Hipomineralizacja trzonowcowo-siekaczowa (MIH) - opis przypadku

PRACTISE & CASES

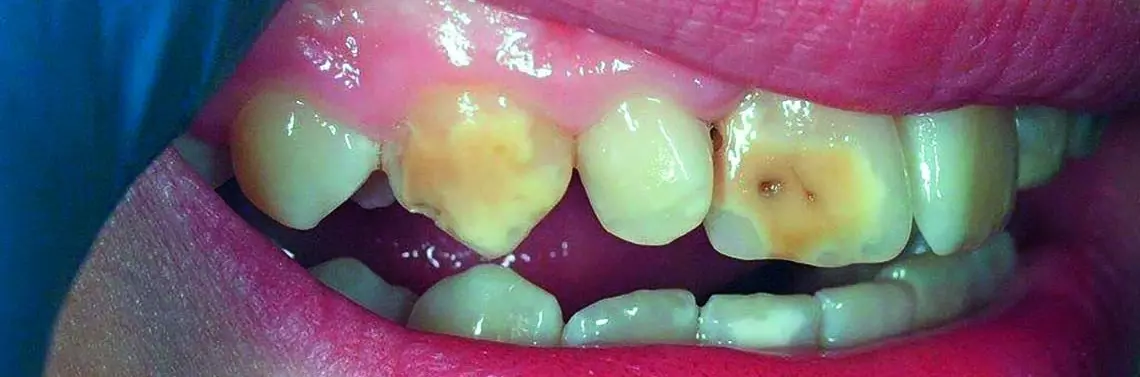
Dobór prawidłowej metody terapii wymaga w pierwszej kolejności postawienia prawidłowej diagnozy. Tylko pozornie jest to zadanie łatwe dla praktykującego stomatologia. Przykładem problemów, jakie napotkał autor, jest rozpoznanie MIH u młodej pacjentki.

Pojęcie hipomineralizacji trzonowcowo-siekaczowej wprowadzili w 2001 r. Weerheijm i wsp. W miarę pogłębiania wiedzy zmodyfikowano pierwotną definicję tego zaburzenia. W praktyce jednak jego rozpoznanie napotyka pewne trudności, a wynika to ze złożoności relacji pierwotnych i wtórnych nakładających się objawów. 
Hipomineralizacja oprócz widocznych objawów może powodować również nadwrażliwość, a to w połączeniu z osłabieniem struktury i porowatością powierzchni z jednej strony może zniechęcać młodego pacjenta do prawidłowego wykonywania zabiegów higienicznych, z drugiej zaś utrudnia prawidłowe oczyszczanie powierzchni. Dodatkowym w opinii autora problemem dla lekarza, który nie specjalizuje się w leczeniu dzieci, jest nieustanna metamorfoza młodych, rozwijających się pacjentów. Częstotliwość wizyt okresowych pozwala rozpoznać pacjenta bez problemu, jednak dynamika zmian w układzie stomatognatycznym wymaga każdorazowo bardzo wnikliwej analizy. 
Jak wspomniano na wstępie, prawidłowe rozpoznanie MIH może nastręczać pewnych trudności, ale dobranie optymal...

Pozostałe 90% treści dostępne jest tylko dla Prenumeratorów

Co zyskasz, kupując prenumeratę?
  • Roczną prenumeratę 4 wydań Forum Stomatologii Praktycznej
  • Nielimitowany dostęp do całego archiwum czasopisma
  • ...i wiele więcej!

Praktyczna wiedza dla nowoczesnego zespołu stomatologicznego.

Kwartalnik dla lekarzy, higienistek i techników dentystycznych — łączący kliniczne doświadczenia, innowacje i interdyscyplinarną współpracę.

aktualne opisy przypadków i technik klinicznych
nowoczesne materiały i technologie stomatologiczne
praktyczne protokoły i wskazówki dla zespołu dentystycznego
analiza błędów medycznych i aspektów prawnych w stomatologii
aktualności i trendy — od diagnostyki po protetykę i higienę
dostęp do archiwum i łatwa prenumerata (papierowa lub cyfrowa)
Praktyczna wiedza dla nowoczesnego zespołu stomatologicznego.

Przypisy