Diagnostyka i leczenie zatok szczękowych

w aspekcie leczenia implantologicznego

PRACTISE & CASES
   Tematy poruszane w tym artykule  
  • Różnorodne funkcje zatok przynosowych, w tym ich znaczenie w konstrukcji twarzoczaszki, wymianie cieplnej oraz nawilżaniu wdychanego powietrza.
  • Struktura i położenie zatok przynosowych oraz ich połączenie z jamą nosową i ich wpływ na oddychanie.
  • Różne metody leczenia zapalenia zatok, od farmakologicznego po chirurgiczne, w tym nowoczesne techniki minimalnie inwazyjne.
  • Ważność diagnostyki laryngologicznej przed przystąpieniem do zabiegu sinus lift i związane z tym kroki przygotowawcze.
  • Tomografia komputerowa jako kluczowy element w ocenie stanu zatok i decyzji o możliwości przeprowadzenia zabiegu chirurgicznego.

Zatoki to wypełnione powietrzem dwoiste przestrzenie, rozmieszczone symetrycznie wokół nosa i oczu. Zatoki przynosowe są parzyste, podwójne i składają się z:

POLECAMY

  • dwóch zatok czołowych, 
  • dwóch szczękowych,
  • błędnika sitowego (komórki sitowe),
  • dwóch zatok klinowych. 

Zatoki przynosowe w pewnym sensie stanowią przedłużenie jam nosa. Największe objętościowo są zatoki szczękowe znajdujące się po obu stronach nosa. Ich pojemność wynosi ok. 15 ml, ściana górna stanowi dno oczodołu, ściana przednio-dolna graniczy z zębami górnymi. 

Zatoki czołowe zlokalizowane są mniej więcej nad oczami, pozostałe są umiejscowione głębiej (za nasadą nosa). Z reguły zatoki powinny mieć dobry kontakt z jamą nosową poprzez kompleks ujściowo-przewodowy. 
 

Funkcje zatok 

Silna konstrukcja twarzoczaszki – puste, jamiste przestrzenie sprawiają, że konstrukcja czaszki jest lekka i odporna na urazy, dzięki czemu dobrze chroni mózg. Zatoki wytwarzają rezonans dźwiękowy, który moduluje i wzmacnia dźwięki głosowe, podobnie rezonując jak np. wnętrze skrzypiec wobec strun. 

Wymiana cieplna – zatoki, a konkretnie ich jamy powietrzne, wspomagają wymianę cieplną pomiędzy zazwyczaj chłodniejszym powietrzem a krwią. Dzięki temu zatoki wraz z jamą nosową chłodzą mózgowie, które w ten sposób oddaje duży nadmiar ciepła (wytwarza ok. 15% ciepła wytwarzanego przez organizm). Ważnym elementem w tej wymianie cieplnej jest podgrzanie zimnego powietrza wdychanego do oskrzeli i pęcherzyków płucnych do odpowiedniej temperatury.

Ogrzewanie i nawilżanie powietrza – powietrze wdychane przez nos ogrzewa się i nawilża, stając się parą nasyconą o temperaturze ciała. O ile oddychanie przez usta nie jest w stanie wysycić powietrza wodą więcej niż do 70% wilgotności względnej, o tyle oddychanie nosem zbliża ten wskaźnik do pożądanej dla pęcherzyków płucnych wartości 95% (powietrze w jamie nosowej poddawane jest ponadto procesowi oczyszczania). Wszystkie te zadania są możliwe do realizacji tylko w przypadku zdrowego nosa, jam nosa i zatok przynosowych. Wystarczy powiedzieć, że nos w ciągu doby musi nawilżyć ok. 10 tys. litrów powietrza do wilgotności 95%. Umożliwia to odpowiednia budowa anatomiczna struktur nosa oraz transport śluzówkowo-rzęskowy i cykl nosowy.

Samooczyszczanie się zatok – błona śluzowa zatok, podobnie jak śluzówka nosa, wyposażona jest w samooczyszczający się mechanizm śluzowo-rzęskowy i wytwarza duże ilości wydzieliny śluzowej, która nawilża nabłonek i zbiera zanieczyszczenia. Wiosłujący, wahadłowy ruch rzęsek pokrywających komórki nabłonka migawkowego, którym wysłane są zatoki przynosowe, powoduje przymusowe wydalanie wydzieliny z zatok poprzez wąskie szczelinowate ujścia znajdujące się w jamach nosa – na zewnątrz. 

 

Jak zaczyna się choroba

Zatoki zamieszkują użyteczne fizjologicznie i chorobotwórcze bakterie, w tym np. chorobotwórcze paciorkowce ropne typu A Streptococcus pneumoniae typu A, a także Haemophilus influenzae. U zdrowego człowieka liczebność bakterii skutecznie kontroluje sprawny układ odpornościowy. Każda infekcja wirusowa (przeziębieniowa, grypowa itp.) wywołuje stan zapalny oraz obrzęk błony śluzowej nosa i zatok. Obrzęk śluzówki zamyka stopniowo drożne dotąd połączenia zatok z jamą nosową. Powoduje to powstanie podciśnienia w zatokach wskutek szybkiego przepływu powietrza jamą nosową.

Zdj. 1. Umiejscowienie zatok

Nadkażenie bakteryjne zatok

Podciśnienie w zatokach sprzyja wnikaniu do nich obecnych w śluzówce nosa wirusów i bakterii, np. w czasie kichania czy wydmuchiwania nosa. Niewydalana, zbierająca się wydzielina staje się pożywką dla bakterii. Namnażaniu się drobnoustrojów sprzyjają temperatura i wilgotność powietrza w jamach zatok, toteż szybko dochodzi do ich nadmiernego rozwoju i ucisku na otaczające tkanki. Intensywne namnażanie się chorobotwórczych bakterii wywołuje rozwój zapalenia, gorączki oraz uszkodzenia nabłonka śluzówki zatok. 

Rozrost chorobotwórczych bakterii wywołuje ostre objawy zapalne i ból. Do najczęstszych dolegliwości należą: bóle głowy, twarzy, ropna wydzielina z nosa, złe samopoczucie ogólne. Zapalenie zatok przynosowych może obejmować tylko zatoki szczękowe i być wywołane np. przez infekcję zębów i okostnej (tzw. zapalenie zębopochodne). W praktyce medycznej wyróżnia się najczęściej trzy typy przebiegu choroby, ze względu na okres jej trwania i skuteczność leczenia: 

  • ostre zapalenie zatok – trwające do 3 tygodni (dzięki skutecznemu leczeniu lub samowyleczeniu),
  • ostre zapalenie nawracające (niekiedy wyróżnia się podostre zapalenie, trwające od 3 tygodni do 3 miesięcy),
  • przewlekłe zapalenie zatok – gdy zapalenie trwa powyżej 3 miesięcy, a leczenie farmakologiczne jest nieskuteczne. 

Leczenie przewlekłego zapalenia zatok 

Stosuje się:

  • leczenie farmakologiczne,
  • leczenie chirurgiczne.

Leczenie chirurgiczne znajduje zastosowanie, gdy stwierdza się trwałe zmiany chorobowe, np. patologiczne zmiany w zatokach, wady budowy nosa i zatok itp. W leczeniu chirurgicznym przewlekłego zapalenia zatok obok klasycznych metod operacji zatok w coraz większym stopniu stosuje się mikrochirurgię wewnątrznosową i umożliwiającą ją technikę endoskopową. Techniki te minimalizują uszkodzenia ciała chorego i skracają znacznie czas rehabilitacji.

W przypadku stwierdzenia trwałych zmian chorobowych, wady budowy nosa czy zatok potrzebne jest leczenie chirurgiczne. Obok klasycznych metod operacji zatok, bardziej inwazyjnych, coraz powszechniej stosuje się małoinwazyjne metody wykorzystujące dostęp do nosa i zatok przez otwory naturalne – mikrochirurgię wewnątrznosową z wykorzystaniem techniki endoskopowej (FEOZ) lub bardziej celowaną technikę MIST. Leczenie tą metodą polega na usunięciu zmienionych chorobowo tkanek z oszczędzeniem jak największej ilości zdrowych odcinków błony śluzowej, przy jednoczesnym utworzeniu dobrego połączenia zatok z jamą nosową (leczeniem można objąć wszystkie zatoki przynosowe, nawet w pierwszym zabiegu). Do zatok laryngolog ma dostęp przez naturalne ujście w bocznej ścianie nosa, a także przez zachyłek łzowy. 

Zdj. 2

Zdj. 3 

Sinus lift

Sinus lift, czyli podniesienie dna zatoki szczękowej, to zabieg przygotowawczy do wszczepienia implantów. Polega na umieszczeniu materiału kościozastępczego pod błoną śluzową zatoki. 

Dno zatoki szczękowej powinno być oddzielone od korzeni zębów kilkunastomilimetrową warstwą kości. Nie można dopuścić, aby końcówki implantów dochodziły aż do zatoki. 

Podłoże do wczepienia implantów musi być stabilne. Zabieg podniesienia zatoki wykonuje się, jeżeli odległość pomiędzy zatoką a kością wyrostka zębodołowego jest mniejsza niż 7 mm. 

Przeciwwskazania do zabiegu stanowią cukrzyca, nowotwory, stan po chemioterapii, leczenie bisfosfonianami, choroby układu nerwowego, choroby psychiczne i zapalenia zatok. 

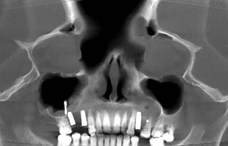
Przygotowanie do zabiegu polega na wykluczeniu stanów zapalnych. Jeżeli w CBCT zatok nie ma stanu zapalnego, należy przez miesiąc zastosować areozol do nosa zmniejszający obrzęk, np. Dymista. 

Jeżeli tomografia komputerowa wykazała zapalenie zatok szczękowych, należy skierować pacjenta do laryngologa. Jedynie wyleczenie stanu zapalanego zatok warunkuje sukces i wgojenie się implantu. 

W nowoczesnym postępowaniu implantologicznym niezwykle ważne jest, aby przed planowanym leczeniem, np. związanym z podniesieniem dna zatok szczękowych (sinus lift), przeprowadzić diagnostykę laryngologiczną, a w przypadku stwierdzenia zmian patologicznych w obrębie zatok zastosować odpowiednie leczenie. 

Przygotowując pacjenta do zabiegu chirurgicznego podniesienia zatoki szczękowej, trzeba przeprowadzić szczegółowy wywiad, badanie podmiotowe oraz dokładne badanie kliniczne-przedmiotowe (linia uśmiechu, przestrzenne stosunki okluzyjne, morfologia tkanek miękkich, ilość tkanek twardych itp.) oraz szczegółowe badania radiologiczne. Diagnostyka radiologiczna dotyczy zarówno ortopantomogramów, zdjęć celowanych, jak i zaawansowanego badania radiologicznego – tomografii komputerowej.

Tomografia komputerowa zatok

Podstawą decyzji o zabiegu chirurgicznym i oceny stanu zatok powinna być tomografia komputerowa, która dostarcza informacji nie tylko o zmianach we wszystkich zatokach, lecz także pozwala ocenić anomalie w budowie sitowia i w kompleksie szczelin ujściowo-przewodowych pomiędzy nosem a jamami zatok. Wskazaniem do wykonania tomografii komputerowej – już w przebiegu ostrego zapalenia zatok jest: brak poprawy po 48–72 godzinach leczenia ostrego zapalenia zatok o ciężkim przebiegu, podejrzenie powikłań zatokopochodnych, zębopochodnych, oczodołowych lub wewnątrzczaszkowych. 

Przypisy