szczególnie korzystne rozwiązanie w przypadku diagnozowania schorzeń wymagających bardzo dużej dokładności.
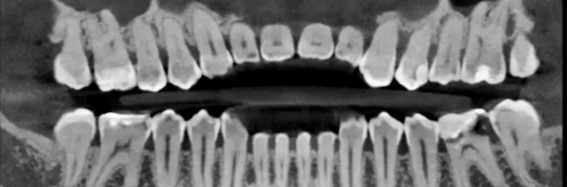
Zdjęcia pantomograficzne są płaskimi obrazami trójwymiarowych obiektów, zatem często nie dostarczają wystarczających informacji na temat wszystkich struktur. Bardzo duży wpływ na ich jakość ma odpowiednie spozycjonowanie pacjenta. Producenci wciąż upraszczają sposoby poprawnego ułożenia głowy pacjenta poprzez zastosowanie specjalnie modelowanych zagryzaków, które mają ustawić zgryz pacjenta w optymalnej pozycji. Niestety, nawet tego typu zabiegi nie chronią w pełni przed rozmyciem istotnych struktur anatomicznych. Jest to często spowodowane niestandardowym ułożeniem łuków zębowych lub odchyleniem pozycji zębów, co w konsekwencji prowadzi do błędnej pozycji obiektów względem osobliwej warstwy ostrości aparatu pantomograficznego (zdj. 3).

Rozwój CBCT
Zgodnie z wytycznymi, biorąc pod uwagę ilość wyemitowanego promieniowania, zdjęcia pantomograficzne są powszechnie zalecanym badaniem poglądowym. Około 14 lat temu do działów R&D (research and development) producentów aparatów radiologicznych zaczęły docierać bardzo poważne żądania z rynku, aby w tomografii komputerowej CBCT znacznie zmniejszyć dawkę promieniowania przy jednoczesnym zachowaniu bardzo dobrej jakości obrazowania.
|
W wyniku tych działań powstały programy Low Dose, których założeniem było jak największe możliwe obniżenie dawki promieniowania. Do uzyskania tego efektu producenci zmieniali technologie, w których wykonywano sensory. Działy informatyczne pracowały nad znalezieniem odpowiednich algorytmów rekonstruujących badania Low Dose w jak najlepszej rozdzielczości. |
Oczywiście pierwsze programy Low Dose w aparatach rentgenowskich faktycznie obniżały dawki promieniowania, natomiast przez lata efekty obrazowania 3D były niezadowalające. Lekarze dentyści nie korzystali z nich podczas diagnozowania. Mimo że obrazy teoretycznie miały rozdzielczość 300–400 µ, jakość przekrojów tomograficznych nie dawała oczekiwanych efektów.
W miarę upływu lat producenci uzyskali bardzo zadowalające efekty technologii Low Dose. Około czterech lat temu osiągnięto bardzo dobrą jakość obrazów tomograficznych, w których dawka promieniowania przy zobrazowaniu obu łuków zębowych jest taka sama bądź bardzo zbliżona do dawki zdjęcia pantomograficznego.
Rozdzielczości badań
Oprogramowania aparatów wyposażono w możliwość wyboru kilku rozdzielczości dla danej wielkości badania. Najlepsze tomografy na rynku dla każdej wielkości walca mają do wyboru co najmniej trzy rozdzielczości badań (High Resolution, Standard i Low Dose), a czasami nawet cztery (High Resolution, Standard, Fast i Low Dose). Jest to oczywiście związane z trzema lub czterema różnymi dawkami ekspozycji.
Przy wykonywaniu cyfrowych zdjęć pantomograficznych w zależności od producenta, obwodu głowy i grubości kośćca pacjenta aparaty emitują promieniowanie od 60 do 250 mGy × cm2.
High Resolution
High Resolution to najwyższa możliwa do osiągnięcia rozdzielczość badania tomograficznego CBCT (od 75 do 100 µ), przy zastosowaniu jednocześnie najwyższych dawek wypromieniowanych z aparatu i najdłuższych czasów badań. Jest stosowana do zobrazowania bardzo małych detali i najczęściej wykorzystywana przy zabiegach endodontycznych. Zakres promieniowania w zależności od producenta aparatu, wielkości walca i gęstości kośćca zawiera się między 250 mGy × cm2 przy badaniach 4 × 4 cm do 1500 mGy × cm2 przy badaniach 10 × 10 cm. Wart uwagi jest fakt, że do niedawna badania wykonywane w High Resolution były dostępne tylko w rozmiarze 4 × 4 cm i 5 × 5 cm. Obecnie rozwój technologii pozwolił producentom na osiągnięcie takich rozdzielczości we wszystkich wielkościach badań, aż do pola 10 × 10 cm.
Standard
Standard to bardzo dobra, średnia rozdzielczość badania tomograficznego CBCT (od 150 do 200 µ), przy średnich dawkach wypromieniowanych z aparatu i podobnych czasach badań, jak w przypadku High Resolution. Jest stosowana również do zobrazowania detali, ale nie jest już tak szczegółowa. Zakresy promieniowania przy takich samych zależnościach jak powyżej kształtują się w wartościach od 200 mGy × cm2 przy badaniach 4 × 4 cm do 5500 mGy × cm2 przy badaniach obejmujących praktycznie całą twarzoczaszkę.
Fast
Skany wykonane w rozdzielczości Fast charakteryzują się dawką promieniowania obniżoną o 50% w stosunku do HR, przy rozdzielczościach na poziomie ok. 300 µ. Są one stosowane do badań, które nie potrzebują tak dużej dokładności jak wykonane w rozdzielczościach HR czy Standard. Niemniej jednak są używane nawet do oceny zmian okołowierzchołkowych czy stawów skroniowo-żuchwowych. Zakresy promieniowania przy takich samych zależnościach jak powyżej kształtują się w wartościach od 90 mGy × cm2 przy badaniach 4 × 4 cm do 1050 mGy × cm2 przy badaniach 10 × 12 cm (zdj. 4).
![]()
![]()
Low Dose
Low Dose to teoretycznie najmniejsza rozdzielczość badań tomograficznych (od 300 do 400 µ), za to osiągnięta przy zdecydowanie najniższych dawkach wypromieniowanych z aparatu. Stanowią one ok. 10% dawki potrzebnej do wykonania badania w HR. Niemniej jednak taka forma obrazowania dostarcza lekarzowi o wiele więcej danych klinicznych niż najlepiej wykonane zdjęcie pantomograficzne. Przede wszystkim dlatego, że za pomocą specjalnych programów do przeglądania badań 3D otrzymujemy przestrzenny obraz, w którym możemy analizować obiekt w trzech płaszczyznach. Warte uwagi są bardzo krótkie czasy naświetlania, które zostają zredukowane z kilkunastu do zaledwie ok. 3 s. Zakresy promieniowania przy takich samych zależnościach jak w powyższych przypadkach kształtują się w zakresie już od 30 mGy × cm2 przy badaniach 4 × 4 cm do 1650 mGy × cm2 przy badaniach 16 × 17 cm, obejmujących praktycznie całą twarzoczaszkę.
Jak łatwo wywnioskować, wszystkie dawki promieniowania, niezależnie od rozdzielczości, w stosunku do początków tomografii CBCT zostały bardzo zredukowane. Przyczyniło się to do ogromnego wzrostu popularności badań 3D przy jednoczesnym zachowaniu bezpieczeństwa pacjenta i zgodności z zasadą ALARA.
Przykładem może być wykorzystanie wolumenu 5 na 5 cm w Low Dose, którym jesteśmy w stanie niejednokrotnie zastąpić tak często zalecane badanie pantomograficzne u dzieci, ponieważ dawka takiego badania tomograficznego będzie zdecydowanie niższa.
Kolejnym zastosowaniem badań wykonanych w Low Dose może być zastąpienie badania pantomograficznego u pacjenta, u którego anatomiczny układ wyrostków górnego i dolnego wraz z uzębieniem uniemożliwia ich poprawne spozycjonowanie w warstwie ostrości pantomogramu. W tym przypadku możliwe jest wykonanie np. badania 8 na 9, obejmującego oba łuki zębowe. Dawka promieniowania w takim badaniu będzie taka sama lub odrobinę wyższa niż w badaniu pantomogramem, ale dostarczy lekarzowi o wiele więcej informacji klinicznych. Istnieje bowiem możliwość prześledzenia każdego przekroju pod dowolnie wybranym kątem. Największym benefitem takiego rozwiązania jest to, iż budowa anatomiczna i układ wyrostków zębowych pacjenta nie mają najmniejszego znaczenia dla ostrości obrazu, gdyż jedynym obostrzeniem, jakie istnieje, jest wielkość walca 3D.
Ponadto w badaniu tomograficznym wszystkie wykonane pomiary będą w skali 1:1 i z dokładnością 1/10 mm. Wybór badania 3D w Low Dose umożliwi zobrazowanie tkanek niemożliwych do oceny w badaniu pantomograficznym, w którym obraz często był rozmyty.
Podsumowanie
Na rynku badań radiologicznych ewidentnie można zauważyć trend, który zmierza w stronę bardzo dużego obniżenia dawki przy jednoczesnym ciągłym podwyższaniu jakości obrazowania. Dowodem coraz większego zwrócenia się w stronę tomografii komputerowej są ciągle zmieniane i rozszerzane zalecenia światowych towarzystw stomatologicznych co do przypadków, w których sugeruje się użycie tomografii komputerowej. Również raporty handlowe producentów aparatów CBCT jasno pokazują ciągły wzrost sprzedaży. Natomiast największym dobrem dla pacjentów są jasne deklaracje lekarzy, którzy otwarcie mówią o potrzebie szkoleń z możliwości, jakie daje obecna technologia 3D i Low Dose. Szkoleń, dzięki którym poznają oni pełne możliwości aparatów rentgenowskich i oprogramowań do analizy badań trójwymiarowych. Dzięki temu lekarze dentyści są w stanie w 100% wykorzystać technologię dla pewnej diagnozy i dobra pacjenta.