Diagnostyka endodontycznego leczenia dzieci w gabinecie stomatologicznym. Diagnostyka stanów zapalnych miazgi zębów mlecznych – powikłania próchnicowe

PRACTISE & CASES

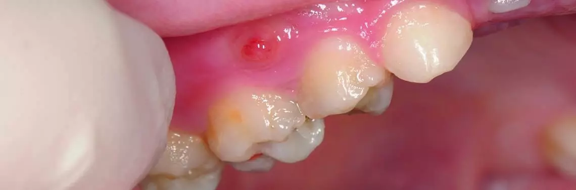
Stanów zapalnych miazgi zębów mlecznych można spodziewać się u dzieci w wieku od pół roku do 13 lat. Rodzice rozpoznają zazwyczaj dwa sygnały świadczące o złym stanie uzębienia. Jednym z nich jest ból zgłaszany przez dziecko, drugim wyraźnie widoczne w ustach zmiany próchnicowe, opisywane wówczas jako „czarne dziury”. Lekarz często staje przed dylematem prawidłowej oceny stopnia bólu odczuwanego przez dziecko. Rozstrzygająca będzie zatem duża liczba pytań dodatkowych w trakcie wywiadu z dzieckiem i rodzicami.

Ból zęba zgłaszany przez dzieci może być spowodowany kilkoma sytuacjami: 

POLECAMY

  • stanem zapalnym żywej miazgi wywołanym przez głęboki ubytek próchnicowy,
  • stanem zapalnym tkanek okołowierzchołkowych zęba z martwą miazgą – w zębach mlecznych możliwa jest martwica częściowa nawet przy bardzo zaawansowanym stanie zapalnym okołowierzchołkowym,
  • stanem zapalnym dziąsła wokół zęba lub w jego dalszej okolicy, mylonym przez dziecko z bólem zęba oraz,
  • gdy ma się do czynienia z leczeniem w obrębie miazgi zęba mlecznego brak dolegliwości bólowych w chwili zgłoszenia, ale obecne próchnicowe obnażenie miazgi ujawnione w trakcie opracowywania ubytku.
     

Wywiad

Hipotetyczny Jaś ma 6 lat, został przyprowadzany do gabinetu przez rodziców zaniepokojonych faktem, że ich pociecha zaczyna skarżyć się na ból zębów. Lekarz stomatolog powinien mieć już gotowy zestaw pytań, które zada Jasiowi, za każdym razem obserwując jednocześnie reakcję rodziców, którzy mogą, ale wcale nie muszą, potwierdzać jego słowa.
Przed rozpoczęciem wizyty warto poświęcić kilka chwil na wspólną rozmowę z Jasiem i rodzicami w poczekalni lub w przedsionku gabinetu. Wówczas będzie można zorientować się w skali problemu – czy są to bóle nocne, przez które Jaś nie śpi i płacze, czy też raczej powtarzające się co jakiś czas skargi na pobolewanie zębów w buzi. Dzieci są niesamowicie inteligentne, często przerastając w tym zakresie swoich rodziców, tak więc bardzo szybko potrafią zorientować się, jak „zarządzać” rodzicami, a często i swoim dentystą, poprzez odpowiednie reakcje i słowa. Może więc okazać się, że ból zębów występuje zazwyczaj pod koniec obiadu, osobliwie często przy wątróbce albo przed wyjściem do przedszkola czy szkoły lub inną sytuacją, której Jaś sobie nie życzy. Przyczyn takiego bólu nie znajdzie się, badając zęby Jasia na fotelu dentystycznym.
Częściej jednak ból jest oznaką rzeczywistych problemów, wówczas powinno się szybko ustalić, co może być jego przyczyną. Należy zapytać:

  • Czy ból zębów pojawia się przy jedzeniu? 
    Odpowiedź przecząca może sugerować sytuację 3.
  • Czy ból pojawia się też pomiędzy posiłkami? 
    Odpowiedź twierdząca może sugerować sytuację 2.
  • Czy ból pojawia się przy jedzeniu słodyczy? 
    Odpowiedź twierdząca sugeruje sytuację 1 lub 4.
  • Czy ból pojawia się przy piciu? 
    Odpowiedź twierdząca sugeruje sytuację 1 lub 4, odpowiedź przecząca sytuację 2 lub 3 (dzieci piją najczęściej napoje chłodne, stąd jest to po prostu reakcja na zimno).
  • Czy ból pojawia się przy myciu zębów? 
    Odpowiedź twierdząca sugeruje sytuację 2 lub 3 – warto wówczas wypytać rodziców, mycie której okolicy powoduje ból.
  • Gdzie boli? 
    Nie należy pytać, któr...

Pozostałe 90% treści dostępne jest tylko dla Prenumeratorów

Co zyskasz, kupując prenumeratę?
  • Roczną prenumeratę 4 wydań Forum Stomatologii Praktycznej
  • Nielimitowany dostęp do całego archiwum czasopisma
  • ...i wiele więcej!

Praktyczna wiedza dla nowoczesnego zespołu stomatologicznego.

Kwartalnik dla lekarzy, higienistek i techników dentystycznych — łączący kliniczne doświadczenia, innowacje i interdyscyplinarną współpracę.

aktualne opisy przypadków i technik klinicznych
nowoczesne materiały i technologie stomatologiczne
praktyczne protokoły i wskazówki dla zespołu dentystycznego
analiza błędów medycznych i aspektów prawnych w stomatologii
aktualności i trendy — od diagnostyki po protetykę i higienę
dostęp do archiwum i łatwa prenumerata (papierowa lub cyfrowa)
Praktyczna wiedza dla nowoczesnego zespołu stomatologicznego.

Przypisy