Bezpośrednia odbudowa ubytku klasy II za pomocą nowego samopoziomującego materiału kompozytowego typu bulk fill o niskim skurczu polimeryzacyjnym

Materiał odtwórczy x-tra base typu bulk fill

PRACTISE & CASES

Artykuł sponsorowany

Lista zabiegów – klasyfikacja 
(fr. Fédération Dentaire Internationale – FDI)

  • Ząb 15, powierzchnia dystalna i żująca: wypełnienie z materiału kompozytowego, wykonane techniką warstwową bezpośrednią po wytrawieniu kwasem.

Materiał odtwórczy

POLECAMY

  • Pierwsza warstwa typu bulk: x-tra base, kolor A2 (VOCO).
  • Efekt kameleona uzyskano za pomocą materiału GrandioSO w jednym kolorze A3 (VOCO), zastosowanego na powierzchni zwarciowej. 

System łączący

  • Ząb 15, powierzchnia dystalna i żująca: preparat piątej generacji (Kerr Optibond Solo Plus), zastosowany po wytrawieniu kwasem. 

 

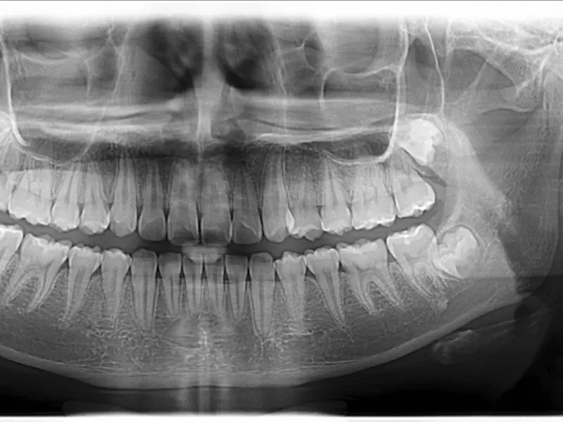
Pacjent D.B., lat 34, zgłosił się do gabinetu w celu przeprowadzenia szczegółowego badania przeglądowego. Nie zgłaszał żadnych dolegliwości ze strony zębów. W badaniu stwierdzono klinicznie prawidłowe wszystkie wypełnienia i uzupełnienia, z wyjątkiem korony z porcelany napalanej na metal na zębie 46, o nieszczelnym pobrzeżu, masowym przecieku bakterii oraz miejscach gromadzenia się płytki zarówno w okolicy mezjalno-policzkowej, jak i dystalno-policzkowej. Badanie radiologiczne potwierdziło niezadowalające pobrzeże korony. Dodatkowo stwierdzono, że w kwadrantach 1. i 4. było wiele wypełnień o zaskakująco grubej warstwie i niskiej przezierności. W tego typu przypadkach diagnostyka różnicowa obejmuje możliwość obecności linera o znacznym stopniu przezierności, grubej warstwy systemu łączącego albo próchnicy wtórnej. Ząb 15 wykazywał dodatkowo w okolicy dystalno-zwarciowej przebarwione pobrzeże wypełnienia, dlatego zdecydowano się przeprowadzić w nim leczenie odtwórcze i zarazem eksploracyjne, od którego uzależniona był decyzja, czy pozostałe podejrzane zęby należy objąć leczeniem, czy też obserwować. 

Wywiad lekarski

  • Choroby: łagodna astma.
  • Leki: Ventolin prn (stosowany około jeden raz w tygodniu).
  • Alergie: brak rozpoznanych alergii na leki.

Plan leczenia przedniego sekstantu żuchwy

  • Pełne badanie fizykalne (tkanek twardych i miękkich): zewnątrzustne i wewnątrzustne.
  • Indywidualna pełna diagnostyka radiologiczna jamy ustnej: 4 zdjęcia skrzydłowo-zgryzowe, 8 zdjęć zębowych, 1 zdjęcie pantomograficzne.
  • Świadoma zgoda.
  • Preparacja ubytku na powierzchni dystalnej i zwarciowej zęba 15 przeprowadzona po izolacji za pomocą koferdamu (technika split-dam).
  • System formówek częściowych Triodent V3 (żółty pierścień dla zębów przedtrzonowych, formówka SuperCurve nieklejąca się w rozmiarze 5,5 mm, różowy klin Wave Wedge) do użycia w celu separacji, izolacji i formowania powierzchni interproksymalnej.
  • 2-procentowa chlorheksydyna (CHX-Plus, Vista Dental Products), namaczanie przez 1 minutę.
  • Wytrawienie, aplikacja systemu łączącego i materiału typu bulk fill (grubość 4 mm) w okolicy aproksymalnej oraz na ścianę domiazgową (x-tra base A2), uformowanie ściany w okolicy pobrzeża i grzbietu wyrostka (GrandioSO A3), usunięcie formówki w celu potwierdzenia ścisłego kontaktu przed odbudową warstwy szkliwnej (GrandioSO A3).
  • Efekt kameleona na powierzchni zwarciowej uzyskany przy użyciu jednego odcienia materiału o dobrych właściwościach biomimetycznych.

Opis leczenia wraz z uzasadnieniem wyboru materiału odtwórczego

Pacjent zgłosił się na wizytę w celu przeprowadzenia szczegółowego badania przeglądowego. Po stwierdzeniu podejrzanych zmian w kwadrancie 1. i 4. poinformowano pacjenta, jakie mogą być potencjalne scenariusze. Obszary zwiększonej przezierności poniżej istniejących wypełnień kompozytowych należy poddać diagnostyce różnicowej, uwzględniając: grubą warstwę podkładu szkło-jonomerowego modyfikowanego żywicą, grubą warstwę systemu łączącego, pozostawione tkanki próchnicowe oraz próchnicę wtórną. Podjęto decyzję o eksploracyjnej odbudowie zęba 15 na powierzchni dystalnej i zwarciowej, mając na uwadze identyfikację problematycznego materiału. 

Ząb 15 znieczulono przy użyciu jednej karpuli 4-procentpwej artykainy z epinefryną w stężeniu 1: 100 000. Założono klamrę na ząb 17, po czym zamocowano koferdam (guma do koferdamu niezawierająca lateksu Roeko, Coltene-Whaledent). Ząb 15 opracowano na powierzchni dystalnej i zwarciowej w tradycyjny sposób przy użyciu wiertła diamentowego na kątnicy szybko-
obrotowej. Zastosowano wykrywacz próchnicy (Sable Seek, Ultradent), jednak z zaskoczeniem stwierdzono zabarwienie jedynie w części centralnej powierzchni zwarciowej, nie zaś w okolicy pobrzeża, jak sugerowało zdjęcie radiologiczne. Po usunięciu próchnicy jedynie w obszarze centralnym zastosowano ponownie wykrywacz próchnicy, potwierdzając czystą, nienaruszoną, choć przebarwioną zębinę poniżej. 

Założono niebieską, nieklejącą się formówkę częściową SuperCurve, a następnie żółty pierścień V3 (rozmiar dla zębów przedtrzonowych, Triodent NZ) oraz klin, obejmując przewężenie brodawki międzyzębowej. Ząb pokryto na 1 minutę 2-procentowym roztworem chlorheksydyny (CHX-Plus, Vista Dental Products), po czym przeprowadzono wytrawianie oraz zaaplikowano i spolimeryzowano system łączący (Optibond Solo Plus, Kerr). Jako pierwszą założono 4-milimetrową warstwę materiału typu bulk fill (x-tra base, VOCO) w odcieniu A2. Materiał ten jest łatwy w aplikacji ze względu na jego zdolność do samopoziomowania. Warstwę tę polimeryzowano przez 40 s, zgodnie z zaleceniami producenta. Na tym etapie dno pozostałego „ubytku” leżało na głębokości 3 mm poniżej powierzchni zęba.

Uformowano pobrzeże wypełnienia w części dystalnej, nakładając warstwowo materiał GrandioSO A3 (VOCO). Na tym etapie zdjęto pierścień V3 oraz pasek formówki i potwierdzono ścisły, prawidłowo uformowany punkt styczny, używając nici dentystycznej. Fragment policzkowy warstwy szkliwnej uformowano, nakładając dwie warstwy materiału GrandioSO A3. W analogiczny sposób ukształtowano fragment podniebienny. Nadano wypełnieniu prawidłowy kontur i wykończono je, a następnie wypolerowano na wysoki połysk. Ogółem leczenie pacjenta, w tym znieczulenie, sam zabieg, zdjęcia w trakcie trwania zabiegu oraz radiologiczna kontrola po jego zakończeniu, trwało 35 minut. 

Uzasadnienie wyboru materiału odtwórczego

W przypadku opisywanego pacjenta wybór rodzaju uzupełnienia opierał się na takich czynnikach, jak wiek pacjenta, struktura zachowanych zdrowych tkanek zęba, obecność szkliwa dla adhezyjnego połączenia, wzmocnienie korony zęba oraz przewidywalność efektu estetycznego. Możliwość założenia precyzyjnego i charakteryzującego się wysoką jakością uzupełnienia osadzanego adhezyjnie jest atrakcyjna dla tych pacjentów, którzy nie tolerują długich wizyt na fotelu stomatologicznym, np. dzieci. 

Decyzja o zastosowaniu jako pierwszej warstwy materiału typu bulk fill wynikała zarówno z jego minimalnego skurczu polimeryzacyjnego i minimalnych naprężeń powstających podczas polimeryzacji, jak również z innych pozytywnych cech, takich jak wysoka zawartość wypełniacza (75% masy) oraz wysoka odporność na ściskanie (350 MPa). Materiał x-tra base wykazuje wyjątkowo wysoki stopień cieniowania na zdjęciach rentgenowskich (RTG) (350% Al), co jest przydatne podczas wzrokowej oceny granicy pomiędzy materiałem wypełniającym i zębiną, bez wątpliwości spowodowanych zastosowaniem przeziernego dla promieniowania RTG linera ze szkło-jonomeru modyfikowanego żywicą. Dzięki temu stomatolog zachowawczy uzyskuje w jednym etapie nie tylko płynny materiał stosowany jako liner, ale także materiał zastępujący zębinę. Jednocześnie produkt ten wykazuje mniejsze naprężenia podczas polimeryzacji (co minimalizuje powstawanie pustych przestrzeni, nadwrażliwości zabiegowej i potencjalną arborescencję) w porównaniu z konwencjonalnymi płynnymi materiałami kompozytowymi. Naprężenia polimeryzacyjne materiału x-tra base wynoszą 5,93 MPa (metoda Biomana), a więc mniej niż w przypadku materiałów SDR (Dentsply) oraz Venus Bulk Fill (Heraeus). Także objętościowy skurcz polimeryzacyjny był nieznacznie mniejszy w przypadku materiału x-tra base w porównaniu z SD i Venus Bulk Fill. 

Jeśli planowane jest zastosowanie warstwy typu bulk fill, wskazane jest, aby ubytek wykazywał cechy, które w jak najmniejszym stopniu utrudniają kontakt systemu łączącego z zębiną oraz aby znalazła się w nim warstwa, która będzie działała jako łamacz naprężeń, przy minimalnym wpływie naprężeń związanych z ukształtowaniem (czynnik C). Aplikacja powinna być prosta, a materiał powinien wykazywać wysoką zwilżalność powierzchni i zdolność do samopoziomowania. Materiał ten powinien również wykazywać odporność na ściskanie możliwie jak najbardziej zbliżoną do wierzchniej warstwy materiału kompozytowego, stosowanego na powierzchni zwarciowej. W tym przypadku materiał x-tra base wykazuje jedną z najwyższych wartości wskaźnika odporności na ściskanie w porównaniu z innymi materiałami typu bulk fill obecnymi aktualnie na rynku. Wynosi on 350 MPa, co czyni go najbardziej zbliżonym do GrandioSO, wykazującym wytrzymałość na ściskanie 439 MPa. Zapewnia to stabilną i wydajną w aplikacji podstawę dla wypełnienia, które można określić mianem doskonałego. Kolejne użycie materiałów x-tra base i GrandioSO to elitarne połączenie zapewniające nowoczesne ponadprzeciętne możliwości leczenia odtwórczego. Ten dynamiczny duet wykazuje idealną wydajność aplikacji oraz doskonałą jakość materiałów, co prowadzi do uzyskania wypełnień o niezrównanej wytrzymałości, wyglądzie estetycznym i przewidywalności przez nadchodzące lata. 

X-tra base i GrandioSO to biomimetyczne rozwiązanie do odbudowy zębów dla lekarzy, którzy oczekują najwyższej jakości bez nadmiernego poświęcania czasu.

 


 

Przypisy