Czy uszkodzenia w obrębie implantu u pacjenta z licznymi obciążeniami ogólnoustrojowymi zawsze muszą się kończyć eksplantacją?

SAFETY & HEALTH

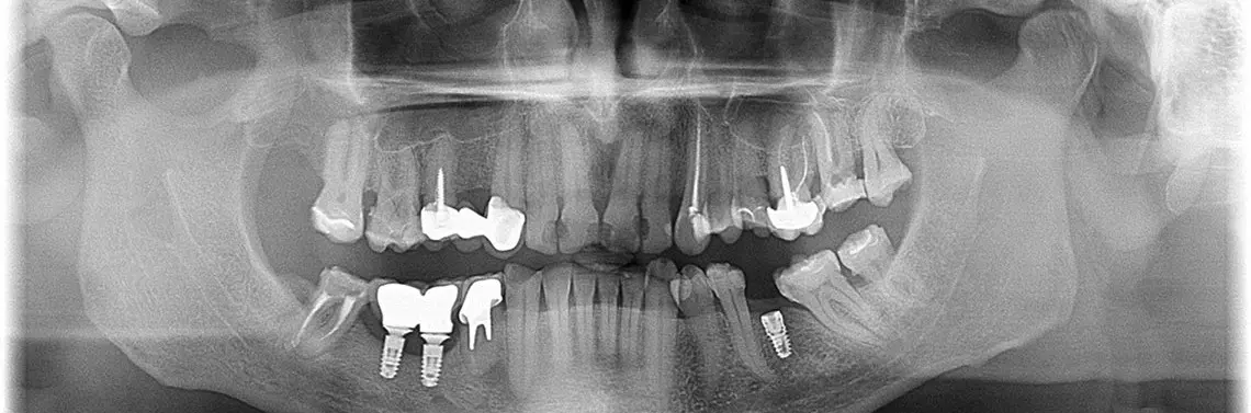
Implantoprotetyka i chirurgia implantacyjna stale się rozwijają, wprowadzane są nowe metody i materiały. Mimo to zdarzają się sytuacje, gdy implant lub jego elementy zostają uszkodzone. Nieraz przyczyniają się do tego sami pacjenci, którzy nie zawsze stosują się do zaleceń dotyczących higieny jamy ustnej lub zaplanowanego leczenia. W przypadku uszkodzenia uzupełnienia implantoprotetycznego może dojść do konieczości jego eksplantacji. Czasami jednak udaje się tego uniknąć.

Implantoprotetyka i chirurgia implantacyjna od lat posługują się ściśle określonymi zasadami, które w miarę postępu badań, doświadczenia, wprowadzania nowych technologii i materiałów co jakiś czas ulegają stosownym modyfikacjom. Mimo tych zasad zdarzają się przypadki pękania lub odłamywania się samych elementów nadbudów protetycznych. Awarie te dotyczą również elementów łącznikowych przykręcanych do ciała implantu/implantów i samych wszczepów. Przyczyn ewentualnych niepowodzeń technicznych może być wiele – od złego rozplanowania pogrążania implantów, ich niewłaściwej średnicy, długości, poprzez błędy w projektowaniu i samym wykonawstwie części protetycznej, po ukryte wady materiałowe czy przeciążenia konstrukcyjne oraz wady odlewnicze dotyczące wszystkich trzech składowych: ciała implantu, elementów łącznikowych i samej nadbudowy protetycznej. Struktury te nie są w stanie znieść generowanych przez pacjenta sił okluzyjnych, jego patologicznych nawyków zgryzowych czy podawanych w wywiadzie uszkodzeń jatrogennych, ponieważ niektórzy pacjenci często uważają same implanty i wdrożone leczenie za remedium na dotychczasowe leczenie stomatologiczne [1–4]. 
Pomimo rozmów, jakie lekarze stomatolodzy prowadzą, aby uzupełnić wiedzę leczonych dotyczącą właściwej higieny jamy ustnej, regularnych wizyt kontrolnych i realizowania zaplanowanego planu leczenia, część pacjentów błędnie uważa, że skoro implanty są wykonane z tytanu medycznego, zwalnia ich to z przedstawionych rygorystycznych zasad ich użytkowania i wyklucza wszelkie awarie samych uzupełnień implantoprotetycznych, struktur kostnych szczęk i potencjalnej koincydencji z jednostkami chorobowymi z zakresu układów sercowo-naczyniowego, hematologicznego i metabolicznego z uwagi na inne dotychczasowe zdarzenia medyczne czy sto...

Pozostałe 90% treści dostępne jest tylko dla Prenumeratorów

Co zyskasz, kupując prenumeratę?
  • Roczną prenumeratę 4 wydań Forum Stomatologii Praktycznej
  • Nielimitowany dostęp do całego archiwum czasopisma
  • ...i wiele więcej!

Praktyczna wiedza dla nowoczesnego zespołu stomatologicznego.

Kwartalnik dla lekarzy, higienistek i techników dentystycznych — łączący kliniczne doświadczenia, innowacje i interdyscyplinarną współpracę.

aktualne opisy przypadków i technik klinicznych
nowoczesne materiały i technologie stomatologiczne
praktyczne protokoły i wskazówki dla zespołu dentystycznego
analiza błędów medycznych i aspektów prawnych w stomatologii
aktualności i trendy — od diagnostyki po protetykę i higienę
dostęp do archiwum i łatwa prenumerata (papierowa lub cyfrowa)
Praktyczna wiedza dla nowoczesnego zespołu stomatologicznego.

Przypisy