Jak nie dopuścić do pozostawienia miazgi w kanale

PRACTISE & CASES

Pozostawienie miazgi w kanale zwykle oznacza kłopoty. W najlepszym wypadku u pacjenta pojawi się samoistny ból, ale to tylko jedna z wielu dolegliwości, które mogą dokuczać pacjentowi w takiej sytuacji. Co zrobić, by temu zapobiec? Dokładnie usunąć miazgę z kanałów.

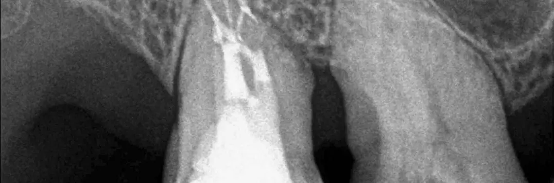
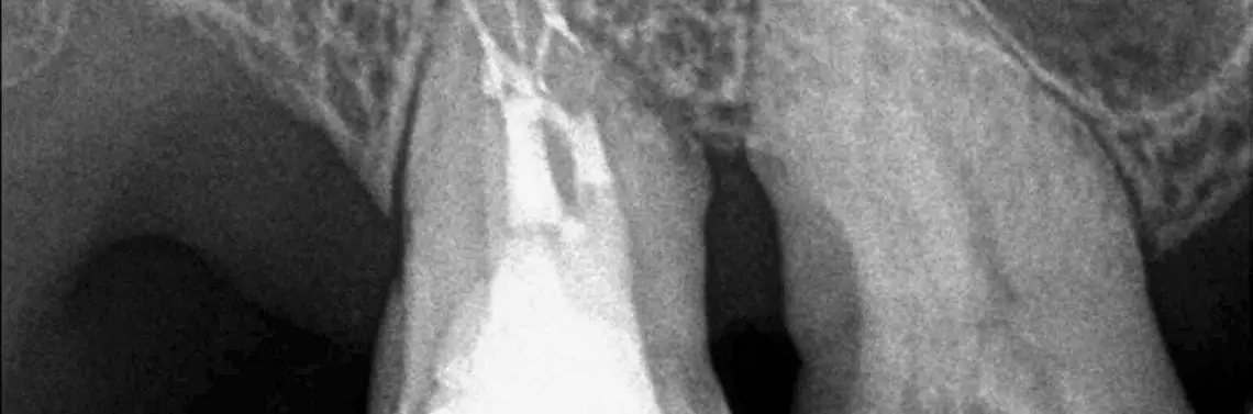
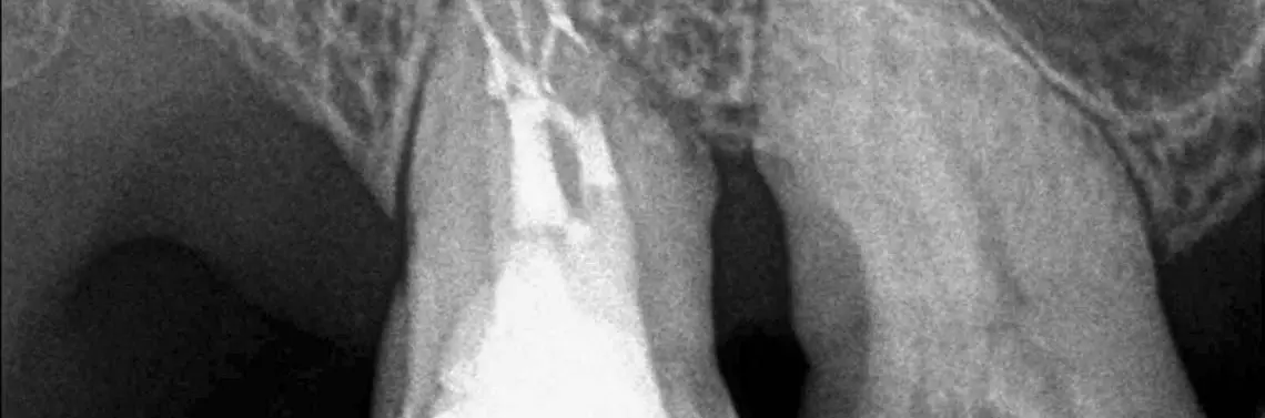
Jeśli w kanale pozostanie żywa lub ledwo żywa, ale niezainfekowana miazga, możemy spodziewać się braku dolegliwości bólowych lub obecności dolegliwości bólowych samoistnych, a z czasem najprawdopodobniej dojdzie do obliteracji kanału. Pozostawienie miazgi zainfekowanej może się jednak skończyć w najlepszym wypadku samoistnymi dolegliwościami bólowymi. Niestety, gama dolegliwości, które pacjent może zgłaszać, jest spora. Zmiana okołowierzchołkowa widoczna na zdjęciu, bolesność uciskowa w rzucie wierzchołka, przetoka...

Pozostałe 90% treści dostępne jest tylko dla Prenumeratorów

Co zyskasz, kupując prenumeratę?
  • Roczną prenumeratę 4 wydań Forum Stomatologii Praktycznej
  • Nielimitowany dostęp do całego archiwum czasopisma
  • ...i wiele więcej!

Praktyczna wiedza dla nowoczesnego zespołu stomatologicznego.

Kwartalnik dla lekarzy, higienistek i techników dentystycznych — łączący kliniczne doświadczenia, innowacje i interdyscyplinarną współpracę.

aktualne opisy przypadków i technik klinicznych
nowoczesne materiały i technologie stomatologiczne
praktyczne protokoły i wskazówki dla zespołu dentystycznego
analiza błędów medycznych i aspektów prawnych w stomatologii
aktualności i trendy — od diagnostyki po protetykę i higienę
dostęp do archiwum i łatwa prenumerata (papierowa lub cyfrowa)
Praktyczna wiedza dla nowoczesnego zespołu stomatologicznego.

Przypisy