Autor: Rafał Flieger

dr n. med. Rafał Flieger, MSc in Orthodontics
Ukończył studia na Uniwersytecie Medycznym im. Karola Marcinkowskiego w Poznaniu, gdzie do 2015 roku był asystentem w Katedrze i Klinice Ortodoncji. W 2012 roku na podstawie przedstawionej rozprawy doktorskiej z zakresu ortodoncji oraz po złożeniu wymaganych egzaminów uzyskał stopień naukowy doktora nauk medycznych.
 

Działy
Wyczyść
Brak elementów
Wydanie
Wyczyść
Brak elementów
Rodzaj treści
Wyczyść
Brak elementów
Sortowanie

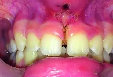
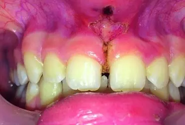
Wędzidełko wargi górnej – frenulektomia

Wędzidełko wargi górnej to trójkątna struktura anatomiczna przebiegająca strzałkowo od wewnętrznej powierzchni wargi do błony śluzowej lub okostnej przedsionkowej powierzchni wyrostka zębodołowego szczęki w pobliżu przyśrodkowych górnych siekaczy. Wyróżnia się cztery typy wędzidełka, z których dwa powodują różne dysfunkcje. Najczęstszą metodą leczenia hipertroficznego wędzidełka jest frenulektomia.

Czytaj więcej

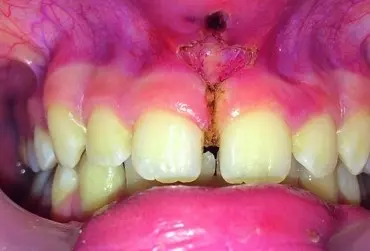
Wędzidełko wargi górnej - Frenulektomia

Wędzidełko wargi górnej to trójkątna struktura anatomiczna przebiegająca strzałkowo od wewnętrznej powierzchni wargi do błony śluzowej lub okostnej przedsionkowej powierzchni wyrostka zębodołowego szczęki w pobliżu przyśrodkowych górnych siekaczy. Wyróżnia się cztery typy wędzidełka, z których dwa powodują różne dysfunkcje. Najczęstszą metodą leczenia hipertroficznego wędzidełka jest frenulektomia.

Czytaj więcej

Wykorzystanie lasera diodowego w ortodoncji

Laser diodowy ułatwia przeprowadzenie wielu zabiegów ortodontycznych. Wykorzystuje się go między innymi do wprowadzania zatrzymanego kła do łuku zębowego, zmniejszania bólu po założeniu aparatu ortodontycznego, jak również korekty przerostu dziąseł na skutek leczenia aparatem stałym. W artykule omówiono przeprowadzenie poszczególnych procedur na konkretnych przykładach. 

Czytaj więcej