Estetyczna interdyscyplinarna koncepcja leczenia pacjenta z wrodzoną hipodoncją

PRACTISE & CASES

Choć potrzeba estetycznego uśmiechu była zawsze istotna, w dziejach ludzkości pojęcie estetyki ulegało ewolucji. Obecna była zawsze koncepcja akceptowalnej funkcji w połączeniu z estetyką. Dzisiaj nawet ważniejsza staje się ta druga. Dobry wygląd zębów kojarzy się z sukcesem, szczęściem i pewnością siebie. Z tego powodu jest pożądany. Możliwość nieskrępowanego prezentowania własnego uśmiechu wydaje się urastać do wartości samej w sobie. Zdrowe, piękne, białe zęby są synonimem dobrego statusu społecznego i atrakcyjności.

Ludzie rozmawiają o własnych zębach coraz chętniej i bardziej otwarcie. Dzięki promocji zdrowia w mediach nasi pacjenci mają coraz częściej rozwiniętą świadomość stomatologiczną. W połączeniu z oczekiwaniami pacjenta i jego wymaganiami wyznacza ona subiektywne cele terapii. 
W leczeniu złożonych przypadków normą jest postępowanie kilkukierunkowe obejmujące w pierwszej kolejności diagnostykę oraz ocenę potrzeb leczniczych i oczekiwań pacjenta. Na tym etapie niejednokrotnie pojawia się dylemat etyczny, aby zaoferować pacjentowi najlepszą metodę leczniczą, nawet jeśli sami jej nie wykonujemy. Chodzi o skierowanie na etapy leczenia np. do ortodonty lub implantologa czy odesłanie pacjenta do bardziej doświadczonego specjalisty. Wykonanie najprostszej terapii, nawet satysfakcjonującej cenowo pacjenta, nie może tłumaczyć narażenia go na niekorzystne skutki trwające latami. Pacjenci mogą się też domagać tej czy innej metody leczenia, gdyż czynnikiem, który niestety często odgrywa dla nich kluczową rolę, są możliwości finansowe. Do lekarza jednak należy proponowanie w porozumieniu z pacjentem rozwiązań najlepszych w świetle jego wiedzy i umiejętności. W ramach prywatnej opieki stomatologicznej z pomocą przychodzą systemy ratalne ułatwiające pacjentowi uzyskanie wymarzonych zębów. 
Obiektywnie naprawiamy relacje zębowe, zapewniając np. lepszą możliwość utrzymania higieny w przypadku stłoczeń. Poprawiamy rokowanie, jeśli chodzi o utrzymanie zębów własnych pacjenta. Poprawna, zbalansowana okluzja ogranicza patologiczne uszkodzenia szkliwa, brak przeciążeń zębów chroni kość. W tym zakresie konieczne staje się uzupełnianie brakujących zębów, czy to utraconych, czy też takich, które nie pojawiły się wskutek niedorozwoju. Nad efektami leczenia należy czuwać za pomocą wizyt kontrolnych i profesjonalnych zabiegów higieny jamy ustnej. Jest to często zaniedbywane. 
W gabinecie powinien funkcjonować system przypominania pacjentom o wizytach kontrolnych.
Prezentacja możliwości leczniczych może przeistoczyć się w potrzeby subiektywne, wzmagając świadome zaangażowanie pacjenta w proces leczenia. Służy temu poprawna komunikacja i rzetelna informacja na temat etapów leczenia i całkowitych kosztów z nim zawiązanych. Nowoczesne techniki, które jesteśmy w stanie zaoferować, są nastawione na osiągnięcie tego podstawowego celu.
W prezentowanym przypadku planowanie etapów leczenia obejmowało ustalenie potrzeb pacjenta, jego oczekiwań oraz możliwości leczniczych będących wypadkową zarówno możliwości adaptacyjnych, jak i pewnych ograniczeń biologicznych pojawiających się w trakcie procesu leczenia. 

POLECAMY

Opis przypadku

Pacjent w wieku 37 lat, mężczyzna. Pojawił się w moim gabinecie w celu „poprawy uśmiechu” oraz usunięcia bolących przetrwałych zębów mlecznych 81, 71. Był to niemal jego pierwszy kontakt z dentystą w życiu. W trakcie badania oraz po analizie zdjęcia OPG diagnoza okazała się jednoznaczna – mieliśmy do czynienia z łagodną postacią hipodoncji. 
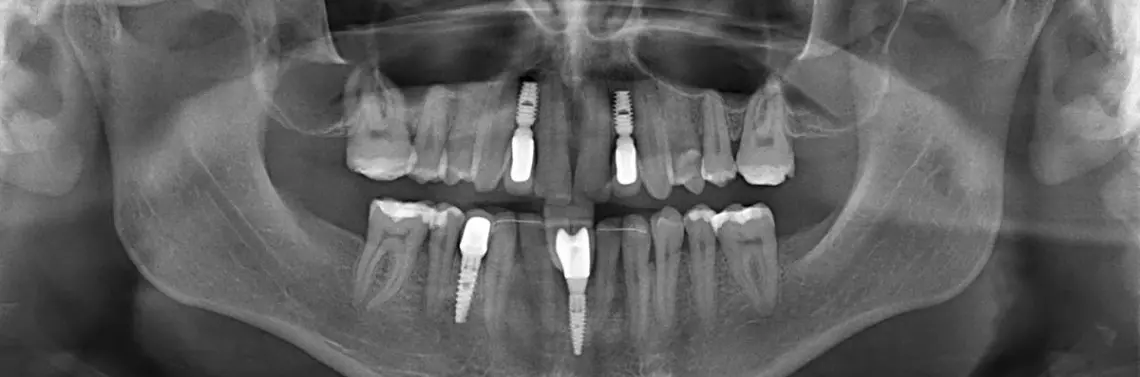
Mianem hipodoncji określa się zwykle wrodzony brak jednego bądź kilku zębów, co należy do częstych wad rozwojowych uzębienia. Może występować sporadycznie lub być dziedziczny. Często współistnieje z innymi nieprawidłowościami zębowymi, takimi jak zaburzenia morfologii, zmiany położenia zębów, opóźnienie ząbkowania. W naszym przypadku był to izolowany brak zębów (zdj. 1, 2, 3, 4) oraz przetrwałe siekacze dolne mleczne przy braku zawiązków zębów stałych.
Najczęściej brakującymi zębami są ostatnie zęby z każdej serii (np. siekacz boczny, drugi ząb przedtrzonowy i trzeci ząb trzonowy). W etiologii tego zaburzenia podkreśla się wpływ czynników wewnętrznych (zaburzenia hormonalne, przemiany materii) oraz zewnętrznych (ujemne czynniki środowiskowe, urazy działające w życiu płodowym). Anomalie w uzębieniu stałym występują u 30–50% osób z hipodoncją w uzębieniu mlecznym. Częstość występowania w uzębieniu stałym hipodoncji siekaczy górnych bocznych wynosi 2%. Częściej anomalie te występują u kobiet.
Leczenie agenezji stanowi częsty problem stomatologiczny. Braki w odcinku przednim zaburzają estetykę i nastręczają trudności leczniczych u młodych pacjentów. Postępowanie lecznicze zależy od rodzaju i liczby brakujących zębów, wieku pacjenta, rodzaju zgryzu, stanu zębów mlecznych i ich rokowania co do czasu pozostawienia w jamie ustnej. Do rozpoznania hipodoncji konieczna jest diagnostyka radiologiczna w celu wyeliminowania przypadków zatrzymanych zębów stałych w kościach szczęk.
Konwencjonalne zaopatrzenie protetyczne w formie mostów jedno- i dwubrzeżnych jest inwazyjne w stosunku do zębów sąsiadujących z luką, a efekty estetyczne, szczególnie w sferze tkanek miękkich, mogą być niezadowalające. W stosunku do implantów most mechanicznie przeciąża filary protetyczne, ograniczając ich funkcjonowanie. Kierujemy się zasadą minimalnej inwazyjności dla zębów pacjenta. W świetle tego otwarcie przestrzeni z następową rekonstrukcją implantologiczno-protetyczną jest najlepszym postępowaniem w celu osiągnięcia odpowiedniej funkcjonalności i estetyki.
W pierwszym badaniu klinicznym stwierdzono ruchomość II stopnia, intensywne zapalenie dziąsła, brak brodawek zębowych w odcinku przednim dolnym, przodozgryz ze zgryzem krzyżowym przednim oraz zwiększony nagryz pionowy. 
Ze względu na dolegliwości pacjent nie mył tych zębów od dłuższego czasu. 
Zdjęcie pantomograficzne wykazało wrodzony brak zębów 12, 22, 41, 31 i 44 oraz przestrzenie pomiędzy innymi zębami. Nieobecne są również drugie i trzecie trzonowce górne i dolne (zdj. 1).
W łuku górnym stwierdzono brak możliwości uzupełnienia zębów przez implantację ze względu na zbyt małe przestrzenie. W związku z powyższym zdecydowano o konieczności korekty ortodontycznej, tak aby osiągnąć konieczny zasób tkanki kostnej między zębami dla implantów.
Zaplanowano leczenie ortodontyczne w celu korekty zgryzu krzyżowego w odcinku przednim oraz zniesienia przeciążeń zgryzowych i stłoczeń zębów, a także przygotowania miejsca pod implanty w pozycjach 12 i 22 poprzez ekspansję górnego łuku i zwężenie dolnego. Pacjent zaakceptował plan leczenia, który podtrzymano.
Usunięcie dolnych mlecznych siekaczy centralnych nastąpiło po założeniu aparatu stałego na łuk górny i dolny. Aby poprawić komfort funkcjonowania pacjenta, jako uzupełnienie tymczasowe przymocowano do aparatu odpowiednio przygotowane usunięte zęby mleczne (zdj. 5).
W badaniu klinicznym stwierdzono deficyt kości w żuchwie w odcinku przednim w wymiarze wargowo-językowym. Zaplanowano zabieg augmentacji mający na celu zwiększenie objętości kości.
Po ekstrakcji i zagojeniu tkanek miękkich w ciągu sześciu tygodni w okolicy 31 i 32 wykonano zabieg GBR, sterowanej regeneracji kości z wprowadzeniem materiału kościozastępczego Bioss i pokryciem resorbowalną membraną Bio-Gide. Jednocześnie nastąpiła implantacja w miejsce zęba 44 – implant MIS 3,75/13 (zdj. 6).
Po roku od rozpoczęcia leczenia ortodontycznego uzyskano wystarczającą przestrzeń dla wszczepienia górnych bocznych siekaczy. Procedurę chirurgiczną przeprowadzono w znieczuleniu miejscowym. Wykonano cięcia na szczycie wyrostka zębodołowego szczęki w okolicy 12 i 22. Po delikatnym odpreparowaniu tkanek miękkich utworzono łoże dla implantów, stosując technikę rozszczepienia wyrostka zębodołowego dłutami firmy Bicon oraz technikę osteotomową w połączeniu z wiertłami niskoobrotowymi z zestawu, bez stosowania chłodzenia wodnego. W trakcie wiercenia uzyskuje się wióry kostne służące potem do augmentacji ponad wszczepionym implantem. Postępowanie takie ma na celu poprawę parametrów objętościowych kości oraz estetyki wyrostka w okolicy uprzednio pozbawionej korzeni. Brak zabiegu w pełnym płacie nastręcza pewne problemy i wymaga dużego doświadczenia operującego. Dzięki brakowi materiałów kościozastępczych i ograniczeniu rozległości zabiegu pozwala jednak skrócić czas oczekiwania na gojenie. Nie bez znaczenia jest niska prędkość obrotowa w trakcie wiercenia, a co za tym idzie – brak konieczności stosowania chłodzenia wodnego wypłukującego czynniki gojenia z tkanki. Zwiększa się też komfort pacjenta. W pozycji 12 i 22 zastosowano wszczepy Bicon 4,8/8 o studni średnicy 2,5 mm (zdj. 7).
Implanty Bicon dzięki połączeniu stożkowemu z łącznikiem mogą zostać pogrążone głęboko poniżej brzegu wyrostka zębodołowego. Idealnie szczelne połączenie stożkowe gwarantuje brak mikroprzemieszczeń oraz szczelność. To skutkuje brakiem stanów zapalnych, podrażnienia dziąseł czy zaniku kości. 
Ze względu na brak podatności na przesuwanie zębów dolnych w odcinku przednim w celu odtworzenia prawidłowej szerokości na dwa brakujące siekacze zdecydowano się na wszczepienie jednego implantu i późniejsze protezowanie koronami zblokowanymi na jednym łączniku. Zabieg ze względu na próby ortodontyczne nastąpił 10 miesięcy od augmentacji (implant MIS c1, 3,75/11,5). W jego trakcie stwierdzono prawie całkowitą resorpcję materiału oraz szeroki wyrostek zębodołowy.
W górnym łuku po odsłonięciu implantów zastosowano anatomiczne śruby gojące przez trzy tygodnie. Postępowanie protetyczne obejmowało wyciski wykonane z masy wyciskowej Impregum. Zastosowano łączniki metalowe oraz korony na podbudowie metalowej z frezowanego stopu Sintron. Dzięki specyfice systemu Bicon korony zostały zacementowane na łącznikach poza jamą ustną i zamontowane jako zintegrowany zespół z łącznikiem (zdj. 8).
Cztery miesiące po zamontowaniu koron bocznych górnych siekaczy odsłonięto implanty w dolnym łuku (zdj. 9, 10). Faza protetyczna została przeprowadzona w okresie gojenia zamkniętego implantów. Wykorzystano śruby anatomiczne. Wykonano indywidualnie ukształtowaną koronę odwzorowującą wygląd dwóch centralnych siekaczy dolnych z wykorzystaniem różowej ceramiki imitującej brodawkę międzyzębową (zdj. 11, 12).
Zastosowanie korony zblokowanej w miejscu siekaczy dolnych jest kompromisem wynikającym z braku przestrzeni na dwa implanty. W istniejącej sytuacji daje akceptowalny efekt estetyczny i bezkompromisową funkcję oraz rokowanie. 
Ostateczny efekt po zakończeniu leczenia widać na zdj. 13–17. Estetyka górnych siekaczy bocznych jest na bardzo zadowalającym poziomie po czterech miesiącach od założenia. Widoczne są brodawki międzyzębowe w przestrzeniach interproksymalnych koron implantów. Podobny efekt spodziewamy się uzyskać po kilku miesiącach w okolicy dolnych siekaczy. 
 


Rozwiązanie problemów związanych ze zjawiskiem hipodoncji wymagało leczenia kompleksowego z ustaleniem dokładnego planu mającego na celu jak najlepszą poprawę warunków czynnościowych oraz estetycznych.
Potwierdzono przydatność i potrzebę stosowania zarówno stałych aparatów ortodontycznych, jak i wszczepów tytanowych. Na podstawie piśmiennictwa oraz własnych obserwacji skojarzoną z terapią ortodontyczną implantologię można uznać za najlepszą metodę w takich przypadkach jak opisywany. Takie leczenie poprawia bowiem estetykę uzębienia i wydolność żucia pacjentów. Warunkuje tym samym ich dobre samopoczucie oraz daje efekt, który z dużym prawdopodobieństwem utrzyma się do końca życia.

Przypisy