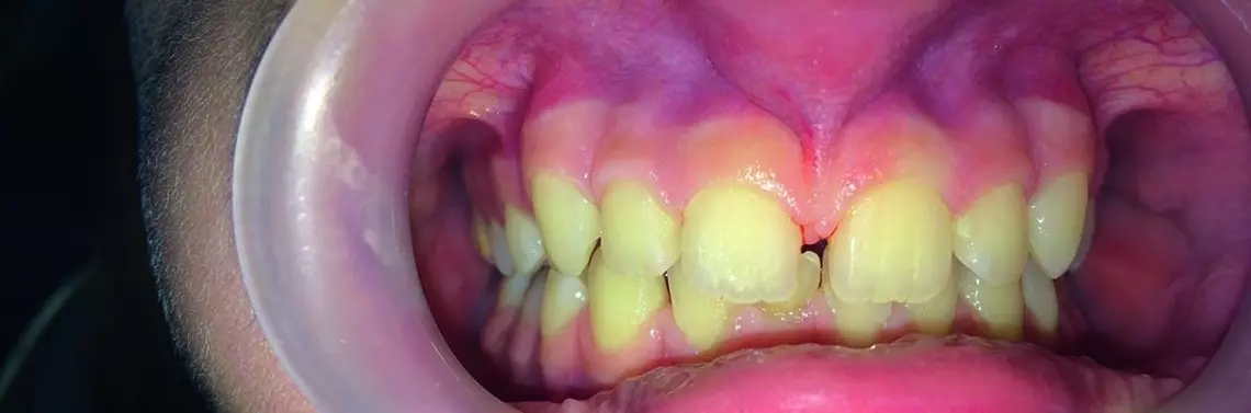
Wędzidełko wargi górnej – frenulektomia

PRACTISE & CASES

Wędzidełko wargi górnej to trójkątna struktura anatomiczna przebiegająca strzałkowo od wewnętrznej powierzchni wargi do błony śluzowej lub okostnej przedsionkowej powierzchni wyrostka zębodołowego szczęki w pobliżu przyśrodkowych górnych siekaczy. Wyróżnia się cztery typy wędzidełka, z których dwa powodują różne dysfunkcje. Najczęstszą metodą leczenia hipertroficznego wędzidełka jest frenulektomia.

Wędzidełko jest zbudowane z tkanki łącznej włóknistej (włókna kolagenowe o różnej grubości), nabłonka warstwowego (z cechami orto- i parakeratozy), naczyń krwionośnych i limfatycznych, ponadto w niektórych przypadkach są obecne również gruczoły ślinowe, tkanka tłuszczowa, włókna sprężyste tkanki łącznej włóknistej, a nawet tkanka mięśniowa. 

POLECAMY

Typy wędzidełka 

Ze względu na umiejscowienie przyczepu wędzidełka można wyróżnić jego następujące typy: 

  • typ I – śluzówkowy (błona śluzowa ruchoma), 
  • typ II – dziąsłowy (błona śluzowa wyrostka zębodołowego), 
  • typ III – brodawkowy (brodawka międzyzębowa), 
  • typ IV – penetrujący (brodawka przysieczna). 

Typy brodawkowy i penetrujący (III, IV) są uważane za...

Pozostałe 90% treści dostępne jest tylko dla Prenumeratorów

Co zyskasz, kupując prenumeratę?
  • Roczną prenumeratę 4 wydań Forum Stomatologii Praktycznej
  • Nielimitowany dostęp do całego archiwum czasopisma
  • ...i wiele więcej!

Praktyczna wiedza dla nowoczesnego zespołu stomatologicznego.

Kwartalnik dla lekarzy, higienistek i techników dentystycznych — łączący kliniczne doświadczenia, innowacje i interdyscyplinarną współpracę.

aktualne opisy przypadków i technik klinicznych
nowoczesne materiały i technologie stomatologiczne
praktyczne protokoły i wskazówki dla zespołu dentystycznego
analiza błędów medycznych i aspektów prawnych w stomatologii
aktualności i trendy — od diagnostyki po protetykę i higienę
dostęp do archiwum i łatwa prenumerata (papierowa lub cyfrowa)
Praktyczna wiedza dla nowoczesnego zespołu stomatologicznego.

Przypisy