Wędzidełko wargi górnej - Frenulektomia

PRACTISE & CASES

Wędzidełko wargi górnej to trójkątna struktura anatomiczna przebiegająca strzałkowo od wewnętrznej powierzchni wargi do błony śluzowej lub okostnej przedsionkowej powierzchni wyrostka zębodołowego szczęki w pobliżu przyśrodkowych górnych siekaczy. Wyróżnia się cztery typy wędzidełka, z których dwa powodują różne dysfunkcje. Najczęstszą metodą leczenia hipertroficznego wędzidełka jest frenulektomia.

Wędzidełko jest zbudowane z tkanki łącznej włóknistej (włókna kolagenowe o różnej grubości), nabłonka warstwowego (z cechami orto- i parakeratozy), naczyń krwionośnych i limfatycznych, ponadto w niektórych przypadkach są obecne również gruczoły ślinowe, tkanka tłuszczowa, włókna sprężyste tkanki łącznej włóknistej, a nawet tkanka mięśniowa. 

POLECAMY

Typy wędzidełka 

Ze względu na umiejscowienie przyczepu wędzidełka można wyróżnić jego następujące typy: 

  • typ I – śluzówkowy (błona śluzowa ruchoma), 
  • typ II – dziąsłowy (błona śluzowa wyrostka zębodołowego), 
  • typ III – brodawkowy (brodawka międzyzębowa), 
  • typ IV – penetrujący (brodawka przysieczna). 

Typy brodawkowy i penetrujący (III, IV) są uważane za nieprawidłowe. Typy III i IV wędzidełka wargi górnej doprowadzają do powstania diastemy prawdziwej i wynikającej z niej zaburzeń fonacji i estetyki, gromadzenia biofilmu, chorób periodontologicznych, jak również zmniejszenia ilości zrogowaciałego nabłonka dziąsła. W wielu przypadkach przerost wędzidełka może ograniczać ruch wargi, zaburzać mimikę twarzy lub powodować brak utrzymania uzupełnień protetycznych.

Test Blancha

W celu zakwalifikowania przerośniętego wędzidełka do leczenia można posłużyć się testem Blancha. Jest on dodatni, jeśli przy pociągnięciu wargi górnej do góry i do przodu dochodzi do anemizacji błony śluzowej podniebiennej i międzyzębowej okolicy 11 i 21.

Frenulektomia 

Najczęstszą metodą leczenia hipertroficznego wędzidełka jest frenulektomia. Zabieg ten ma na celu usunięcie nadmiaru tkanki międzyzębowej ze zmniejszeniem napięcia krańcowych włókien tkanki dziąsła. 
Idealny wiek do przeprowadzenia frenulektomii jest trudny do określenia. Niektórzy klinicyści uważają, że należy poczekać z zabiegiem do czasu całkowitego wyrżnięcia się stałych zębów przednich (ok. ósmego–dziewiątego roku życia) i sprawdzić, czy diastema samoistnie się nie zamknie. Jeśli po tym czasie szerokość diastemy będzie wynosić mniej niż 2,7 mm, należy wykonać frenulektomię, natomiast w przypadku większej odległości konieczne jest leczenie ortodontyczne, w trakcie którego zostanie wykonany ten zabieg. Frenulektomia połączona z leczeniem ortodontycznym daje stabilniejsze wyniki niż samo leczenie ortodontyczne. Przy właściwym połączeniu obu tych metod włókna przezprzegrodowe można przekształcić w elastyczną sieć, która hamuje przemieszczanie zębów i stabilizuje ich pozycję. Pozwala to zapobiec nawrotowi diastemy, problemom periodontologicznym oraz poprawić estetykę twarzy.
Zabieg frenulektomii może być przeprowadzony za pomocą skalpela, elektroskalpela lub chirurgii laserowej (laser diodowy, erbowo-yagowy, neodymowo-yagowy, erbowo-chromowo-yagowy, CO2). Od czasu wprowadzenia do stomatologii laserów przeprowadzono wiele badań mających na celu stworzenie idealnych parametrów (moc, tryb impulsacji, częstotliwość itp.) do wykonywania efektywnych i bezpiecznych zabiegów. Zabieg laserowy jest często stosowany jako alternatywa dla tradycyjnych technik dzięki takim właściwościom, jak odparowanie wody, hemostaza, dezynfekcja i biostymulacja. Korzystanie z laserów w chirurgii stomatologicznej pozwala również na precyzję w wycięciu tkanek z minimalnym uszkodzeniem tkanek sąsiadujących, często nie ma również konieczności zakładania szwów. Zabieg charakteryzuje się mniejszym bólem i mniejszym obrzękiem pozabiegowym, a co za tym idzie – większym komfortem pooperacyjnym. Pacjenci podają również, że sam fakt wykonania frenulektomii przy użyciu lasera znacznie zmniejsza u nich poziom strachu przed zabiegiem w porównaniu z tradycyjną metodą.

Wady metody laserowej

Do wad tej metody na pewno trzeba zaliczyć wysoki koszt urządzenia laserowego, konieczność przeszkolenia stomatologa i personelu średniego, jak również wyższą cenę wykonania zabiegu.

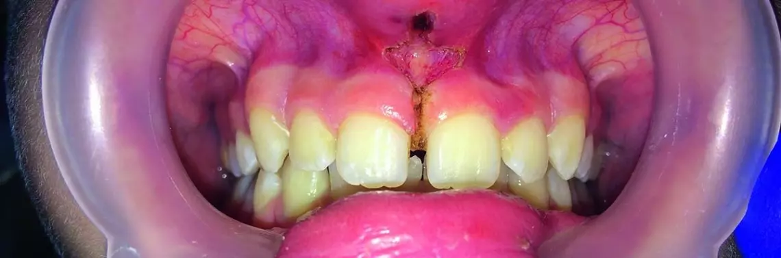
Opis przypadku

Przed wykonaniem zabiegu końcówkę światłowodu należy aktywować (nadpalić) poprzez jej dwu- lub trzykrotne przyłożenie do kalki zgryzowej podczas pracy lasera diodowego. Po znieczuleniu pacjenta niedużą ilością środka znieczulającego (ok. 0,5 ml) rozpoczyna się wycinanie wędzidełka poprzez przyłożenie końcówki aktywnego światłowodu do tkanki. Rozróżnia się wiele technik operacyjnych, takich jak plastyka V, Y i Z. Celem zabiegu jest usunięcie przyczepu wędzidełka do poziomu okostnej. Dokładna technika zabiegu jest przedstawiona w dokumentacji wideo. Ranę po działaniu lasera przemywa się solą fizjologiczną i pokrywa preparatami Periokin lub Solcoseryl. Po zabiegu nie ma konieczności stosowania szycia. Proponowane ustawienia mocy lasera są uzależnione od zawartości hemoglobiny w tkance. Zaleca się ustawienie początkowe mocy lasera na 1,5 W w trybie pracy ciągłej i podwyższenie mocy do poziomu maksymalnie 2,5 W, aby zwiększyć skuteczność odparowania (cięcia) tkanki. 
Zalecane ustawienia lasera:

  • długość fali – 980 nm,
  • moc – 1,5–2,5 W,
  • tryb pracy – ciągła,
  • średnica włókna – 320–400 µm.

Po wykonaniu części chirurgicznej przeprowadza się biostymulację rany pooperacyjnej za pomocą końcówki transmitującej światło o długości fali 635 lub 808 nm. 
Obszar biostymulacji dzieli się na kilka części odpowiadających wielkości pola operacyjnego, zwykle naświetla się od dwóch do pięciu punktów przy ustawieniu gęstości energii w zakresie 3–10 J/cm2 na punkt. Biostymulację wykonuje się zgodnie z prawem Arndta-Schultza.
 

Przypisy