Diagnostyka, postępowanie edukacyjne i terapeutyczne – składowe powodzenia w zapobieganiu i terapii choroby próchnicowej

PRACTISE & CASES

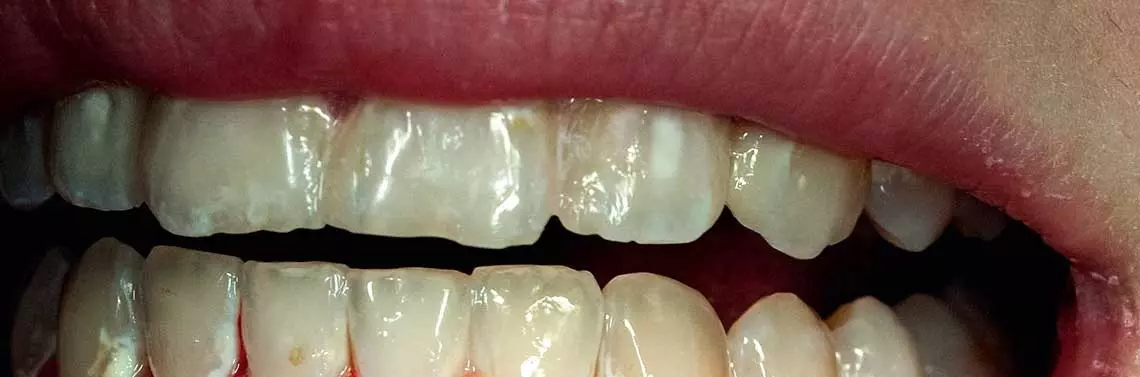
Zasady postępowania w przypadku opieki nad pacjentem niewspółpracującym, u którego stwierdzamy aktywną chorobę próchnicową ze znaczną dynamiką progresji, podlegają adaptacjom stosownie do postępu wiedzy i technologii materiałowych.

Podczas oceny realnego zagrożenia zwracamy uwagę na wiele czynników, w tym na klasyczne, takie jak obecność płytki oraz spożywanie cukru. Jako praktycy doskonale wiemy, że to zaledwie wstęp. Ilość zmiennych, które będą modyfikować indywidualne warunki w ustach pacjenta, jest wręcz nieprzewidywalna. Ocena ilości i jakości śliny, częstość spożywania pokarmów i ich ilość, rodzaj i objętość napojów, które niejednokrotnie są pomijane podczas zbierania wywiadu, warunki socjalne i ekonomiczne. Równie istotny jest poziom wiedzy i świadomość pacjenta. Nadal to tylko szerokie pojęcia, z których każde wymaga bardzo szczegółowego omówienia. 

POLECAMY

Na to wszystko nakłada się aspekt ekonomiczny. Nadrzędność działań profilaktycznych w żadnym stopniu nie znajduje odzwierciedlenia w logice wyceny świadczeń gwarantowanych przez NFZ. Stworzenie i skrupulatna realizacja zindywidualizowanego planu profilaktyki wymagają zaangażowania „sił i środków” zgodnie z logiką: im bardziej złożona sytuacja początkowa i „opór materii”, tym większy stopień trudności i nakład pracy związany z częstością wizyt i zaangażowaniem członków zespołu stomatologicznego. Niedoszacowanie i błędnie wyceniane procedury powodują spadek zainteresowania kontraktami, które ratuje jeszcze obecnie pogarszająca się sytuacja ekonomiczna znacznej części społeczeństwa. Miarą rozwoju cywilizacji jest wzrost zainteresowania profesjonalną opieką stomatologiczną. Niestety, postęp na tym odcinku jest niezadowalający, a jedną z przyczyn jest wadliwy system ekonomiczny.

Prawidłowa opieka nad pacjentem musi obejmować zarówno działania zabiegowe: profilaktyczne i lecznicze, jak i działania edukacyjne. Praktycy wiedzą, że jest to potrzeba dotycząca pacjentów w każdym wieku, jednak wiedza ta jest niedostępna dla urzędników. Przykładem ograniczonego zrozumienia jest opieka nad pacjentami onkologicznymi leczonymi w trybie ambulatoryjnym, którzy tracą „szczególne” warunki opieki stomatologicznej przysługujące pacjentom hospitalizowanym. 

Nieco przydługi wstęp ma na celu zwrócenie uwagi, jak istotna w pracy...

Pozostałe 90% treści dostępne jest tylko dla Prenumeratorów

Co zyskasz, kupując prenumeratę?
  • Roczną prenumeratę 4 wydań Forum Stomatologii Praktycznej
  • Nielimitowany dostęp do całego archiwum czasopisma
  • ...i wiele więcej!

Praktyczna wiedza dla nowoczesnego zespołu stomatologicznego.

Kwartalnik dla lekarzy, higienistek i techników dentystycznych — łączący kliniczne doświadczenia, innowacje i interdyscyplinarną współpracę.

aktualne opisy przypadków i technik klinicznych
nowoczesne materiały i technologie stomatologiczne
praktyczne protokoły i wskazówki dla zespołu dentystycznego
analiza błędów medycznych i aspektów prawnych w stomatologii
aktualności i trendy — od diagnostyki po protetykę i higienę
dostęp do archiwum i łatwa prenumerata (papierowa lub cyfrowa)
Praktyczna wiedza dla nowoczesnego zespołu stomatologicznego.

Przypisy