Saremco – kierunek rozwoju materiałów kompozytowych bez toksycznych monomerów

Practise & Testing

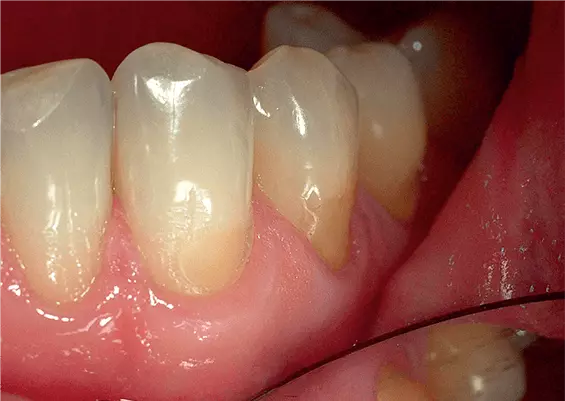
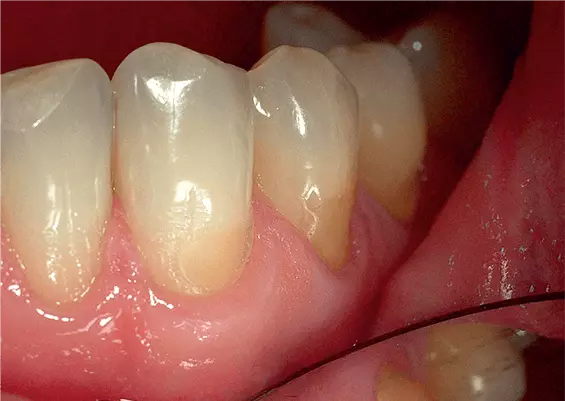
Z licznej grupy materiałów złożonych tym razem mam okazję opisać i przetestować w pracy klinicznej materiały i system łączący pochodzące od Saremco.

Przyjęta metoda oznaczania produktów ujmuje prostotą – kolejne z nich oprócz nazwy producenta opisuje skrót właściwości. I tak do testów przekazano materiał ELS, ELS Flow i ELS Unibond. Skrót ten oznacza materiał charakteryzujący się ekstraniskim skurczem polimeryzacyjnym (Extra Low Shrinkage). Materiały i bond są konfekcjonowane w skromne, żeby nie powiedzieć ascetyczne, standardowe formy strzykawek i buteleczki dla bondu. Zacznijmy zatem w kolejności użycia – od systemu łączącego. 

POLECAMY

Jednoetapowy, jednobuteleczkowy system łączący może być stosowany we wszystki...

Pozostałe 90% treści dostępne jest tylko dla Prenumeratorów

Co zyskasz, kupując prenumeratę?
  • Roczną prenumeratę 4 wydań Forum Stomatologii Praktycznej
  • Nielimitowany dostęp do całego archiwum czasopisma
  • ...i wiele więcej!

Praktyczna wiedza dla nowoczesnego zespołu stomatologicznego.

Kwartalnik dla lekarzy, higienistek i techników dentystycznych — łączący kliniczne doświadczenia, innowacje i interdyscyplinarną współpracę.

aktualne opisy przypadków i technik klinicznych
nowoczesne materiały i technologie stomatologiczne
praktyczne protokoły i wskazówki dla zespołu dentystycznego
analiza błędów medycznych i aspektów prawnych w stomatologii
aktualności i trendy — od diagnostyki po protetykę i higienę
dostęp do archiwum i łatwa prenumerata (papierowa lub cyfrowa)
Praktyczna wiedza dla nowoczesnego zespołu stomatologicznego.

Przypisy