Quad od Garrison – nowa jakość w odbudowie punktów stycznych

Practise & Testing

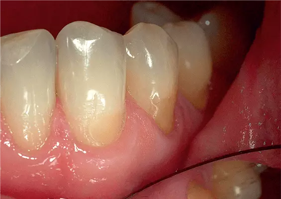
Konieczność odtworzenia utraconych twardych tkanek zębów wymaga nie tylko wiedzy i umiejętności. Gwarancja sukcesu to również prawidłowy dobór materiału i instrumentów pozwalających na prawidłowe odtworzenie anatomicznej bryły zęba. Kształtki, formówki, kliny i pierścienie są niezbędne w pracach zachowawczych na powierzchniach aproksymalnych zębów trzonowych i przedtrzonowych. Prawidłowe ich zastosowanie staje się łatwiejsze, gdy wykorzystujemy precyzyjnie zaprojektowane i zsynchronizowane zestawy.

Od lat jedną z wiodących marek w tym zakresie jest firma Garrison. Szeroka gama matryc, uwzględniająca rozmiary, kształt i ich sztywność, pozwala na dobranie wariantu optymalnego dla każdego przypadku. Dopełnieniem jest dopasowany klin i stabilnie osadzony pierścień. Wysoka jakość wszystkich elementów sprawia, że pozwalają się polubić na dłużej dzięki trwałości i niezawodności tych przeznaczonych do wielokrotnego wykorzystania. Podkreślić należy, że w systemie Garrison pierścień jest elementem je...

Pozostałe 90% treści dostępne jest tylko dla Prenumeratorów

Co zyskasz, kupując prenumeratę?
  • Roczną prenumeratę 4 wydań Forum Stomatologii Praktycznej
  • Nielimitowany dostęp do całego archiwum czasopisma
  • ...i wiele więcej!

Praktyczna wiedza dla nowoczesnego zespołu stomatologicznego.

Kwartalnik dla lekarzy, higienistek i techników dentystycznych — łączący kliniczne doświadczenia, innowacje i interdyscyplinarną współpracę.

aktualne opisy przypadków i technik klinicznych
nowoczesne materiały i technologie stomatologiczne
praktyczne protokoły i wskazówki dla zespołu dentystycznego
analiza błędów medycznych i aspektów prawnych w stomatologii
aktualności i trendy — od diagnostyki po protetykę i higienę
dostęp do archiwum i łatwa prenumerata (papierowa lub cyfrowa)
Praktyczna wiedza dla nowoczesnego zespołu stomatologicznego.

Przypisy